
2ヶ月ぶりの診察です!
月に1度診察するワイヤー矯正と違って、通院回数が少ないのもインビザライン矯正のいいところですよね。
2ヶ月前から歯がどのように動いているのか楽しみです。
実は1つ前のインビザラインから、左下の犬歯(前から3番目の歯)がチュウィーを噛んでもフィットしにくいことが気になっていたので質問してみました。
案の定そこだけインビザラインが浮いているとのこと。。。
本当は、この時期で下の歯は綺麗に並ぶ予定だったのですが左下の犬歯だけがそろっていません。
なぜこんなことになったのか??
私の左右上下の犬歯は元々咬み合っていませんでした。
インビザラインの装着時に犬歯にもチュウィーをよく当てていましたが、チュウィーを噛む時だけ上下が咬み合い、その他の長い時間は元々の咬み合っていないままでした。
噛む力がかかる時間が少ないことで、犬歯だけ周りの歯の動きについていけず、取り残されてしまったみたいです。
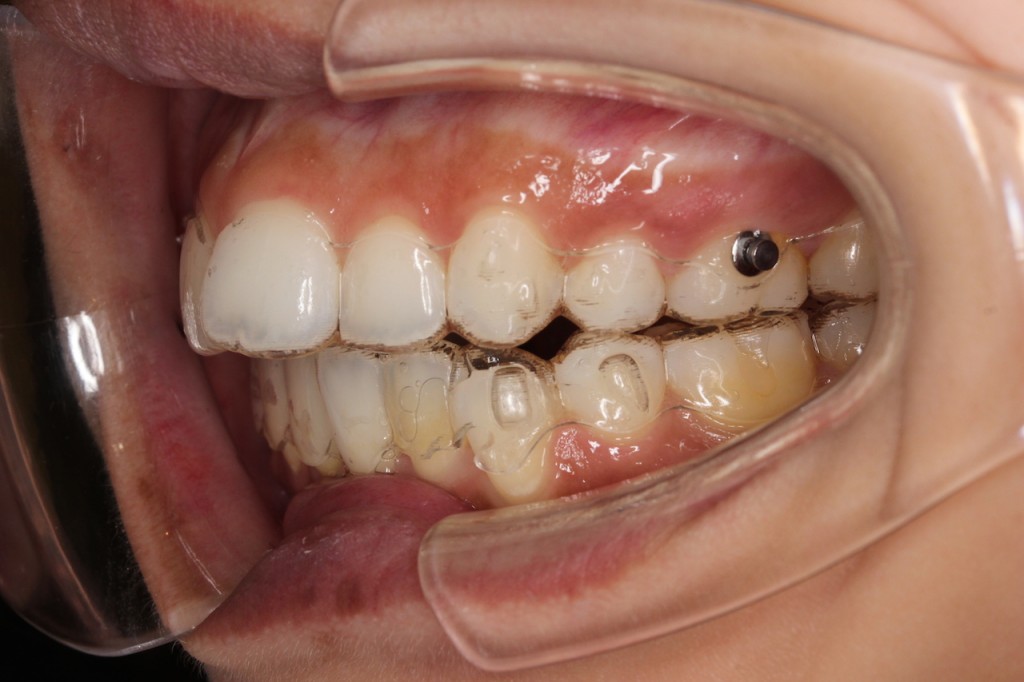
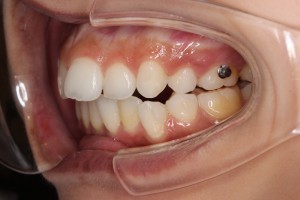
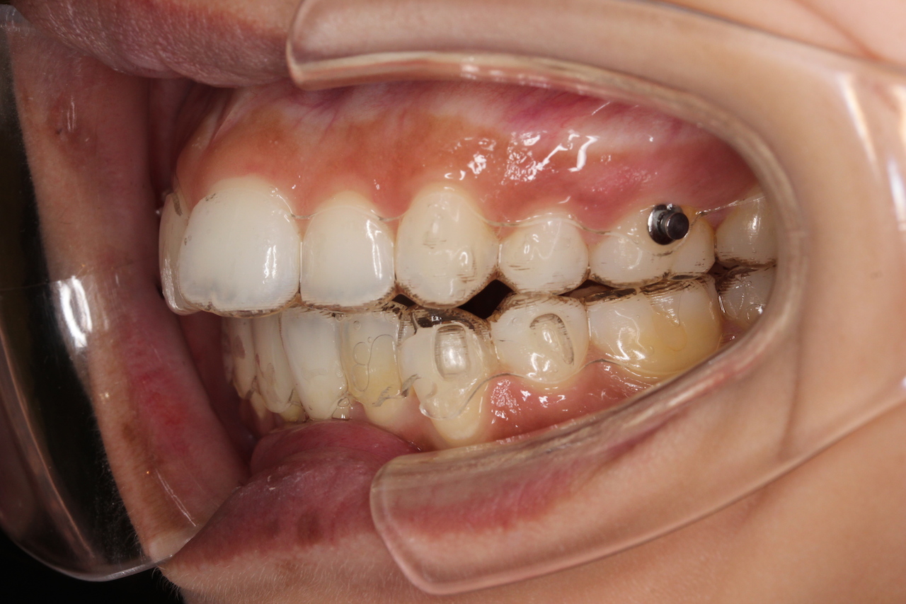
左の歯の写真です。
上下の犬歯(前から3番目の歯)が咬み合っていないのが分かりますよね。
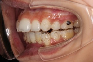
この状態でインビザラインをつけると、、、
このように浮いてしまうんです。
でも…心配はいりません!!!
「追加アライナー」というシステムがあり、インビザラインは予定どおり歯が動かなくても再度型取りをして新しいインビザラインを何枚でも作製できるからです!
取り外しができる装置のため、使用時間やかみ合わせの状態により多少ズレが出てくることがあります。しかし、そうなった場合でもアフターフォローがきちんとできるので安心して続けられますね。
インビザラインが合わなくなって不安になりましたが一安心です(笑)。
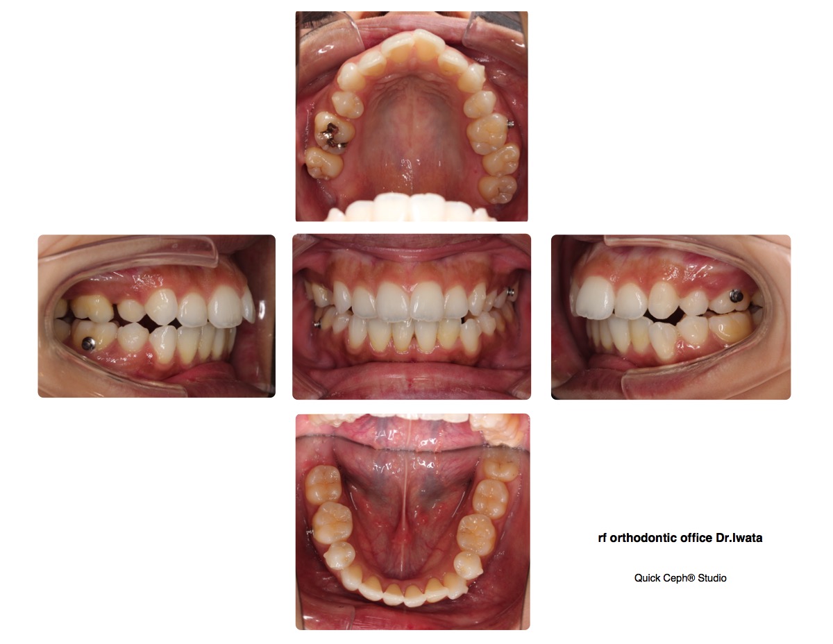
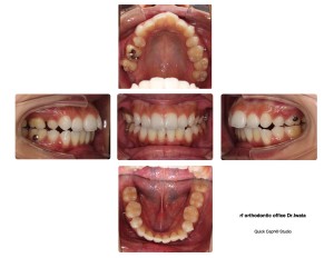
今日の経過写真です。
その他の歯は順調に動いています。
そして下の歯は犬歯以外、ほぼ完了だそうです!
ガタガタが解消されて綺麗に並んでいます、、、嬉しい!!!
今回で産前最後の診察となりました。
産休分のインビザラインと、ゴムも多めに頂きました。
産休の間に上の歯が動き始め、下の歯は犬歯以外は完了し、そのままの状態を維持していくそうです。
最近気になることがあります。
それは…
出産の時インビザラインはどうしているのか?
つけたままなのか?
ゴムかけもしているのか?
ということです!
先生からのコメントは
「あんまり無理しなくていいよ」
でした(笑)。産後にきちんとリカバリーしてくれるとのことです(涙)。
ともあれ出産中どうなるのか全く想像がつきませんが、紛失と破損だけには気をつけたいです。
そしてインビザラインのことを家族にも伝えておかないと、ビックリされそうですね(笑)。
入院の準備物にもインビザラインのお手入れセットを入れておこうと思います。
歯磨きも引き続き頑張ります!
産後の体験日記も楽しみにしていただけると嬉しいです^^


