2017.04.15

みなさん、ご無沙汰しています。
受付の赤木です。
最近…
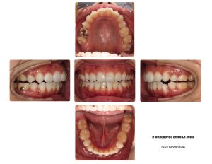
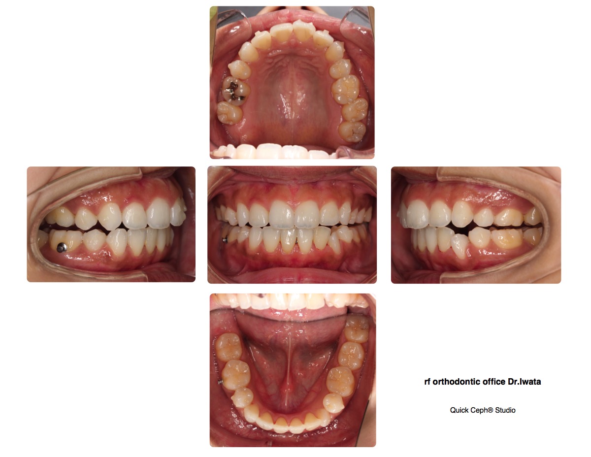
前歯が確実に引っ込んできました!その影響で矯正前に比べて口が閉じやすくなってきました!
色々と自分で実感できることが増えてとっても嬉しいです。
そういえば…
以前、載せた左上のしみる症状は歯を動かしているのが原因でした。虫歯じゃなくてひと安心!
現在の治療状況はというと…
下顎のマウスピースは就寝時のみの装着になりました。
上顎はまだまだ歯が動いていくので常に装着しています!
下の歯が解放的になったので、
そして
新しいチューウィーを頂きました!
今回からガムみたいな形をしています。ロール状のチューウィーより硬くて噛みやすいです!
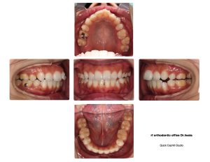
3ヶ月ぶりの経過写真です。
前歯が緩やかにアーチがかってきました!
「自分の歯じゃないみたい………」
まだまだ途中経過ですが、この写真を初めて見た時に思いました。それくらい嬉しかったです!
それにもうすぐマウスピースが一巡します!!これも楽しみーーー!

