
2025.07.18
【更新しました!】インビザライン矯正中の私が実際に医療費控除の申請をしてきました!
皆様こんにちは。アールエフ矯正歯科スタッフです^^ ご来院の患者様より、「この矯正治療ブログ読みました!とても参考になり…
患者様の矯正ブログ|水道橋の矯正歯科 アールエフ矯正歯科

皆様こんにちは。アールエフ矯正歯科スタッフです^^ ご来院の患者様より、「この矯正治療ブログ読みました!とても参考になり…

皆様、こんにちは。 当院では小学生、中学生、高校生のお子様もインビザライン矯正を一緒に頑張ってくだ…

医療費控除の時期がやってまいりましたね。 インビザライン矯正中の治療費の領収書とその他の病院での治療費の領収書…

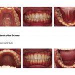
前々回の続き保定期間についてのお知らせです^^ 保定期間に入るとリテーナーの作製のほかに治療終了の記録としてき…

以前お伝えしましたイージーリフトを 使用したいと声をかけていただく機会が増えてきました。 (以前のイージーリフトの記…

残りの枚数がすべて終わりました。ついに!!歯が並び終わりました! 家で保管していたインビザライン初回1枚目と比…

皆様、こんにちは 今日はインビザラインの着脱について朗報がありますのでお伝えします^^ …

皆様、こんにちは 現在3巡目7枚目を使用中です。オルソパルスとゴムかけに奮闘しています^^ 今日から…

皆様、こんにちは 今回は経過をチェックする診察を行いました! まず、衛生士さんに全体のクリーニングを…

もう矯正治療が終わって2年経ちました。なんかあっという間で。。。年が経つのが早く感じて怖いです(笑)。 今日は…