
皆様、こんにちは
現在3巡目7枚目を使用中です。
オルソパルスとゴムかけに奮闘しています^^
今日から
ゴムかけが8時間→12時間に増えました!
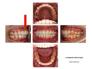
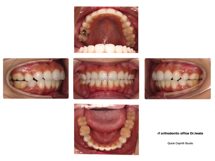
ここ半年間の経過写真です
左下3番目(赤丸)と、出っ歯(赤い矢印)の変化を見てみてください
↓
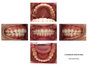
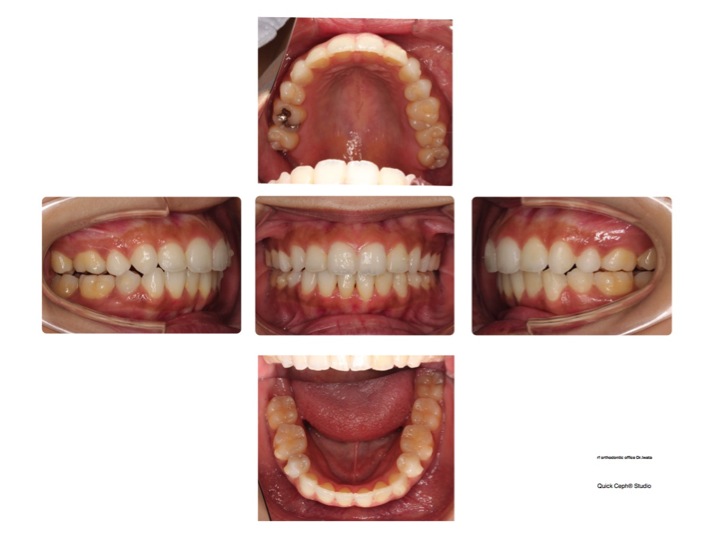
2ヶ月後
↓
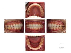
さらに2ヶ月後
一番の課題だった左下3番目が内側に入ってくれました!
そして出っ歯も改善されてきました!
口を開けた写真を見るとキレイなアーチに見えますし、
もう完璧じゃない!?
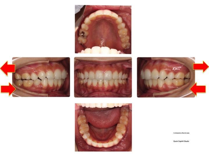
と思っていましたが
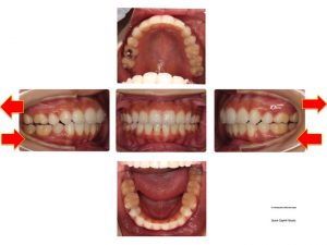
先生曰く、もう少し左下3番目は起き上がって内側に入ってほしいそうです。
そして、両上下の奥歯は矢印の方向にもう少し動いてほしいそうです。
(上の奥歯は後ろへ 下の奥歯は前へ)
これらの動きがゴムかけ12時間の働きになります!
とっても重要ですね!!
前回同様、12時間を分割して日中にもゴムをかける時間を増やしました。
動き終わるとなんと矯正治療が終了だそうです!
矯正専門の先生ってすごいですね!!
歯が完全にキレイに並ぶまでしっかりと診ていただけるので
本当に安心して治療が受けられます^^
そして今日は
インビザライン矯正に欠かせないチューウィーについてもお話しようと思います。
正直チューウィーのどこが重要なの、、、と思ったことありませんか?
マウスピースをしておけば大丈夫じゃない?
何日か経つと自然と馴染みそう!
チューウィー5分間噛むってけっこう長い、、1分くらいで十分じゃない?
まぁいっか、、、←
(私の心の声多めです。笑)
などなど、
チューウィーの存在が薄くなってはいないでしょうか?
実はチューウィー5分間こそがポイントなんです!!
インビザライン中の歯は1枚につき0.25mm動きます。
交換仕立てはマウスピースの噛み合わせ部分に厚みがあります。
0.25mmはその厚み分になります。
チューウィーをよく噛んで厚みをなくしていかないと
どんどん取り残されてしまうことになります。
チューウィーをしっかり噛むようにいつも先生から言われていますが、
きちんとフィットしているのかこれで正しいのか、
正直よく分かりません。
そんな相談をしたとき
先生が私の口の中を見て、
マウスピースに気泡が入っているからまだまだ噛めるよ!
と教えてくれました。
ん?気泡?
自分で気泡がどこにあるのか分からなかったので
先生はマウスピースに空気をかけて
気泡がマウスピースから出ていくのを鏡で確認させていただきました!
↑このように空気を入れてくれます。
気泡がたくさん出てきました。。。
(本当にチューウィーの注意をよくされるんです。笑)
この気泡がなくなると噛めている証拠だそうです!!
気泡が目安ですね。
気泡は自分の目でも確認できますよ。
チューウィーがきちんと出来ているか不安な方は是非先生にお話ししてみてください^^
チューウィーが壊れたり、柔らかくなってしまった場合は
新しいチューウィーをお渡ししておりますので、気軽に声をかけてくださいね!
チューウィー5分間、私もがんばります^^





