「あなただけ」の
診療空間で、
理想の笑顔を。
専門性の高い矯正技術と
充実したサポート体制で、
患者さま一人ひとりの想いを叶えます。

東京・文京区の「アールエフ矯正歯科」は、
マウスピース型矯正装置(インビザライン)を
中心に治療を行なう、
歯列矯正専門クリニックです。
私たちは矯正治療を
「医療」として真摯に提供しています。
一般的に難しいとされる症例にも対応でき、
大学病院と連携した治療が可能です。
お知らせ

沖縄旅行の計画で気づいた、人に頼ることの大切さ

「気持ちの準備が整うこと」
治療症例

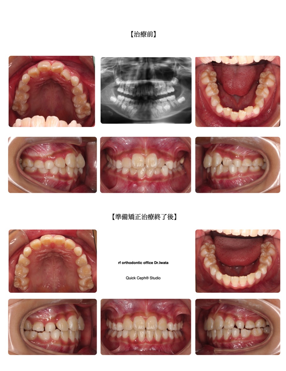
叢生症例 <歯列狭窄を伴う叢生に対する準備矯正治療>

叢生症例 <上下顎前歯の重度叢生に対する非抜歯矯正治療>

上顎前突症例 <正中離開を伴う上顎前歯の前突に対する準備矯正治療>

上顎前突症例 <叢生を伴う骨格性下顎後退に対する準備矯正治療>
「歯並びがちょっと気になる…」 そんなときは、まずは初診相談へ。
あなたの想いやお悩み…
どうぞ安心して
お聞かせください
理想の歯並びを手に入れる第一歩として、
患者さまのお口の状態、疑問、不安などを解消する場としてもご利用ください。
当院では、完全予約制で、相談時間は貸切となります。
ほかの方を気にせず、リラックスしてご相談いただけるプライベート空間で、
患者さま一人ひとりに集中した対応をお約束します。
初診相談に費用はかかりません 検査まで行ない、一人ひとりに寄り添った丁寧なカウンセリング
オンライン初診相談実施中 Zoomアプリのインストールが必要です
[平日]10:00~13:30、15:00~18:30/[土日]9:00~17:30
[休診日]月・金・祝日・隔週日曜 ※平日10:00~11:00/土日9:00~10:00は初診相談予約のみとなります。
はじめてご来院される 患者さまへ
GUIDANCE選ばれる6つの理由
ごあいさつ
当院は、マウスピース型矯正装置(インビザライン)による治療を中心とした歯列矯正専門医院です。できるだけ歯を抜かない、そして痛みやストレスを抑えた矯正治療を通して、患者さまの明るい未来をつくるお手伝いをさせていただきます。
矯正歯科治療のご案内

矯正歯科について
マウスピース型矯正装置(インビザライン)を用いた治療を中心に、お口の状態に合わせて、ワイヤーでの矯正治療もご提案します。一貫して院長が治療を管理します。

マウスピース型矯正装置
(インビザライン)
マウスピース型矯正装置では治療が難しいといわれる症例にも対応。矯正専門医院ならではの深い知見と培った技術で、責任をもって治療にあたります。

ワイヤーによる表側矯正
歯の表面に白い装置を付けて歯並びを整えます。さまざまな症状に対応でき、マウスピース型矯正装置(インビザライン)との併用もご提案可能です。

小児矯正(子どもの矯正)
マウスピース型矯正装置(インビザライン・ファースト)で歯並びを整えていきます。ほかにも、歯列矯正用咬合誘導装置(プレオルソ)で口呼吸や舌癖の改善を図ります。
矯正治療をもっとスマートに
遠隔矯正管理システム
「デンタルモニタリング」
スマホでお口の写真を送るだけで治療の進み具合を確認できるシステムです。
通院の負担を減らしながら、効率的で安心な矯正治療をサポートします。

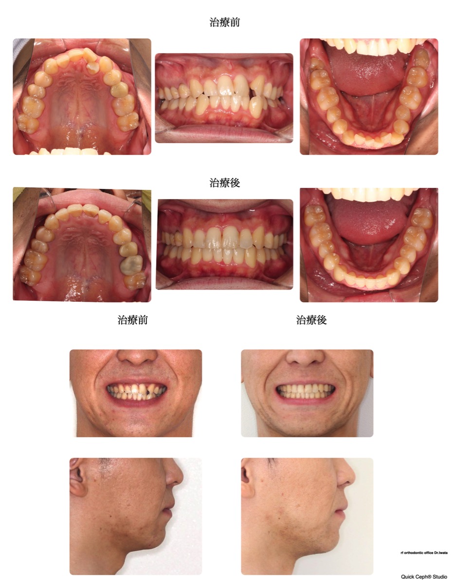
矯正治療症例一覧
アールエフ矯正歯科で実際に治療を受けられた方の症例写真をご紹介しています。
治療前後でどのように改善されるか一目でおわかりいただけますので、
ご自身やお子さまの治療を検討されている方はぜひご参考にしてください。
診療カレンダー
| 日曜 | 月曜 | 火曜 | 水曜 | 木曜 | 金曜 | 土曜 |
|---|---|---|---|---|---|---|
| 1 | 2 | 3 | 4 | |||
| 5 | 6 | 7 | 8 | 9 | 10 | 11 |
| 12 | 13 | 14 | 15 | 16 | 17 | 18 |
| 19 | 20 | 21 | 22 | 23 | 24 | 25 |
| 26 | 27 | 28 | 29 | 30 |
| 日曜 | 月曜 | 火曜 | 水曜 | 木曜 | 金曜 | 土曜 |
|---|---|---|---|---|---|---|
| 1 | 2 | |||||
| 3 | 4 | 5 | 6 | 7 | 8 | 9 |
| 10 | 11 | 12 | 13 | 14 | 15 | 16 |
| 17 | 18 | 19 | 20 | 21 | 22 | 23 |
| 24 | 25 | 26 | 27 | 28 | 29 | 30 |
| 31 |
治療における注意点
○矯正治療
・矯正治療全般における一般的な治療費は60万~150万円、一般的な治療期間は2~3年、一般的な治療回数は24~36回となります。使用する装置、症状や治療の進行状況などにより変化しますので、参考程度にお考えいただき、詳細は歯科医師にご確認ください。
・機能性や審美性を重視するため、公的健康保険対象外の自費診療となり、保険診療よりも高額になります。
・最初は矯正装置による不快感、痛みなどがあります。数日から1~2週間で慣れることが多いです。
・治療期間は症例により異なりますが、成人矯正や永久歯が全て生えそろっている場合は、一般的に1年半~3年を要します。小児矯正においては、混合歯列期(乳歯と永久歯が混在する時期)に行なう第1期治療で1~2年、永久歯が全て生えそろったあとに行なう第2期治療で1~2年半を要することがあります。
○マウスピース型矯正装置(インビザライン)
・機能性や審美性を重視するため、公的健康保険対象外の自費診療となり、保険診療よりも高額になります。
・正しい装着方法で1日20時間以上使用しないと、目標とする治療結果を得られないことがあるため、きちんとした自己管理が必要になります。
・ご自身で取り外せるため、紛失することがあります。
・症状によっては、マウスピース型矯正装置(インビザライン)で治療できないことがあります。
・お口の中の状態によっては、治療計画どおりの結果が得られないことがあります。
・装着したまま糖分の入った飲料をとると、虫歯を発症しやすくなります。
・治療によって、まれに歯根吸収や歯肉退縮が起こることがあります。
・食いしばりの癖が強い方の場合、奥歯が噛みあわなくなることがあります。
・治療途中で、ワイヤーを使う治療への変更が必要になることがあります。
・お口の状態によっては、マウスピース型矯正装置(インビザライン)に加え、補助矯正装置が必要になることがあります。
・治療完了後は後戻りを防ぐため、保定装置の装着が必要になります。
・薬機法(医薬品医療機器等法)においてまだ承認されていない医療機器です。日本では完成物薬機法対象外の装置であり、医薬品副作用被害救済措置の対象外となることがあります。
○薬機法において承認されていない医療機器「インビザライン」について
当院でご提供している「マウスピース型矯正装置(インビザライン)」は、薬機法(医薬品医療機器等法)においてまだ承認されていない医療機器となりますが、当院ではその有効性を認め、導入しています。
◦未承認医療機器に該当
薬機法上の承認を得ていません(独立行政法人 医薬品医療機器総合機構ウェブサイトにて2025年10月10日最終確認)。
◦入手経路等
アライン・テクノロジー社(日本法人:インビザライン・ジャパン合同会社)より入手しています。
◦国内の承認医療機器等の有無
国内では、マウスピース型矯正装置(インビザライン)と同様の性能を有した承認医療機器は存在しない可能性があります(独立行政法人 医薬品医療機器総合機構ウェブサイトにて2025年10月10日最終確認)。
◦諸外国における安全性等にかかわる情報
1998年にFDA(米国食品医薬品局)により医療機器として認証を受けていますが、情報が不足しているため、ここでは諸外国における安全性等にかかわる情報は明示できません。今後重大なリスク・副作用が報告される可能性があります。
◦医薬品副作用被害救済制度・生物由来製品感染等被害救済制度の救済対象外
国内で承認を受けて製造販売されている医薬品・医療機器(生物由来等製品である場合に限る)・再生医療等製品による副作用やウイルス等による感染被害で、万が一健康被害があったとき、「医薬品副作用被害救済制度」「生物由来製品感染等被害救済制度」などの公的な救済制度が適用されますが、未承認医薬品・医療機器・再生医療等製品の使用は救済の対象にはなりません。また、承認を受けて製造販売されている医薬品・医療機器・再生医療等製品であっても、原則として決められた効能・効果、用法・用量および使用上の注意に従って使用されていない場合は、救済の対象にはなりません。
日本では、完成物薬機法対象外の矯正装置であり、医薬品副作用被害救済制度の対象外となります。
※当該未承認医薬品・医療機器を用いた治療の広告に対する注意事項の情報の正確性について、本ウェブサイトの関係者は一切責任を負いません。
○遠隔診療(AIデンタルモニタリング)
・遠隔診療(AIデンタルモニタリング)で使用する歯科用開口器は、薬機法(医薬品医療機器等法)において承認された医療機器です。このシステムを活用する際の補助装置としてスマートフォンに装着して口腔内を撮影します。
・チーク・リトラクター・チューブをお口に差し込み、専用のアプリケーションの指示に従ってさまざまな角度から口腔内を撮影します。
・撮影を何度もやり直すと口周りに痛みが出る可能性があります。
・1週間に1回程度の撮影が必須であり、撮影を忘れると治療期間に影響が出る可能性があります。
○歯列矯正用咬合誘導装置(プレオルソ)
・薬機法(医薬品医療機器等法)において承認された医療機器です。歯の誘導に使用します。
・機能性や審美性を重視するため、公的健康保険対象外の自費診療となり、保険診療よりも高額になります。
・取り外せるので、装着時間を守るためのセルフコントロールが必要です。
・お子さまが治療に協力的でない場合、良好な治療結果を得られないことがあります。
・毎日の装着を怠ると、良好な治療結果を得られないことがあります。
・正しい使い方ができていないと、かえって悪い歯並びになってしまうことがあります。
・この装置だけで、お口周りの問題を全て解決できるわけではありません。








