叢生(八重歯・乱ぐい歯)
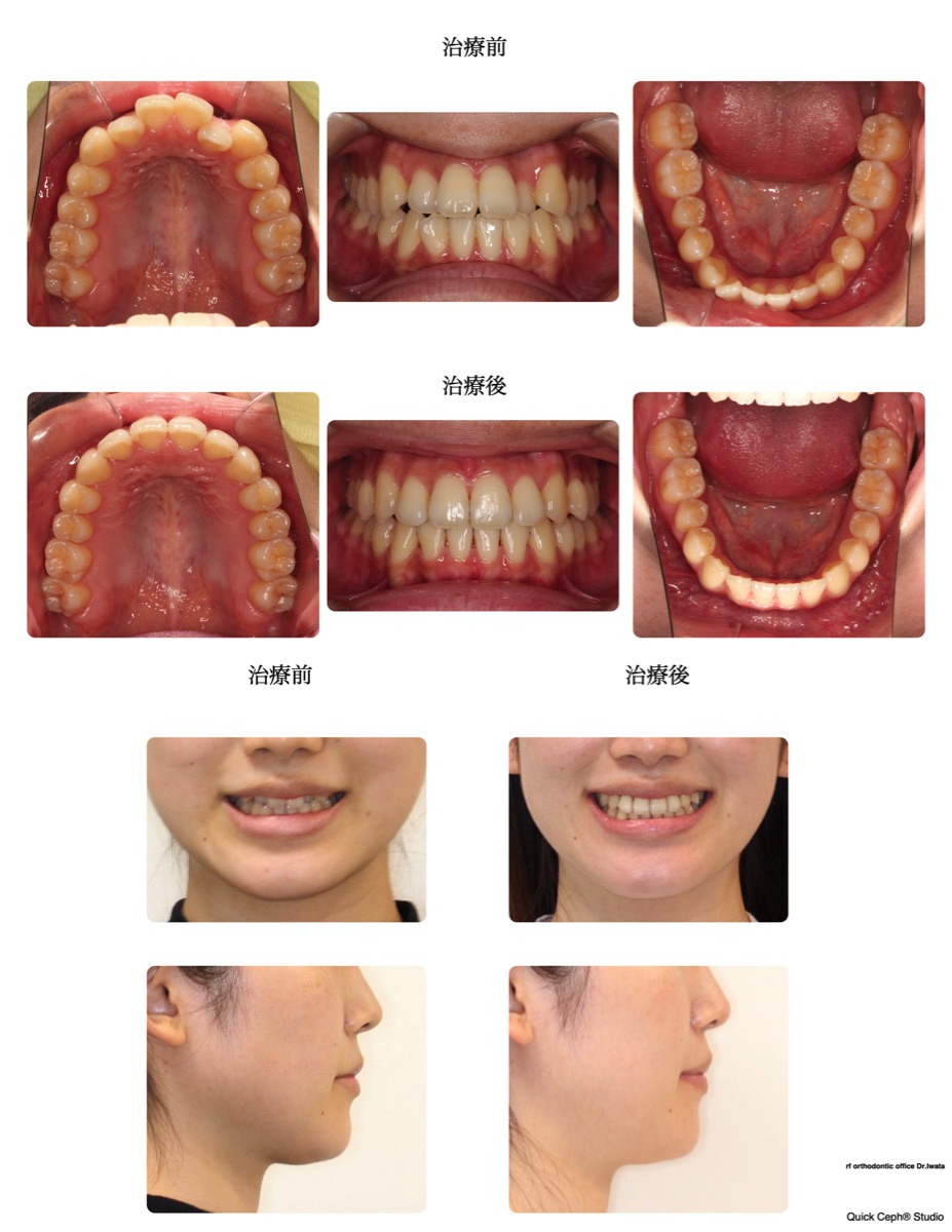
叢生症例 <前歯部の叢生に対して下顎の遠心移動を行った非抜歯矯正治療>
【主訴】上下の前歯がガタガタしていて歯磨きがしづらい。左上の前歯が1本内側に入っていて笑った時に歯が無いように見える。
【主な症状】叢生 大臼歯 Class III
【抜歯部位】なし
【矯正歯科治療のリスク・副作用】う蝕、歯肉炎、歯周炎、歯根吸収、歯肉退縮
治療方法 | マウスピース型矯正装置 | 治療期間 | 28ヶ月 | ||||
---|---|---|---|---|---|---|---|
性別 | 女性 | 年齢 | 20代 | 治療費用 | ¥1,135,000+TAX |

※当院では矯正治療を行う全ての患者様に対して矯正精密検査を行い治療方針を決定致します。そのため治療計画、治療結果及び治療期間については患者様や歯並びの状況により異なります。
叢生症例 <歯列狭窄を伴う叢生に対する非抜歯矯正治療>
上下の前歯がガタガタしている、いわゆる「叢生(そうせい)」に悩む方は少なくありません。今回の患者様は、上の前歯が内側に入り込んでしまっており、前から見ると歯がないように見えることを主訴として来院されました。また、歯並びの乱れによって歯磨きがしづらく、清掃性が低下していることも気にされていました。
診断の結果、上下顎前歯部に叢生が認められました。今回は歯を抜かずに行う「非抜歯矯正」を選択し、歯列の拡大やIPR(歯と歯の間を少しだけ削る処置)を行いながら、歯並びを整える治療計画を立案しました。特に、上の前歯の舌側転位(内側に入り込んでいる状態)を改善することで、見た目の印象とブラッシングのしやすさの両方を改善することを目指します。
矯正歯科治療には、虫歯(う蝕)、歯肉炎、歯周炎、歯根吸収、歯肉退縮などの副作用やリスクが伴う場合があります。そのため、事前にしっかりと説明を行い、患者様の理解と同意を得た上で治療を進めています。矯正治療は見た目の改善だけでなく、口腔衛生の向上や将来的な歯の健康にもつながる重要な治療です。
治療方法 | マウスピース型矯正装置 | 治療期間 | 8ヶ月 | ||||
---|---|---|---|---|---|---|---|
性別 | 女性 | 年齢 | 20代 | 治療費用 | ¥1,135,000+TAX |

※当院では矯正治療を行う全ての患者様に対して矯正精密検査を行い治療方針を決定致します。そのため治療計画、治療結果及び治療期間については患者様や歯並びの状況により異なります。
叢生症例 <重度叢生に対する非抜歯矯正治療>
【主訴】上下の歯がデコボコしているのがずっと気になっていた。できれば歯を抜かずに綺麗にしたい。
【主な症状】叢生
【抜歯部位】なし
【矯正歯科治療のリスク・副作用】う蝕、歯肉炎、歯周炎、歯根吸収、歯肉退縮
治療方法 | マウスピース型矯正装置 | 治療期間 | 20ヶ月 | ||||
---|---|---|---|---|---|---|---|
性別 | 女性 | 年齢 | 30代 | 治療費用 | ¥1,135,000+TAX |

※当院では矯正治療を行う全ての患者様に対して矯正精密検査を行い治療方針を決定致します。そのため治療計画、治療結果及び治療期間については患者様や歯並びの状況により異なります。
叢生症例 <上顎犬歯欠損を伴う叢生に対する3本抜歯矯正治療>
【主訴】 下の前歯がガタガタしている。右上の犬歯がずっと生えてこない。口元が出ている感じがする。
【主な症状】叢生 上顎右側犬歯欠損 下顎後退
【抜歯部位】上顎左側第一小臼歯 下顎両側第一小臼歯(上顎右側犬歯欠損)
【矯正歯科治療のリスク・副作用】う蝕、歯肉炎、歯周炎、歯根吸収、歯肉退縮
治療方法 | マウスピース型矯正装置 | 治療期間 | 25ヶ月 | ||||
---|---|---|---|---|---|---|---|
性別 | 女性 | 年齢 | 20代 | 治療費用 | ¥1,135,000+TAX |

※当院では矯正治療を行う全ての患者様に対して矯正精密検査を行い治療方針を決定致します。そのため治療計画、治療結果及び治療期間については患者様や歯並びの状況により異なります。
叢生症例 <下顎前歯先天欠損を伴う叢生に対する非抜歯矯正治療>
【主訴】 上下の前歯がデコボコになっている。歯医者で下の前歯が1本少ないと指摘されかみ合わせが心配になった。
【主な症状】叢生
【抜歯部位】なし(下顎前歯1本先天欠損)
【矯正歯科治療のリスク・副作用】う蝕、歯肉炎、歯周炎、歯根吸収、歯肉退縮
治療方法 | マウスピース型矯正装置 | 治療期間 | 19ヶ月 | ||||
---|---|---|---|---|---|---|---|
性別 | 女性 | 年齢 | 20代 | 治療費用 | ¥1,135,000+TAX |

※当院では矯正治療を行う全ての患者様に対して矯正精密検査を行い治療方針を決定致します。そのため治療計画、治療結果及び治療期間については患者様や歯並びの状況により異なります。
叢生症例 <過蓋咬合を伴う重度叢生に対する抜歯矯正治療>
【主訴】 下の奥歯が内側に入っていて舌に当たり、歯磨きもしにくい。上の前歯のガタガタも気になる。
【主な症状】叢生 過蓋咬合
【抜歯部位】上顎両側第一小臼歯 下顎両側第二小臼歯
【矯正歯科治療のリスク・副作用】う蝕、歯肉炎、歯周炎、歯根吸収、歯肉退縮
治療方法 | マウスピース型矯正装置 | 治療期間 | 30ヶ月 | ||||
---|---|---|---|---|---|---|---|
性別 | 男性 | 年齢 | 20代 | 治療費用 | ¥1,135,000+TAX |

※当院では矯正治療を行う全ての患者様に対して矯正精密検査を行い治療方針を決定致します。そのため治療計画、治療結果及び治療期間については患者様や歯並びの状況により異なります。
叢生症例 <上下顎前歯部叢生に対する非抜歯矯正治療>
【主訴】 上下の前歯がガタガタしている。笑った時の見え方が気になる。
【主な症状】叢生
【抜歯部位】なし
【矯正歯科治療のリスク・副作用】う蝕、歯肉炎、歯周炎、歯根吸収、歯肉退縮
治療方法 | マウスピース型矯正装置 | 治療期間 | 6ヶ月 | ||||
---|---|---|---|---|---|---|---|
性別 | 女性 | 年齢 | 10代 | 治療費用 | ¥1,135,000+TAX |

※当院では矯正治療を行う全ての患者様に対して矯正精密検査を行い治療方針を決定致します。そのため治療計画、治療結果及び治療期間については患者様や歯並びの状況により異なります。
叢生症例 <前突を伴う下顎叢生に対する抜歯矯正治療>
【主訴】 下の前歯がでこぼこしている。上の前歯が出っ歯になっている。
【主な症状】叢生 上顎前突
【抜歯部位】上下顎両側第一小臼歯
【矯正歯科治療のリスク・副作用】う蝕、歯肉炎、歯周炎、歯根吸収、歯肉退縮
治療方法 | マウスピース型矯正装置 | 治療期間 | 25ヶ月 | ||||
---|---|---|---|---|---|---|---|
性別 | 女性 | 年齢 | 10代 | 治療費用 | ¥1,135,000+TAX |

※当院では矯正治療を行う全ての患者様に対して矯正精密検査を行い治療方針を決定致します。そのため治療計画、治療結果及び治療期間については患者様や歯並びの状況により異なります。
叢生症例 <右側八重歯を伴う叢生に対する抜歯矯正治療>
【主訴】 右上の八重歯が気になる。口元も出ているのですっきりさせたい。
【主な症状】叢生 上下顎前突
【抜歯部位】上下顎両側第一小臼歯
【矯正歯科治療のリスク・副作用】う蝕、歯肉炎、歯周炎、歯根吸収、歯肉退縮
治療方法 | マウスピース型矯正装置 | 治療期間 | 24ヶ月 | ||||
---|---|---|---|---|---|---|---|
性別 | 女性 | 年齢 | 10代 | 治療費用 | ¥1,135,000+TAX |

※当院では矯正治療を行う全ての患者様に対して矯正精密検査を行い治療方針を決定致します。そのため治療計画、治療結果及び治療期間については患者様や歯並びの状況により異なります。
叢生症例 <前突を伴う重度叢生に対する抜歯矯正治療>
【主訴】 歯並びのひどいガタガタを綺麗にしたい。マウスピース矯正が可能なら目立たない装置で治療したい。
【主な症状】叢生 上下顎前突
【抜歯部位】上下顎両側第一小臼歯
【矯正歯科治療のリスク・副作用】う蝕、歯肉炎、歯周炎、歯根吸収、歯肉退縮
治療方法 | マウスピース型矯正装置 | 治療期間 | 20ヶ月 | ||||
---|---|---|---|---|---|---|---|
性別 | 女性 | 年齢 | 20代 | 治療費用 | ¥1,085,000+TAX |

※当院では矯正治療を行う全ての患者様に対して矯正精密検査を行い治療方針を決定致します。そのため治療計画、治療結果及び治療期間については患者様や歯並びの状況により異なります。
叢生症例 <歯列の重度狭窄を伴う叢生に対する抜歯矯正治療>
【主訴】 歯並びが内側に倒れていてしゃべりにくい。
【主な症状】叢生 上下顎狭窄歯列
【抜歯部位】上下顎両側第二小臼歯
【矯正歯科治療のリスク・副作用】う蝕、歯肉炎、歯周炎、歯根吸収、歯肉退縮
治療方法 | マウスピース型矯正装置 | 治療期間 | 22ヶ月 | ||||
---|---|---|---|---|---|---|---|
性別 | 男性 | 年齢 | 20代 | 治療費用 | ¥1,085,000+TAX |

※当院では矯正治療を行う全ての患者様に対して矯正精密検査を行い治療方針を決定致します。そのため治療計画、治療結果及び治療期間については患者様や歯並びの状況により異なります。
叢生症例 <上下顎叢生に対する前歯部抜歯矯正治療>
【主訴】 歯並びがガタガタしているので綺麗にしたい。前歯が神経を取っているのでその歯を抜歯して治療が可能か相談したい。
【主な症状】叢生
【抜歯部位】上顎両側側切歯 下顎両側第一小臼歯
【矯正歯科治療のリスク・副作用】う蝕、歯肉炎、歯周炎、歯根吸収、歯肉退縮
治療方法 | マウスピース型矯正装置 | 治療期間 | 17ヶ月 | ||||
---|---|---|---|---|---|---|---|
性別 | 女性 | 年齢 | 30代 | 治療費用 | ¥1,085,000+TAX |

※当院では矯正治療を行う全ての患者様に対して矯正精密検査を行い治療方針を決定致します。そのため治療計画、治療結果及び治療期間については患者様や歯並びの状況により異なります。
叢生症例 <上下顎前歯の叢生に対する非抜歯矯正治療>
【主訴】 結婚式までに前歯を綺麗にしたい。できるだけ歯は抜かずに矯正したい。
【主な症状】叢生
【抜歯部位】なし
【矯正歯科治療のリスク・副作用】う蝕、歯肉炎、歯周炎、歯根吸収、歯肉退縮
治療方法 | マウスピース型矯正装置 | 治療期間 | 19ヶ月 | ||||
---|---|---|---|---|---|---|---|
性別 | 女性 | 年齢 | 30代 | 治療費用 | ¥1,085,000+TAX |

※当院では矯正治療を行う全ての患者様に対して矯正精密検査を行い治療方針を決定致します。そのため治療計画、治療結果及び治療期間については患者様や歯並びの状況により異なります。
叢生症例 <八重歯と前突を伴う叢生に対する抜歯矯正治療>
【主訴】 左上の八重歯がを治したい。デコボコで歯磨きがしづらい。口元が出ている気がする
【主な症状】叢生 上下顎前突
【抜歯部位】上下顎両側第二小臼歯
【矯正歯科治療のリスク・副作用】う蝕、歯肉炎、歯周炎、歯根吸収、歯肉退縮
治療方法 | マウスピース型矯正装置 | 治療期間 | 22ヶ月 | ||||
---|---|---|---|---|---|---|---|
性別 | 女性 | 年齢 | 30代 | 治療費用 | ¥1,085,000+TAX |

※当院では矯正治療を行う全ての患者様に対して矯正精密検査を行い治療方針を決定致します。そのため治療計画、治療結果及び治療期間については患者様や歯並びの状況により異なります。
叢生症例 <八重歯を伴う叢生に対する抜歯矯正治療>
【主訴】 前歯がガタガタで歯磨きがしにくくむし歯になるのが心配。八重歯が目立つので治したい。
【主な症状】叢生
【抜歯部位】上顎両側第一小臼歯 下顎両側第二小臼歯
【矯正歯科治療のリスク・副作用】う蝕、歯肉炎、歯周炎、歯根吸収、歯肉退縮
治療方法 | マウスピース型矯正装置 | 治療期間 | 21ヶ月 | ||||
---|---|---|---|---|---|---|---|
性別 | 女性 | 年齢 | 20代 | 治療費用 | ¥1,085,000+TAX |

※当院では矯正治療を行う全ての患者様に対して矯正精密検査を行い治療方針を決定致します。そのため治療計画、治療結果及び治療期間については患者様や歯並びの状況により異なります。
叢生症例 <前突と八重歯を伴う叢生に対する抜歯矯正治療>
【主訴】 笑った時の八重歯がコンプレックスで治したい。口も閉じにくい。
【主な症状】叢生 上下顎前突
【抜歯部位】上下顎両側第一小臼歯
【矯正歯科治療のリスク・副作用】う蝕、歯肉炎、歯周炎、歯根吸収、歯肉退縮
治療方法 | マウスピース型矯正装置 | 治療期間 | 24ヶ月 | ||||
---|---|---|---|---|---|---|---|
性別 | 女性 | 年齢 | 10代 | 治療費用 | ¥1,085,000+TAX |

※当院では矯正治療を行う全ての患者様に対して矯正精密検査を行い治療方針を決定致します。そのため治療計画、治療結果及び治療期間については患者様や歯並びの状況により異なります。
叢生症例 <八重歯を伴う上下顎叢生に対する非抜歯矯正治療>
【主訴】 左上の八重歯が笑った時に気になる。下の前歯がデコボコしているので歯磨きがしにくい。
【主な症状】叢生
【抜歯部位】なし
【矯正歯科治療のリスク・副作用】う蝕、歯肉炎、歯周炎、歯根吸収、歯肉退縮
治療方法 | マウスピース型矯正装置 | 治療期間 | 18ヶ月 | ||||
---|---|---|---|---|---|---|---|
性別 | 女性 | 年齢 | 30代 | 治療費用 | ¥1,085,000+TAX |

※当院では矯正治療を行う全ての患者様に対して矯正精密検査を行い治療方針を決定致します。そのため治療計画、治療結果及び治療期間については患者様や歯並びの状況により異なります。
叢生症例 <上下顎前歯部の叢生に対する非抜歯矯正治療>
【主訴】 上下の前歯がガタガタしている。下の前歯が1本前に出ているし、正中がズレている気がする。
【主な症状】叢生
【抜歯部位】なし
【矯正歯科治療のリスク・副作用】う蝕、歯肉炎、歯周炎、歯根吸収、歯肉退縮
治療方法 | マウスピース型矯正装置 | 治療期間 | 15ヶ月 | ||||
---|---|---|---|---|---|---|---|
性別 | 女性 | 年齢 | 20代 | 治療費用 | ¥1,085,000+TAX |

※当院では矯正治療を行う全ての患者様に対して矯正精密検査を行い治療方針を決定致します。そのため治療計画、治療結果及び治療期間については患者様や歯並びの状況により異なります。
叢生症例 <上顎前歯部の重度叢生に対する非抜歯矯正治療>
【主訴】 上の前歯がでこぼこしていて内側に入っている。
【主な症状】叢生
【抜歯部位】なし
【矯正歯科治療のリスク・副作用】う蝕、歯肉炎、歯周炎、歯根吸収、歯肉退縮
治療方法 | マルチブラケット装置 | 治療期間 | 17ヶ月 | ||||
---|---|---|---|---|---|---|---|
性別 | 女性 | 年齢 | 20代 | 治療費用 | ¥917,500+TAX |

※当院では矯正治療を行う全ての患者様に対して矯正精密検査を行い治療方針を決定致します。そのため治療計画、治療結果及び治療期間については患者様や歯並びの状況により異なります。
叢生症例 <片側の八重歯に対する非抜歯矯正治療>
【主訴】 左上の八重歯を綺麗にしたい。
【主な症状】叢生
【抜歯部位】なし
【矯正歯科治療のリスク・副作用】う蝕、歯肉炎、歯周炎、歯根吸収、歯肉退縮
治療方法 | マルチブラケット装置 | 治療期間 | 13ヶ月 | ||||
---|---|---|---|---|---|---|---|
性別 | 男性 | 年齢 | 13歳 | 治療費用 | ¥917,500+TAX |

※当院では矯正治療を行う全ての患者様に対して矯正精密検査を行い治療方針を決定致します。そのため治療計画、治療結果及び治療期間については患者様や歯並びの状況により異なります。
叢生症例 <後戻りによる重度叢生に対する非抜歯矯正治療>
【主訴】子供の頃に抜歯矯正をしたが後戻りでガタガタになったのでもう一度綺麗にしたい。今回は可能なら目立たないマウスピースで治療をしたい。
【主な症状】叢生
【抜歯部位】なし(過去に上下顎両側第一小臼歯抜歯済み)
【矯正歯科治療のリスク・副作用】う蝕、歯肉炎、歯周炎、歯根吸収、歯肉退縮
治療方法 | マウスピース型矯正装置 | 治療期間 | 15ヶ月 | ||||
---|---|---|---|---|---|---|---|
性別 | 女性 | 年齢 | 20代 | 治療費用 | ¥1,085,000+TAX |

※当院では矯正治療を行う全ての患者様に対して矯正精密検査を行い治療方針を決定致します。そのため治療計画、治療結果及び治療期間については患者様や歯並びの状況により異なります。
叢生症例 <上下顎前歯部叢生に対する非抜歯矯正治療>
【主訴】 上の1本出ている前歯を綺麗にしたい。
【主な症状】叢生
【抜歯部位】なし
【矯正歯科治療のリスク・副作用】う蝕、歯肉炎、歯周炎、歯根吸収、歯肉退縮
治療方法 | マウスピース型矯正装置 | 治療期間 | 24ヶ月 | ||||
---|---|---|---|---|---|---|---|
性別 | 女性 | 年齢 | 10代 | 治療費用 | ¥1,085,000+TAX |

※当院では矯正治療を行う全ての患者様に対して矯正精密検査を行い治療方針を決定致します。そのため治療計画、治療結果及び治療期間については患者様や歯並びの状況により異なります。
叢生症例 <片側八重歯を伴う叢生に対する上顎抜歯矯正治療>
【主訴】 右上の八重歯を治したい。上下前歯のズレを合わせたい。
【主な症状】叢生
【抜歯部位】上顎両側第一小臼歯
【矯正歯科治療のリスク・副作用】う蝕、歯肉炎、歯周炎、歯根吸収、歯肉退縮
治療方法 | マウスピース型矯正装置 | 治療期間 | 20ヶ月 | ||||
---|---|---|---|---|---|---|---|
性別 | 女性 | 年齢 | 30代 | 治療費用 | ¥1,085,000+TAX |

※当院では矯正治療を行う全ての患者様に対して矯正精密検査を行い治療方針を決定致します。そのため治療計画、治療結果及び治療期間については患者様や歯並びの状況により異なります。
叢生症例 <正中のズレを伴う重度叢生に対する左右非対称抜歯矯正治療>
【主訴】 八重歯とガタガタの歯並びが気になる。上の前歯が右にズレている気がする。
【主な症状】叢生
【抜歯部位】上下顎右側第一小臼歯、上下顎左側第二小臼歯(上顎左側第二小臼歯が抜髄歯のため)
【矯正歯科治療のリスク・副作用】う蝕、歯肉炎、歯周炎、歯根吸収、歯肉退縮
治療方法 | マウスピース型矯正装置 | 治療期間 | 22ヶ月 | ||||
---|---|---|---|---|---|---|---|
性別 | 女性 | 年齢 | 20代 | 治療費用 | ¥1,085,000+TAX |

※当院では矯正治療を行う全ての患者様に対して矯正精密検査を行い治療方針を決定致します。そのため治療計画、治療結果及び治療期間については患者様や歯並びの状況により異なります。
叢生症例 <八重歯を伴う重度叢生に対する抜歯矯正治療>
【主訴】 八重歯が気になる。ガタガタが強くて歯磨きがしにくい。
【主な症状】叢生
【抜歯部位】上下顎両側第一小臼歯
【矯正歯科治療のリスク・副作用】う蝕、歯肉炎、歯周炎、歯根吸収、歯肉退縮
治療方法 | マウスピース型矯正装置 | 治療期間 | 13ヶ月 | ||||
---|---|---|---|---|---|---|---|
性別 | 女性 | 年齢 | 20代 | 治療費用 | ¥1,085,000+TAX |

※当院では矯正治療を行う全ての患者様に対して矯正精密検査を行い治療方針を決定致します。そのため治療計画、治療結果及び治療期間については患者様や歯並びの状況により異なります。
叢生症例 <上下顎前歯の叢生に対する非抜歯矯正治療>
【主訴】 前歯のデコボコが気になる。右下の奥歯が内側に倒れているので舌に当たってしゃべりにくい。
【主な症状】叢生
【抜歯部位】なし
【矯正歯科治療のリスク・副作用】う蝕、歯肉炎、歯周炎、歯根吸収、歯肉退縮
治療方法 | マウスピース型矯正装置 | 治療期間 | 20ヶ月 | ||||
---|---|---|---|---|---|---|---|
性別 | 女性 | 年齢 | 20代 | 治療費用 | ¥1,085,000+TAX |

※当院では矯正治療を行う全ての患者様に対して矯正精密検査を行い治療方針を決定致します。そのため治療計画、治療結果及び治療期間については患者様や歯並びの状況により異なります。
叢生症例 <正中のズレを伴う上下顎前歯の重度叢生に対する非抜歯矯正治療>
【主訴】 前歯のガタガタを治したい。特に左上の前歯が内側に入っていて歯が無いように見えるのが気になる。上下の歯の真ん中もできれば合わせたい。
【主な症状】叢生
【抜歯部位】なし
【矯正歯科治療のリスク・副作用】う蝕、歯肉炎、歯周炎、歯根吸収、歯肉退縮
治療方法 | マウスピース型矯正装置 | 治療期間 | 22ヶ月 | ||||
---|---|---|---|---|---|---|---|
性別 | 女性 | 年齢 | 20代 | 治療費用 | ¥1,085,000+TAX |

※当院では矯正治療を行う全ての患者様に対して矯正精密検査を行い治療方針を決定致します。そのため治療計画、治療結果及び治療期間については患者様や歯並びの状況により異なります。
叢生症例 <片側の八重歯を1本抜歯にて改善した抜歯矯正治療>
【主訴】 右上の八重歯が高校生の頃から気になっていた。目立たない装置で矯正ができるなら治療したい。
【主な症状】叢生
【抜歯部位】上顎右側第一小臼歯
【矯正歯科治療のリスク・副作用】う蝕、歯肉炎、歯周炎、歯根吸収、歯肉退縮
治療方法 | マウスピース型矯正装置 | 治療期間 | 24ヶ月 | ||||
---|---|---|---|---|---|---|---|
性別 | 女性 | 年齢 | 10代 | 治療費用 | ¥1,085,000+TAX |

※当院では矯正治療を行う全ての患者様に対して矯正精密検査を行い治療方針を決定致します。そのため治療計画、治療結果及び治療期間については患者様や歯並びの状況により異なります。
叢生症例 <翼状捻転を伴う叢生に対する非抜歯矯正治療>
【主訴】 上の前歯のねじれが気になる。歯列が狭く舌に当たってしまう。
【主な症状】叢生
【抜歯部位】なし
【矯正歯科治療のリスク・副作用】う蝕、歯肉炎、歯周炎、歯根吸収、歯肉退縮
治療方法 | マウスピース型矯正装置 | 治療期間 | 10ヶ月 | ||||
---|---|---|---|---|---|---|---|
性別 | 男性 | 年齢 | 20代 | 治療費用 | ¥1,085,000+TAX |

※当院では矯正治療を行う全ての患者様に対して矯正精密検査を行い治療方針を決定致します。そのため治療計画、治療結果及び治療期間については患者様や歯並びの状況により異なります。
叢生症例 <保存不可の大臼歯抜歯スペースを利用した抜歯矯正治療>
【主訴】 左上の奥歯が折れて痛みが強く、抜歯しないといけないとかかりつけの先生に言われたのでそれをきっかけに矯正で歯並びを綺麗にしたい。
【主な症状】叢生 狭窄歯列
【抜歯部位】上顎左側第一大臼歯(保存不可)、上顎右側第一小臼歯、下顎両側第二小臼歯
【矯正歯科治療のリスク・副作用】う蝕、歯肉炎、歯周炎、歯根吸収、歯肉退縮
治療方法 | マウスピース型矯正装置 | 治療期間 | 24ヶ月 | ||||
---|---|---|---|---|---|---|---|
性別 | 女性 | 年齢 | 20代 | 治療費用 | ¥1,085,000+TAX |

※当院では矯正治療を行う全ての患者様に対して矯正精密検査を行い治療方針を決定致します。そのため治療計画、治療結果及び治療期間については患者様や歯並びの状況により異なります。