
2025.12.10
叢生症例 <前突を伴う叢生に対する準備矯正治療>
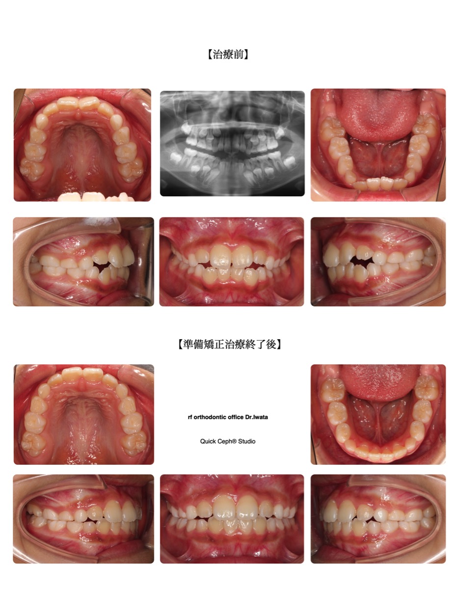
【主訴】上下の前歯デコボコして生えてきた。前歯でものが食べづらく口も閉じにくいため矯正で綺麗にしたい。【主な…
こどもの症例|水道橋の矯正歯科 アールエフ矯正歯科

【主訴】上下の前歯デコボコして生えてきた。前歯でものが食べづらく口も閉じにくいため矯正で綺麗にしたい。【主な…

【主訴】かみ合わせが深く、上の前歯が変な向きで生えてきた。下の乳犬歯も結構前に抜けたが永久歯がなかなか生えて…

【主訴】上の前歯が内側から生えてきて将来の歯並びが心配。反対側の前歯もこれから抜けるが既にスペースが無さそう…

【主訴】右側のかみ合わせが逆になっていて前歯の正中が大きくズレているのを検診で指摘された。今後顎が曲がってい…

【主訴】上下の前歯がガタガタに生えてきた。特に上の前歯がハの字になってきて今後の歯並びが心配。【主な症状】叢…

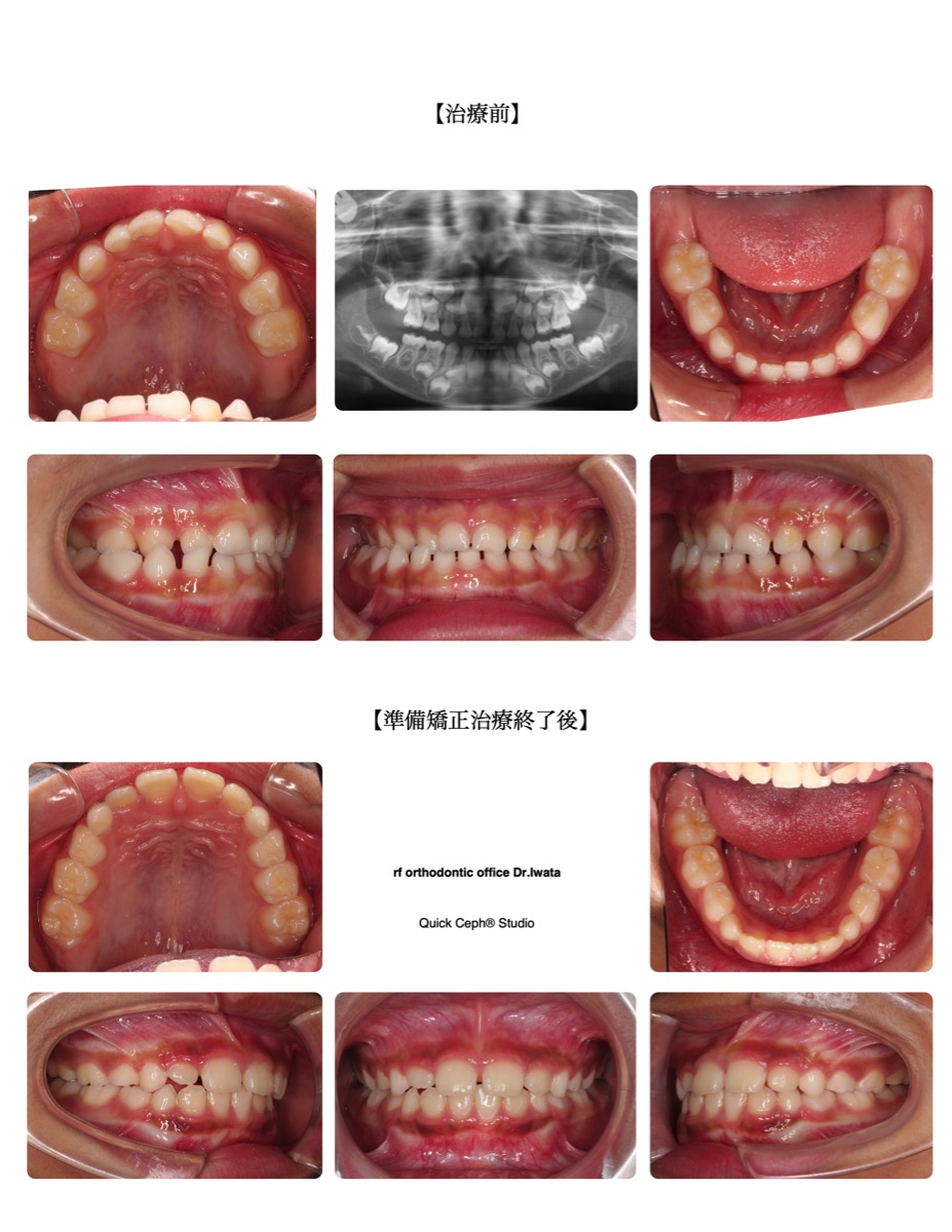
【主訴】大人の前歯が出始めたら窮屈な感じになり、重なって生えてきた。上の前歯の隙間も目立ってきたので一度綺麗…

主訴上下の前歯がガタガタしてきて歯磨きがしづらい。噛み合わせも深い感じがする。歯が重なっていると、歯磨きがし…

反対咬合と翼状捻転の矯正治療:改善方法とリスク「反対咬合(受け口)が気になる」「前歯が不正な位置に生えている」「歯並びに…

「すきっ歯が気になる」「横の永久歯が出てくるスペースが足りない」「出っ歯で口が閉じづらい」といったお悩みを持つ方は少な…

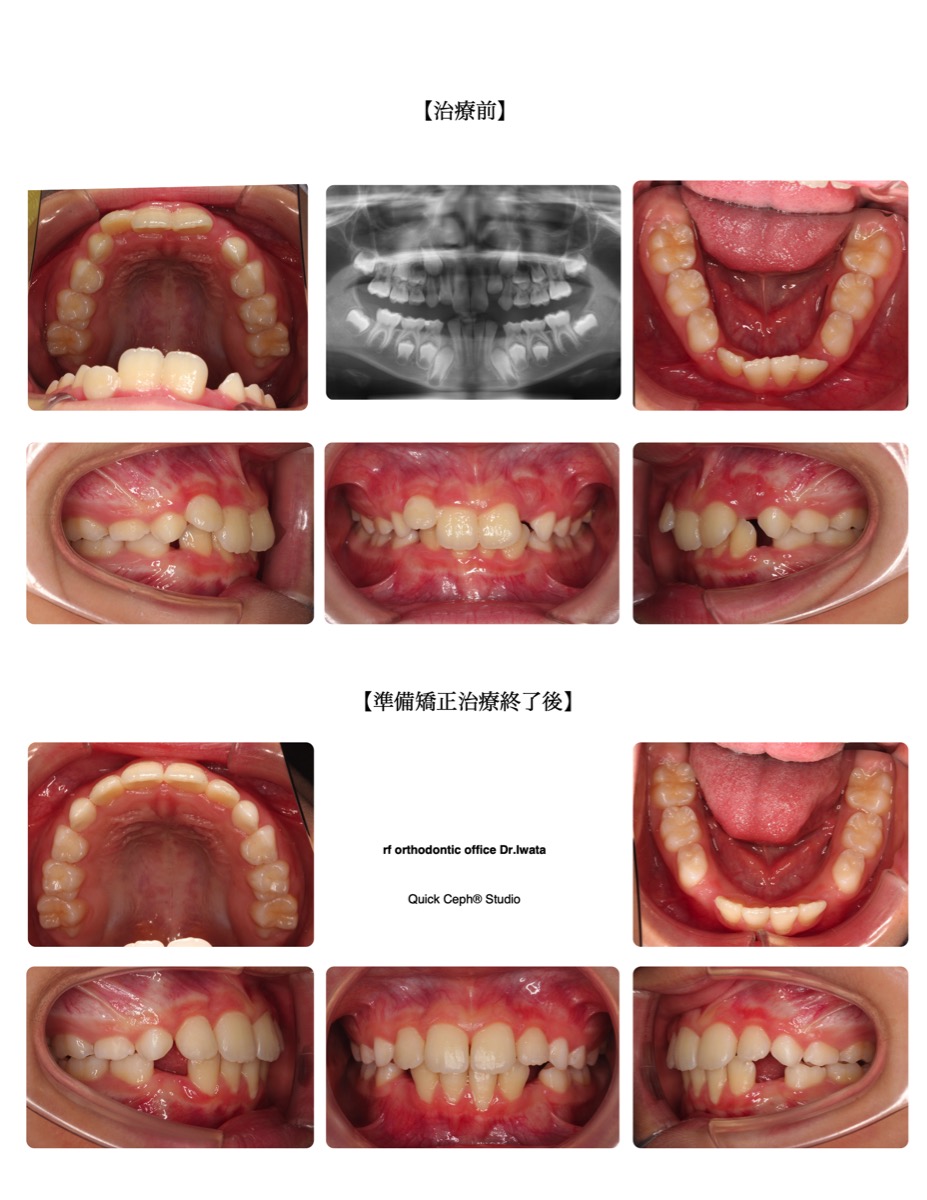
【主訴】上の出っ歯とすき間がどんどん目立ってきたので矯正を始めたい。口元も出ていて普段口が閉じづらい。できれ…