
2026.01.15
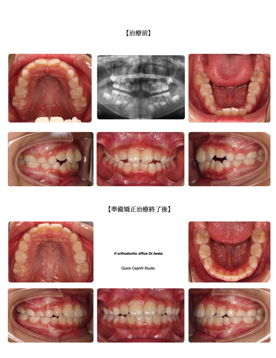
叢生症例 <切端咬合を伴う叢生に対する準備矯正治療>
【主訴】上の前歯はすきっ歯だけど横の前歯がスペースが足りなくてなかなか生えてこない。下の前歯のガタガタも強くて今後の歯並…
治療症例|水道橋の矯正歯科 アールエフ矯正歯科

【主訴】上の前歯はすきっ歯だけど横の前歯がスペースが足りなくてなかなか生えてこない。下の前歯のガタガタも強くて今後の歯並…

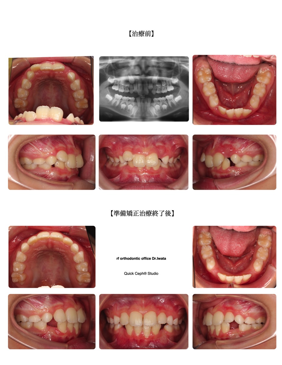
【主訴】前歯ものが噛めないので今後の奥歯の負担を考えて矯正をかかりつけ医に勧められた。【主な症状】前歯部側開…

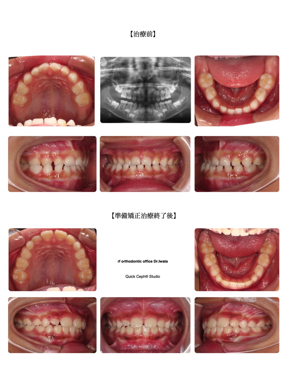
【主訴】上下の前歯デコボコして生えてきた。前歯でものが食べづらく口も閉じにくいため矯正で綺麗にしたい。【主な…

【主訴】上下の前歯のデコボコがずっと気になっているが年齢的に矯正が可能か心配。できれば被せ物も多いので歯は抜…

【主訴】 上の歯が内向きに生えていて、かみ合わせが深いのが気になる。下の前歯がデコボコしている。【主な症状】…

【主訴】かみ合わせが深く、上の前歯が変な向きで生えてきた。下の乳犬歯も結構前に抜けたが永久歯がなかなか生えて…

【主訴】昔から前歯のでこぼこと口元が出ているのが気になっていた。自分の年齢でも矯正が可能か知りたい。【主な症…

【主訴】上の前歯が内側から生えてきて将来の歯並びが心配。反対側の前歯もこれから抜けるが既にスペースが無さそう…

【主訴】上下の前歯がガタガタしていて歯磨きがしづらい。左上の前歯が1本内側に入っていて笑った時に歯が無いよう…

【主訴】右側のかみ合わせが逆になっていて前歯の正中が大きくズレているのを検診で指摘された。今後顎が曲がってい…