
2025.09.10
上顎前突症例 <過蓋咬合を伴う上顎前突に対してインプラントアンカーを併用した抜歯矯正治療>
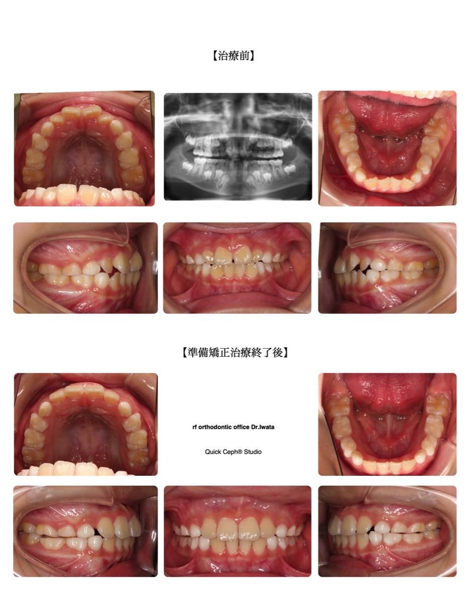
【主訴】かみ合わせが深く、上の前歯が出ている。口元も綺麗にしたい。【主な症状】上顎前突 過蓋咬合 叢生【抜歯…
治療症例|水道橋の矯正歯科 アールエフ矯正歯科

【主訴】かみ合わせが深く、上の前歯が出ている。口元も綺麗にしたい。【主な症状】上顎前突 過蓋咬合 叢生【抜歯…

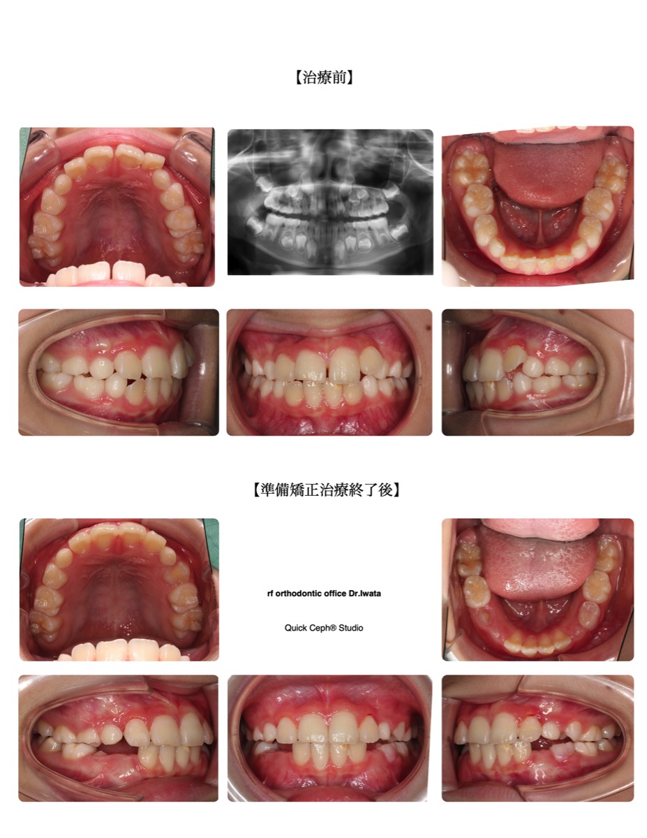
【主訴】上下の前歯がガタガタに生えてきた。特に上の前歯がハの字になってきて今後の歯並びが心配。【主な症状】叢…

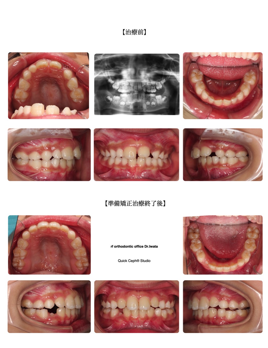
【主訴】 下の前歯がデコボコしていて歯石が溜まりやすい。受け口気味で下唇が前に出ていて閉じづらい。年齢的に抜…

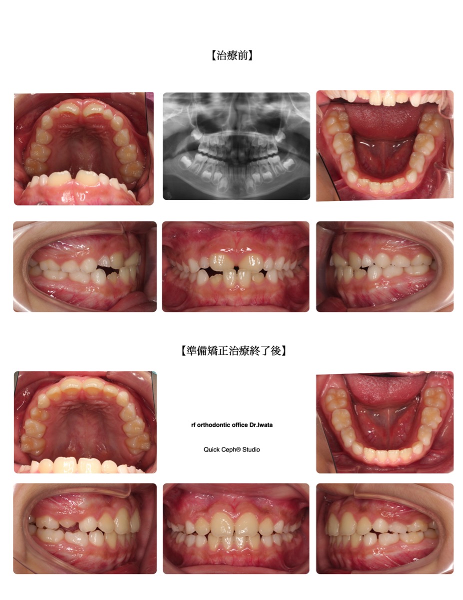
【主訴】大人の前歯が出始めたら窮屈な感じになり、重なって生えてきた。上の前歯の隙間も目立ってきたので一度綺麗…

主訴口ゴボで口が閉じにくい。口元をきれいに整えたい。口元が前に出て見える「口ゴボ(上下顎前突)」は、見た目の…

主訴上下の前歯がガタガタしてきて歯磨きがしづらい。噛み合わせも深い感じがする。歯が重なっていると、歯磨きがし…

主訴ディープバイト(咬み合わせが深い)と下の歯のガタガタ(叢生)が気になるこのようなお悩みを抱えている方に対し、矯正歯科…

反対咬合と翼状捻転の矯正治療:改善方法とリスク「反対咬合(受け口)が気になる」「前歯が不正な位置に生えている」「歯並びに…

上下の前歯がガタガタしている、いわゆる「叢生(そうせい)」に悩む方は少なくありません。今回の患者様は、上の前…

「すきっ歯が気になる」「横の永久歯が出てくるスペースが足りない」「出っ歯で口が閉じづらい」といったお悩みを持つ方は少な…