
2025.05.30
反対咬合症例 <重度叢生を伴う反対咬合に対する抜歯矯正治療>
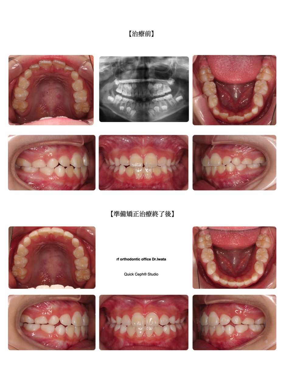
【主訴】上下のガタガタがひどくて食事や歯磨きがしづらい。見た目も気になる。前歯も受け口になっていて口元も良く…
治療症例|水道橋の矯正歯科 アールエフ矯正歯科

【主訴】上下のガタガタがひどくて食事や歯磨きがしづらい。見た目も気になる。前歯も受け口になっていて口元も良く…

【主訴】上の出っ歯とすき間がどんどん目立ってきたので矯正を始めたい。口元も出ていて普段口が閉じづらい。できれ…

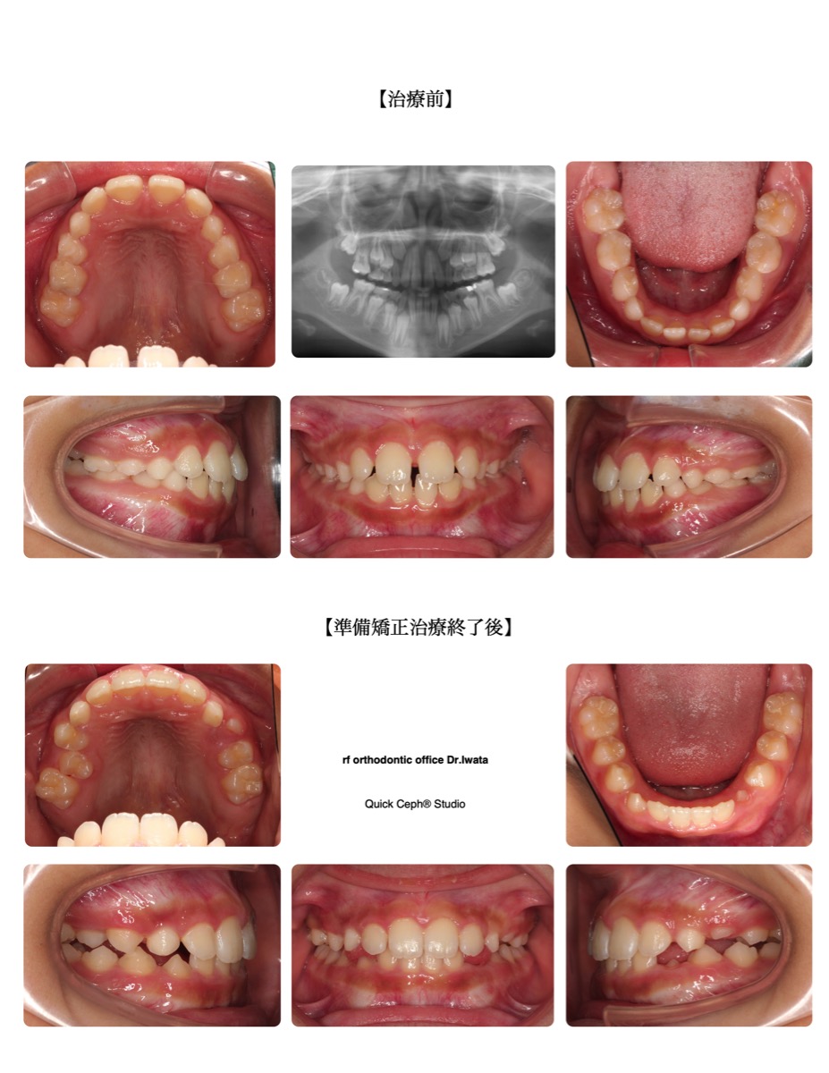
【主訴】上下の歯がデコボコしているのがずっと気になっていた。できれば歯を抜かずに綺麗にしたい。【主な症状】叢…

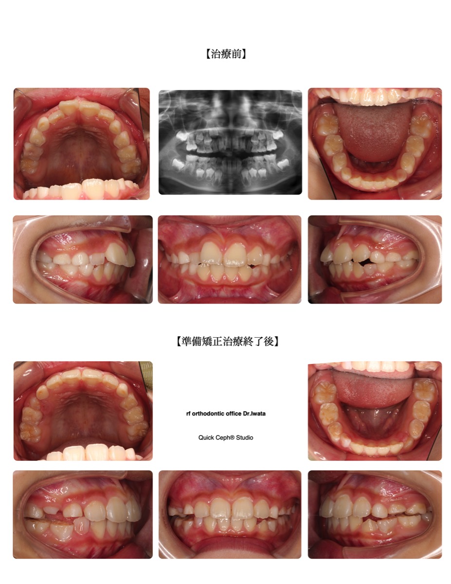
【主訴】出っ歯を治したい。前歯の隙間が気になる。口が閉じにくくてでているのを引っ込めたい。【主な症状】上顎前…

【主訴】上下の前歯のデコボコが気になり始めた。今後の永久歯への生え変わりもすき間がなくて心配。歯磨きもしづら…

【主訴】 下の前歯がガタガタしている。右上の犬歯がずっと生えてこない。口元が出ている感じがする。【主な症状】…

【主訴】右側の噛み合わせが悪く頬を噛むことがある。下の歯がデコボコしている。【主な症状】右側交叉咬合 叢生【…

【主訴】上下の前歯がすきっ歯になって見た目を本人が気にしている。ちょっと出っ歯になっている気がする。【主な症…

【主訴】 上下の前歯がデコボコになっている。歯医者で下の前歯が1本少ないと指摘されかみ合わせが心配になった。…

【主訴】上下の前歯がガタガタで生えてきた。上の2番目の歯が内側から出てきて心配になった。【主な症状】叢生【矯…