
2024.12.20
叢生症例 <準備矯正後の叢生に対する非抜歯矯正治療>
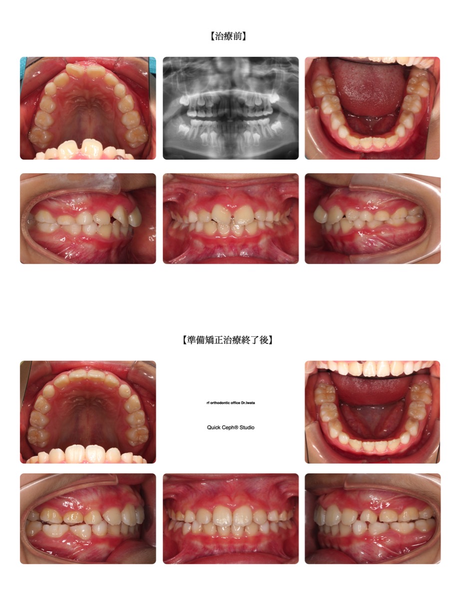
【主訴】 前歯がでこぼこしている。仕上げの矯正を始めたい。【主な症状】叢生 【抜歯部位】なし【矯正歯科治療の…
治療症例|水道橋の矯正歯科 アールエフ矯正歯科

【主訴】 前歯がでこぼこしている。仕上げの矯正を始めたい。【主な症状】叢生 【抜歯部位】なし【矯正歯科治療の…

【主訴】歯並びがでこぼこ。右側の噛み合わせが逆になっている。【主な症状】狭窄歯列 叢生【抜歯部位】なし【矯正…

【主訴】出っ歯とガタガタが気になる。上下の正中が合っていない。【主な症状】上顎前突 叢生【抜歯部位】上顎両側…

【主訴】 上下の前歯がガタガタしている。笑った時の見え方が気になる。【主な症状】叢生 【抜歯部位】なし【矯正…

【主訴】上下の前歯がでこぼこで歯磨きがしにくい。学校検診で歯並びを指摘された。【主な症状】過蓋咬合 叢生【矯…

【主訴】 左側が噛みにくい。前歯のガタガタが気になる。【主な症状】左側第2小臼歯鋏状咬合(上下の歯がすれ違い…

【主訴】上の前歯がガタガタしていて反対咬合になっている。【主な症状】反対咬合 叢生【矯正歯科治療のリスク・副…

【主訴】前歯と奥歯で噛めない。正中のズレも気になる。【主な症状】前歯部および右側開咬(オープンバイト) 右側…

【主訴】 下の前歯がでこぼこしている。上の前歯が出っ歯になっている。【主な症状】叢生 上顎前突【抜歯部位】上…

【主訴】上の前歯がズレて前に出てきた。下の前歯もガタガタしている。【主な症状】叢生 右側大臼歯 Class …