
今回は
こども向けのマウスピース型矯正治療
「インビザラインファースト」をご紹介します。

マウスピース型矯正装置
【インビザラインファースト】は、
混合歯列期(乳歯と永久歯の交換期)のお子様から使用できるマウスピース型矯正装置です。

マウスピース型矯正装置(インビザライン)は、これまで主に永久歯が生え揃う時期の矯正治療(第2期治療)で使用していましたが、インビザラインシステムの技術進歩により、
乳歯と永久歯が混在する時期の矯正治療(第1期治療)からの使用が数年前から可能になりました。
マウスピース型矯正装置(インビザラインファースト)の登場により、
今まで永久歯の歯並びになるのを待たなければ使用できなかったマウスピース矯正が、
上の前歯が生えてくる時期である小学校低学年からでも使用する事ができるようになりました。

今までの小学生の矯正治療はプラスチックでできた拡大床という装置や
ワイヤー装置を使用するのが一般的であり、小学校低学年の子供は永久歯と乳歯が混在した時期であるため
マウスピース治療の適応ではありませんでした。
マウスピース型矯正装置(インビザラインファースト)の治療期間は1年半以内を目安にしています。
透明なマウスピースを約1週間毎に自宅で交換しながら歯列矯正を行なっていきます。

▶︎マウスピース型矯正装置
【インビザラインファースト】の特徴
① 透明で目立たない
見た目に装着していることがほとんどわかりません。
「お友達にからかわれるのが心配」など見た目に抵抗があるお子様も受け入れやすい矯正装置です。
② むし歯のリスクを最小限にできる
マウスピースは簡単に取り外しが可能です。
食事や歯磨きも普段通りに行えるので、従来の矯正装置と比較してむし歯のリスクを下げることが可能です。
③ 遊んでいる時やスポーツ時も安心
マウスピースは薄くて滑らかな素材を使用しています。
転倒したり、ボールが顔に当たっても矯正装置によるケガの心配はありません。
また、学校などで楽器を吹く際にも邪魔になりません。
④ 通院回数が少ない
1週間毎のマウスピースの交換はご自宅で行います。
通院は2~3ヶ月に1回程度であるため親御様の送迎の負担を最小限にし、
習い事やクラブ活動に影響なく矯正治療を行うことができます。
⑤ 衛生的で紛失の心配も軽減
マウスピース装置は1週間ごとに交換をしていきます。そのため毎週新品の装置を使用する事はできます。
万が一、お子様がマウスピースを紛失したり破損してしまった場合でも、
長めに次のマウスピースを使用することで治療を継続することが可能です。
⑥ 違和感が少なく痛みなどのトラブルが起こりにくい
針金や凸凹した部分がなく、粘膜や歯茎に当たって痛いというようなトラブルが起こりにくい装置です。
従来の装置と比較して装着した際の違和感が少なく、お子さんも抵抗なく装着してくれます。
また、従来の装置のように親御さんがネジを回す必要などがなく、
マウスピースを1週間ごとに交換するだけというシンプルな方法も魅力です。
⑦ 治療期間を短くできる
従来まで、顎の拡大と歯並び調整を違う期間に行っていたものを同時に行うことができるので、
治療期間を短縮することが可能です。
また、こどもの骨は成長途中で成人よりも柔らかいため、歯にかかる力も弱くて済みます。
そのため、歯の移動も大人より早く、治療期間を短くできる可能性が高くなります。
矯正治療で予期せず起こる歯肉退縮や歯根吸収のリスクも低くなります。
⑧ 抜歯をしないで治療ができる可能性が高くなる
ガタガタした歯並びは、歯の大きさが歯の埋まっている土台である骨の大きさと合っていない時におこります。
成長期のこどもは、骨の成長を助けてあげることにより土台を大きくして、永久歯が生えてきた時に抜歯せずに綺麗に歯を並べられる可能性を高めることができます。
これは歯の成長が終了している大人にはできない治療であり、子供のうちにインビザラインファーストで土台を大きくしておくことで、その後の矯正治療の難易度を下げることができます。
また子供のうちに矯正治療を終了できることもあります。
⑨ 綺麗な歯並びでいられる時間が長い
こどものうちにマウスピース型矯正装置(インビザラインファースト)で矯正治療を行い、
コンプレックスを解消する事で、思春期に歯並びにコンプレックスを感じずに生活することができます。
また、歯並びを良くすることで口内の衛生状態も良くなり、将来虫歯や歯周病のリスクを小さくする事ができます。

マウスピース型矯正装置【インビザラインファースト】にはこれらの特徴がありますが、もちろん注意点やデメリットもあります。

▶︎マウスピース型矯正装置
【インビザラインファースト】の注意点・デメリット
❶ 治療費が保険適用にならない
マウスピース型矯正装置(インビザラインファースト)は自費治療となり、健康保険は使用できません。
❷ 開始するタイミングが限られている
マウスピース型矯正装置(インビザラインファースト)では治療期間が1年半程度であり、適応する時期が前歯が永久歯であり、奥歯にまだ乳歯が残っている時期である小学校低学年〜中学年に限られているため、それ以外の時期ですと開始するタイミングが難しくなります。
❸ 装置を使わないと治らない
マウスピース型矯正装置(インビザライン)同様、マウスピース型矯正装置(インビザラインファースト)でも、1日15時間以上装着することができないと満足のいく治療効果が得られない可能性があります。
そのため、お子様本人はもちろんご家族の協力が大切になってきます。

▶︎期間と流れ
全体の流れは従来の矯正治療と同様、乳歯と永久歯が混在する時期(小学校低学年)の「第1期治療」と、永久歯が生え揃う時期(小学校高学年~中学校以降)の「第2期治療」に分かれています。

マウスピース型矯正装置【インビザラインファースト】の治療期間の目安は
治療開始より約6ヶ月〜1年半程になります。
その後、永久歯が生え揃うまでリテーナーを装着しながら経過観察を行い、必要に応じて第2期治療を行います。

▶︎まずはご相談ください
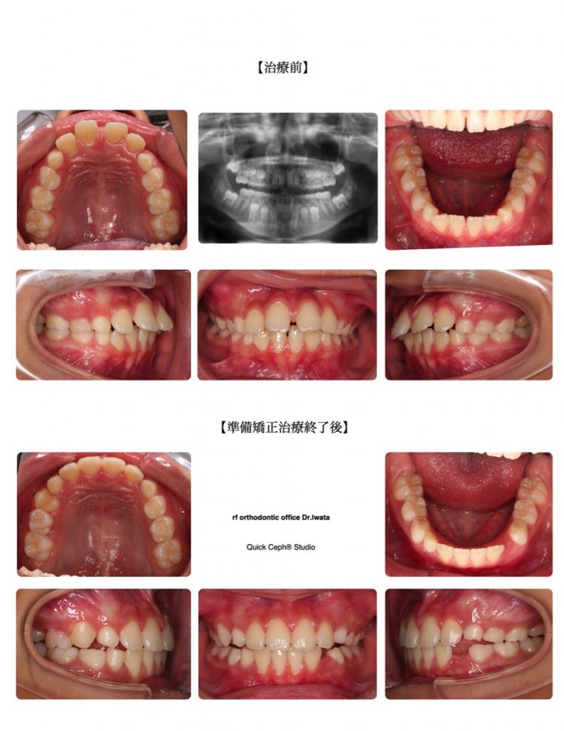
▶︎症例
6歳 女の子
治療期間:1年
使用した装置:マウスピース型矯正装置(インビザラインファースト)

9歳 女の子
治療期間:1年3ヶ月
使用した装置:マウスピース型矯正装置(インビザラインファースト)

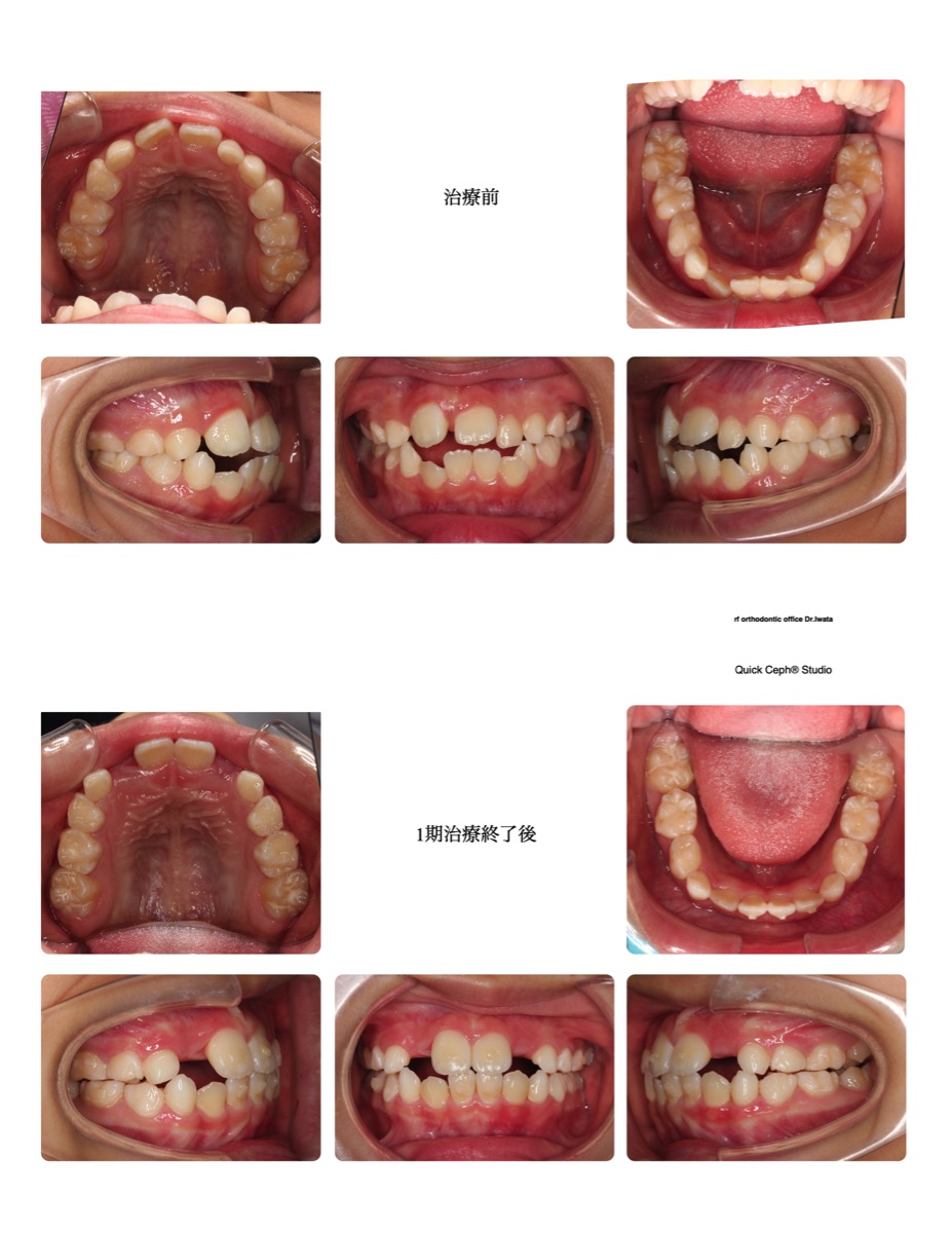
6歳 男の子
治療期間:1年7ヶ月
使用した装置:マウスピース型矯正装置(インビザラインファースト)

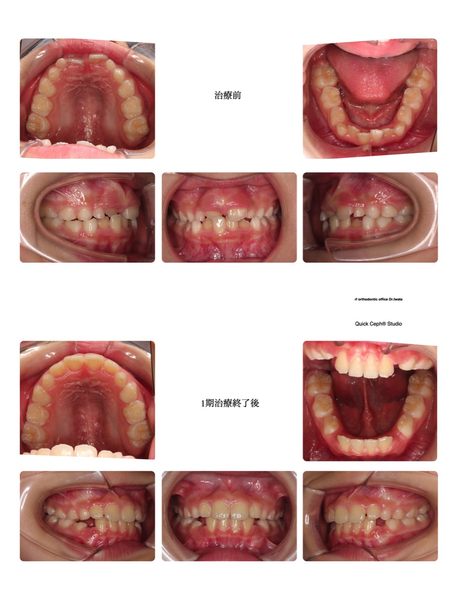
7歳 女の子
治療期間:1年4ヶ月
使用した装置:プレオルソ+マウスピース型矯正装置(インビザラインファースト)

▶︎ HPに子供の症例ページを追加しました。
こちらからご覧ください

▶︎患者様の声

・全く痛がらず慣れれば装着もスムーズでした
・子供の歯はとても早く動いたので、思ったより短期間で矯正を終了できて良かった
・楽しんでマウスピース矯正できました!
・マウスピースが取り外しできるので、食事も困らず、 歯磨きもいつも通りで快適でした
・綺麗な歯並びになり、喜んでいます。
・歯並びは虫歯などにも影響するので、インビザラインで早めに治療し口内環境を整えることができてよかったです。
・子供の成長に合わせて対応できるので、小学生から始められてよかったと思っています。
・歯並びが良くなると仕上げ磨きもしすくなり、虫歯のリスクも軽減できると思います。本人の歯に対するの意識も変わってくるので、早めにスタートするのがおすすめです。
お子様の歯並びで気になることがあればまずはご相談ください。
→【24時間Web初診相談予約はこちらから】

現在矯正治療中の方、そして矯正治療を検討されている方にとって
安心して受診していただけるようさまざまな情報を発信中です。
詳しくは【 当院 Instagram & YouTube 】を是非参考にご覧ください!




