- 第30回 【更新しました!】インビザライン矯正中の私が実際に医療費控除の申請をしてきました!
- 第29回 インビザラインファースト -10代のインビザライン矯正-
- 第28回 平成30年分の医療費控除を申告しました
- 第27回 インビザライン矯正が終わったら その②
- 第26回 インビザライン イージーリフトの取り扱いについて
- 第25回 インビザライン矯正が終わったら その①
- 第24回 インビザライン 取り外しの時のワンポイント
- 第23回 インビザライン チューウィーの大切さ
- 第22回 3巡目インビザラインの経過診察
- 第21回 終わって2年…
- 第20回 光学印象ー3Dスキャナー
- 第19回 インビザライン を早く交換できる「オルソパルス」の使い方動画とその感想
- 第18回 インビザラインスピード矯正 −オルソパルス−
- 第17回 インビザライン2巡目です!
- 第16回 インビザライン⑫
- 第15回 やった!インビザラインの使用時間が…!
- 第14回 終わって1年半後…
- 第13回 3ヶ月の変化!出っ歯が…
- 第12回 トラブル発生 !!! インビザライン40枚目を…
- 第11回 勝負どころ・・
- 第10回 インビザラインで新しい発見
- 第9回 インビザライン矯正後半戦 その②「アタッチメント」
- 第8回 インビザライン⑪
- 第7回 インビザライン矯正後半戦 その①「IPR」
- 第6回 インビザライン⑩
- 第5回 2016年11月
- 第4回 4ヶ月ぶりの診察!私の歯並びはどうなっているか?
- 第3回 入院(外泊)する時に持って行くオススメのインビザラインセット
- 第2回 インビザライン⑨
- 第1回 インビザライン⑧
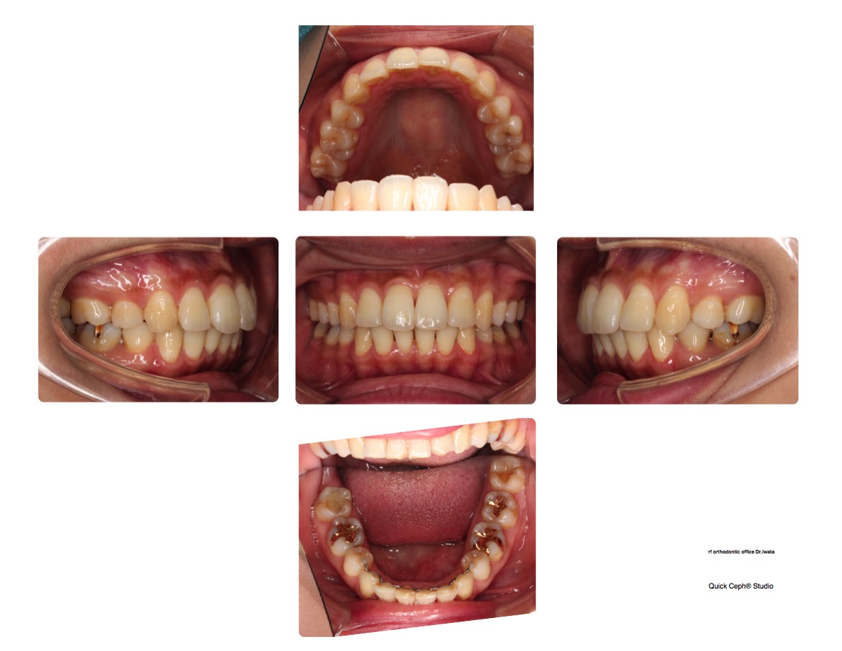
終わって2年… 2017.12.24
もう矯正治療が終わって2年経ちました。
なんかあっという間で。。。年が経つのが早く感じて怖いです(笑)。
今日はリテーナー生活が2年経過し、半年ぶりにチェックをしてもらいました。
上の歯は特に問題なく、今日からは毎日リテーナーを装着しなくてもよくなった〜。
でも定期的に寝るときは着けて歯並びが変化してないかチェックします!
下の歯裏側に付けていたワイヤーのリテーナーも取れていないのでこのまま続けます。
おかげで上下とも綺麗な歯並びをキープ!
そこで久しぶりに治療前後の歯並びの写真を先生に見せてもらって。。。
やっぱり全然違う!!!
ほんとに矯正してよかったなあと思うこの頃。
先生にも話したけど昔の写真を見ると笑い方も歯並びが見えないようにしてたし。
今は前歯めっちゃ見せて笑えてます。
頑張ってこの歯並びキープしよう!
また半年後メンテナンスに来まーす!





