
2017.11.08
光学印象ー3Dスキャナー
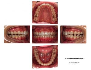
皆様、こんにちは。 現在2巡目22枚目のマウスピースを使っています。今回はまず、歯面の全てのアタッチメントを取…
患者様の矯正ブログ|水道橋の矯正歯科 アールエフ矯正歯科

皆様、こんにちは。 現在2巡目22枚目のマウスピースを使っています。今回はまず、歯面の全てのアタッチメントを取…

皆様、こんにちは。オルソパルスの使い方にも慣れてきて、トラブルもなく今のところ順調に使えています。 さて、今回…

今日から新しい矯正装置が増えました! オルソパルスです。オルソパルスとは歯の動きを早める目的があり、光(近赤外…

前回型取りをしたインビザラインが届きました!今までのマウスピースと違いが2つあります。わかりますでしょうか?前回お話した…

おはようございます! 矯正してますが矯正してる感じが全然なくて更新が半年も途絶えてしまいました(。>д…

こんにちは。受付スタッフの赤木です。最近暖かかったり、寒かったり毎日の服選びが難しいですね。 私のインビザライ…

もう半年に1回のメンテナンスでの通院。 気づいたら矯正が終わって 1年半も経っていた…。 月日が経つのは早い…

みなさん、ご無沙汰しています。受付の赤木です。 最近…前歯が確実に引っ込んできました!その影響で矯正前に比べて…

やってしまいました...先生がいつも患者さまによく気をつけてねと言っていること...このブログでもお気をつけ下さいとお伝…

久しぶりの更新です!! 今日はアライナーのチェックしてもらいに来ました。 年末年始少しサボったせいで若干進行が遅れて…