
2016.08.20
すごい雨…でもインビザラインの型取りに来た!
皆さんこんにちは!!久々の投稿です。台風が来ていて豪雨ですが頑張ってアールエフ矯正歯科に来ております☔️ 今日…
患者様の矯正ブログ|水道橋の矯正歯科 アールエフ矯正歯科

皆さんこんにちは!!久々の投稿です。台風が来ていて豪雨ですが頑張ってアールエフ矯正歯科に来ております☔️ 今日…

2ヶ月ぶりの診察です!月に1度診察するワイヤー矯正と違って、通院回数が少ないのもインビザライン矯正のいいところですよね。…

新しいインビザラインに交換していく度に、自宅には使用済のインビザラインがどんどん溜まっていきます! 保管するか…

インビザラインの着脱もすっかり慣れて最初に比べるとかなりスピードアップしました! 今回の診察では、まずは前回か…

以前お話しした外食先でのマウスピースの取り扱いについて、現在インビザライン矯正中の患者様にインタビューしてみました^^&…

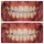
治療が終わったー!!!!!本日矯正卒業!! というわけで、これからは後戻りを防ぐリテーナーは頑張って使っていかないと!!…

皆様、こんにちは。インビザライン矯正日記をいつもご覧いただきありがとうございます。 インビザラインでのマウスピ…

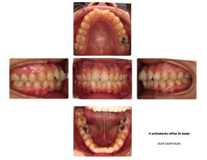
今日は装置を取ってから半年が経過。 上の歯はリテーナー。 下の前歯は画像のように固定してもらっている。 下の歯も取り外し…

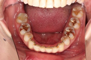
今日はリテーナーの型を取りました!いよいよ次回には取れるみたい!! 6月にある友達の結婚式にはクリーンな歯で出席できるか…

食事をする時にはインビザラインを外さないといけません。 「いつ外しているのか?」「外した後はどうしているのか?…