
インビザラインの着脱もすっかり慣れて最初に比べるとかなりスピードアップしました!
今回の診察では、
まずは前回からの経過をチェックして頂き、衛生士さんに歯のクリーニングをして頂きました。
歯の表面を磨き、
歯石を取って、
歯磨きの指導を受けました。
歯が動いてすき間が出来たことで、自分では気づいていないところに食べ物が詰まっていました。
普段からフロスも使っていましたが、どの辺りがどのくらい詰まりやすいのか教えて下さったのでこれからは上手に活用していこうと思います。
そして新たなインビザラインを頂きました。
今回は6枚頂いたので次の診察は2ヶ月後です!
月に1回通院するワイヤー矯正の方に比べて、通院回数が少ないのもインビザライン矯正のいいところですよね。
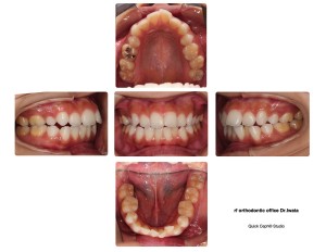
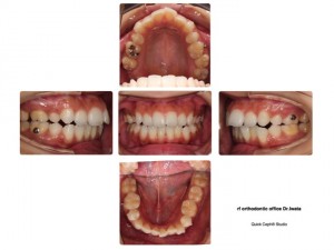
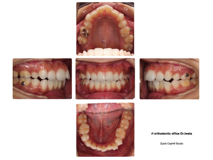
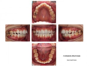
インビザライン矯正を始める前からの比較画像を載せます。
【スタート前】
↓
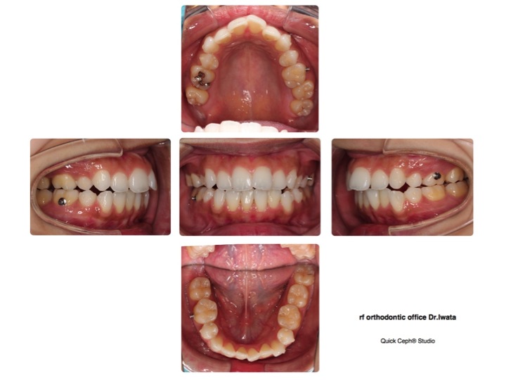
【スタートして4ヶ月後】
↓
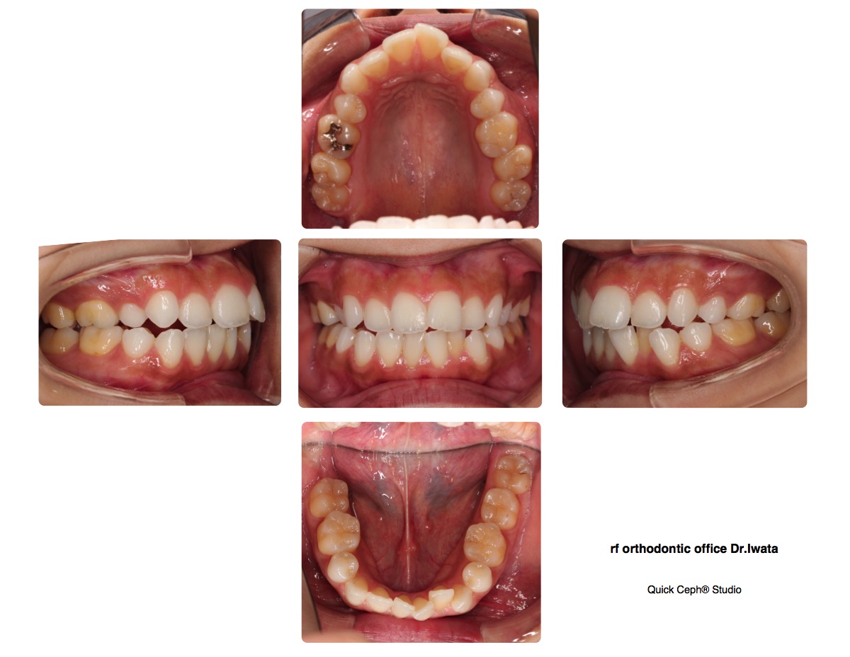
【今回の診察】
下の歯はガタガタが解消されていますね。
さらに右上の親知らずを抜歯したことで、その手前の歯と歯の間に5ミリほど隙間が出来ました!(横向きの写真を見ると分かり易いです)
この隙間はのちのステップで重要なんだそうです!隙間が出来たことは順調の証!!
「あっ!!!!」
衛生士さんに言われたよく食べ物が詰まる歯とはここのことです。(汗)
順調に進んでいるので日々のお手入れも頑張れそうです!
悪阻もおさまりインビザラインをつけている時間が長くなり、理想時間22時間を目指して装着中です。
治療の経過も順調とのことなので、今日から10日毎の交換になりました。
1ヶ月に3回交換出来るようになり、少しでも早く進められて嬉しいです!
悪阻が終わって食欲旺盛な日々が続いていますが、
インビザラインをつけていることによって食欲を我慢出来るようになりました。
【インビザラインを外す→食べた後の歯磨きorうがい→インビザラインをつける】
食欲旺盛の妊婦さんにとっては一石二鳥ですが、身体のことも考えながら向き合っていこうと思います。





