- 第30回 【更新しました!】インビザライン矯正中の私が実際に医療費控除の申請をしてきました!
- 第29回 インビザラインファースト -10代のインビザライン矯正-
- 第28回 平成30年分の医療費控除を申告しました
- 第27回 インビザライン矯正が終わったら その②
- 第26回 インビザライン イージーリフトの取り扱いについて
- 第25回 インビザライン矯正が終わったら その①
- 第24回 インビザライン 取り外しの時のワンポイント
- 第23回 インビザライン チューウィーの大切さ
- 第22回 3巡目インビザラインの経過診察
- 第21回 終わって2年…
- 第20回 光学印象ー3Dスキャナー
- 第19回 インビザライン を早く交換できる「オルソパルス」の使い方動画とその感想
- 第18回 インビザラインスピード矯正 −オルソパルス−
- 第17回 インビザライン2巡目です!
- 第16回 インビザライン⑫
- 第15回 やった!インビザラインの使用時間が…!
- 第14回 終わって1年半後…
- 第13回 3ヶ月の変化!出っ歯が…
- 第12回 トラブル発生 !!! インビザライン40枚目を…
- 第11回 勝負どころ・・
- 第10回 インビザラインで新しい発見
- 第9回 インビザライン矯正後半戦 その②「アタッチメント」
- 第8回 インビザライン⑪
- 第7回 インビザライン矯正後半戦 その①「IPR」
- 第6回 インビザライン⑩
- 第5回 2016年11月
- 第4回 4ヶ月ぶりの診察!私の歯並びはどうなっているか?
- 第3回 入院(外泊)する時に持って行くオススメのインビザラインセット
- 第2回 インビザライン⑨
- 第1回 インビザライン⑧
矯正治療終了〜〜〜!!! 2016.6.16
治療が終わったー!!!!!本日矯正卒業!!
というわけで、これからは後戻りを防ぐリテーナーは頑張って使っていかないと!!
しかし、スッキリしたまっすぐな歯は嬉しいものです。
矯正装置に口が慣れてたので外すと逆に違和感。。。でももう慣れつつあるけど(笑)
先生ありがとうございました!
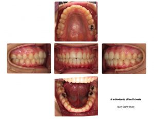
これが最初の歯並び
これが出来上がりの歯並び
前歯だけだと思っていた歯並びの悪さは案外よく見るとガタガタしていて、それをみんな綺麗にしてくれました!
この綺麗な歯並び守るためにリテーナー頑張ります!!!!!!