2016.06.07

皆様、こんにちは。
インビザライン矯正日記をいつもご覧いただきありがとうございます。
インビザラインでのマウスピース矯正を始めて4ヶ月が経ちました!
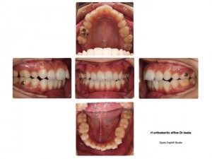
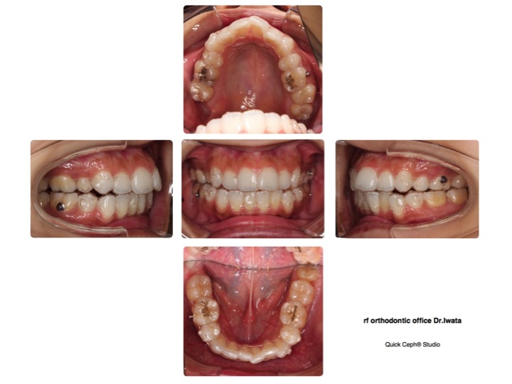
経過の写真を載せます。
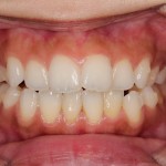
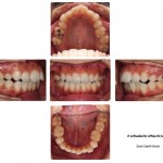
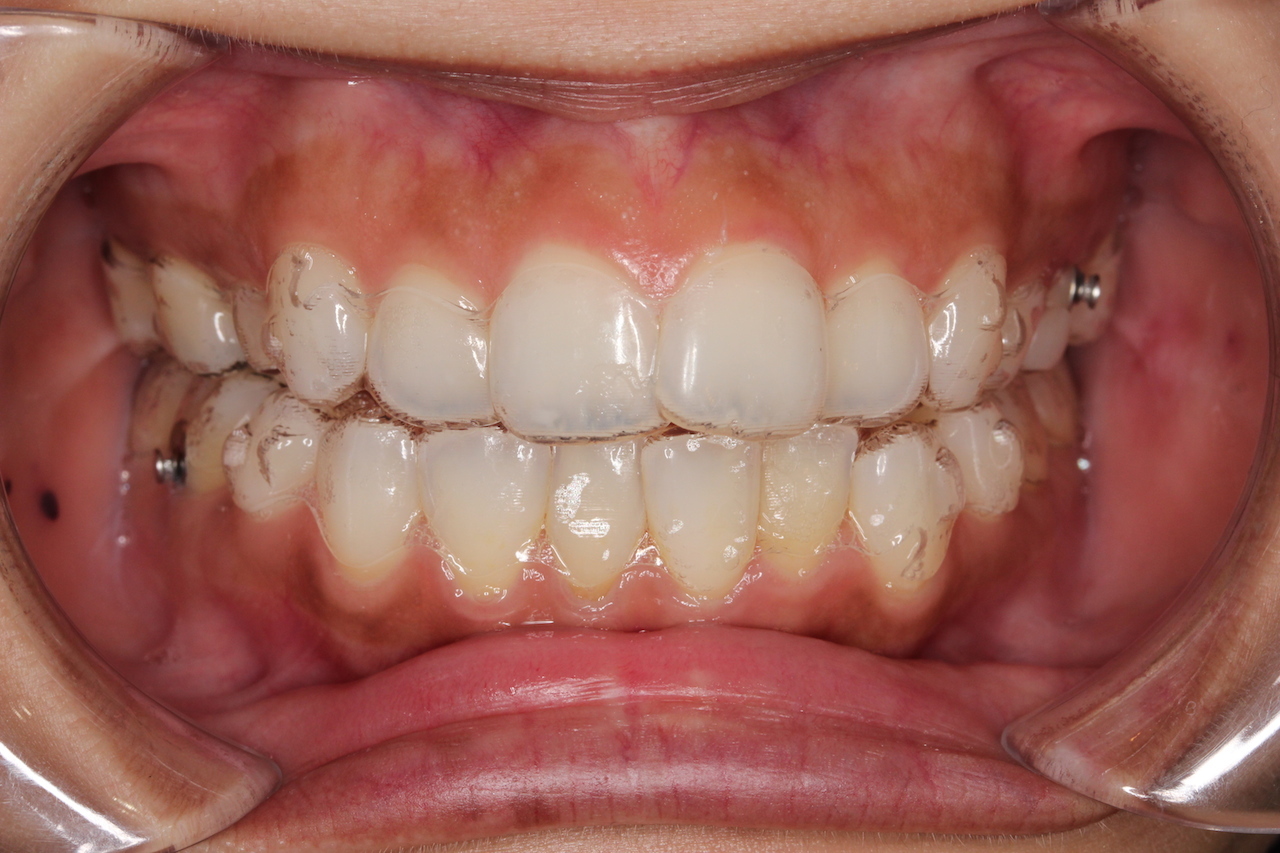
【アライナー8枚目に交換後、3日目】
下の前歯のガタガタがさらに解消されたのが分かります!
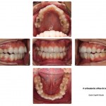
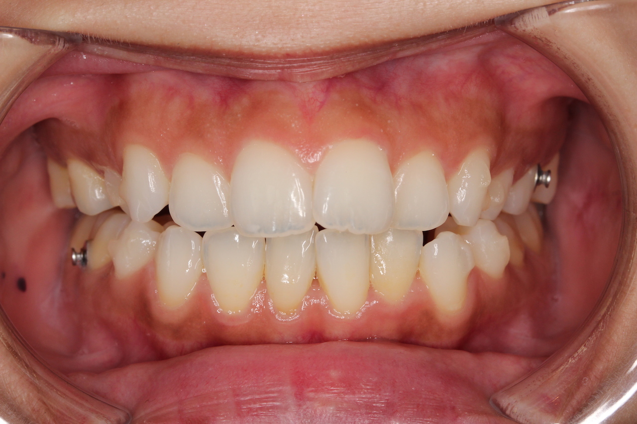
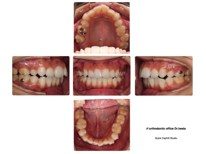
【スタート前】
私の歯の治療計画は、まず下の歯から綺麗に並んでいくそうです。
上の歯が出っ歯であるのはもちろんですが、犬歯(前から3番目の歯)が下の歯と咬み合っていないのも気になっていました。
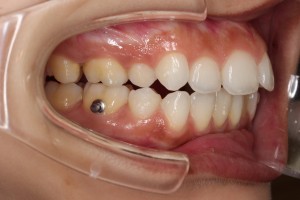
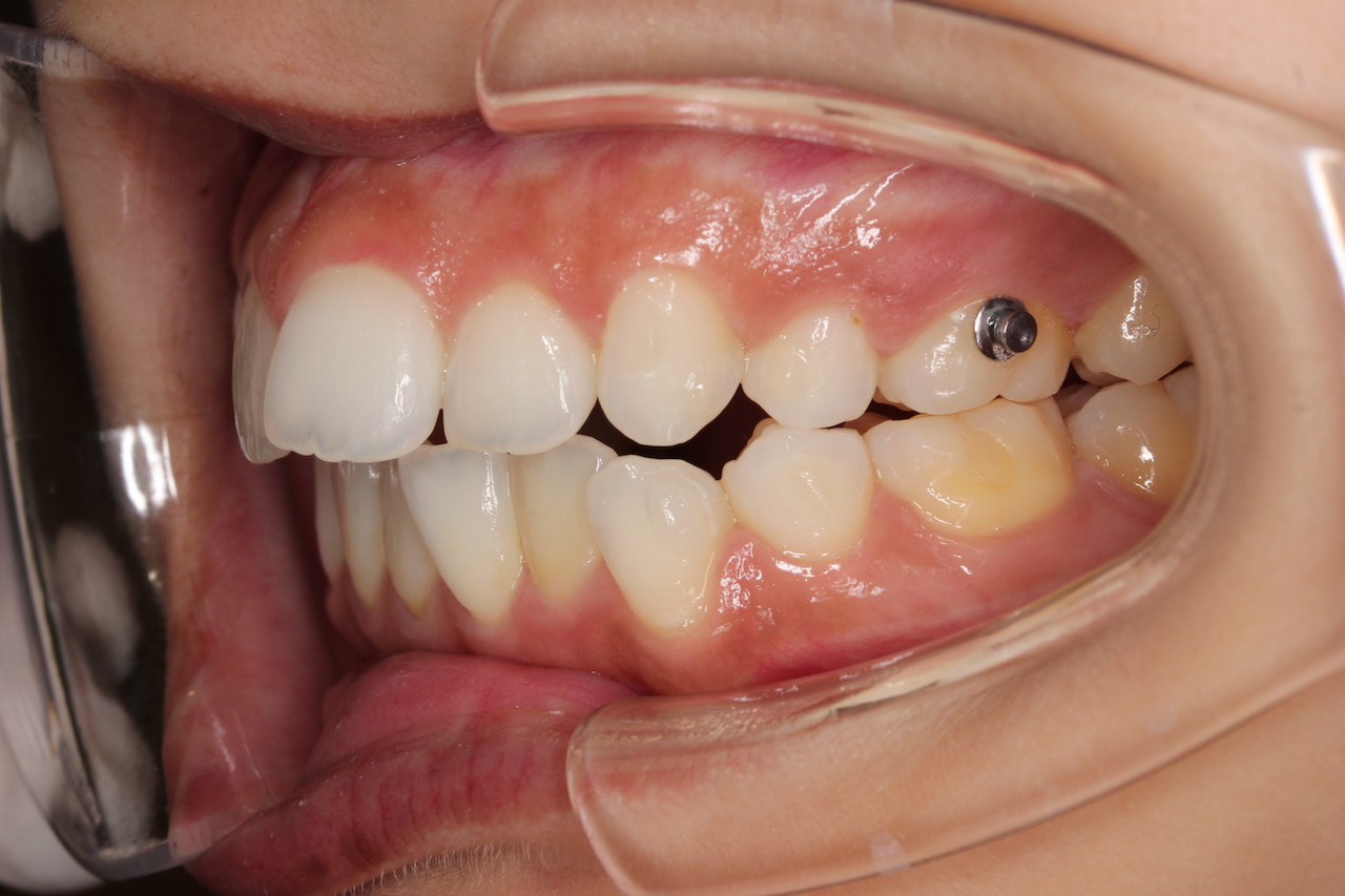
右側の歯を撮った写真です。
約4ヶ月経った今、少し上下が近づいてたような気がします。
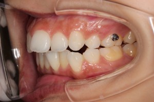
左側の歯を撮った写真です。
横からみると、ほんの少しガタガタが解消されたのが分かりますね。
そして出っ歯具合がなんとも言えません。。。
しかし、写真では経過を実感出来るので「日々頑張って良かった!今日からまた頑張ろう!」と刺激になります^^
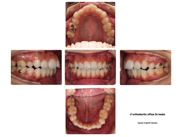
さらに今回は、インビザラインを装着したまま撮った写真もあるのでご覧ください。
左がその写真です。
見た目の変化がありませんよね!
むしろインビザラインをしている方が光沢が出てツヤツヤの白い歯に見えます。笑
左も同じくインビザライン装着後の写真です。
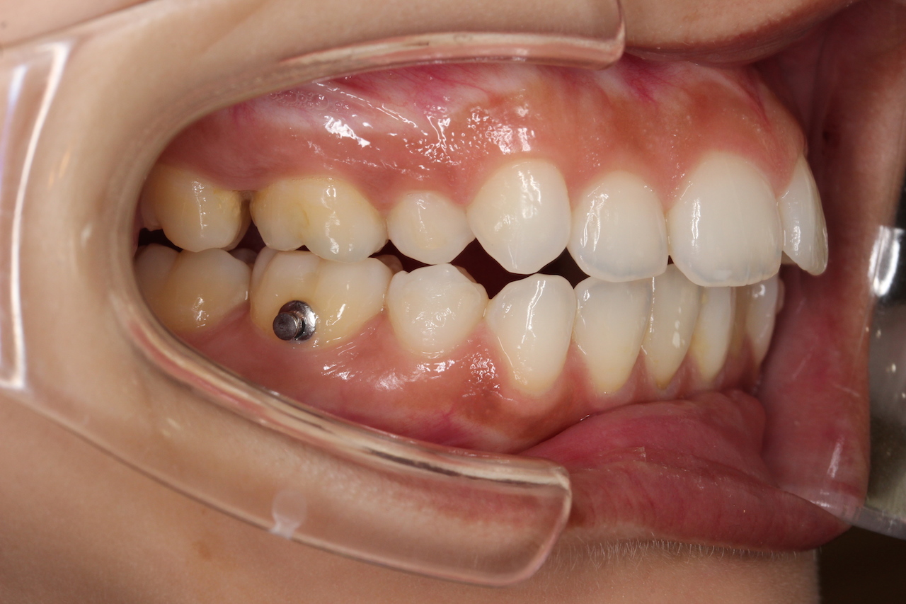
口を開けている写真で黒く映っているのは、インビザラインが今何枚目なのかが印字してある目印です。
装着している時は全く目立ちませんのでご安心ください。
撮った写真は毎回プリントアウトをして診察後に先生から頂けますので、お家で歯並びの変化を確認したりご家族や周りの方に治療経過をお見せすることもできます。







