
2016.02.14
2016年2月
本日は装置が外れてから3ヶ月のチェックです。 毎回クリーニングをしてもらえるのでルンルン♪です。 これを持続させなければ…
患者様の矯正ブログ|水道橋の矯正歯科 アールエフ矯正歯科

本日は装置が外れてから3ヶ月のチェックです。 毎回クリーニングをしてもらえるのでルンルン♪です。 これを持続させなければ…

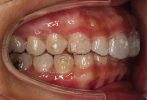
皆様、こんにちは。今回の診察では、右下と左上の奥歯に「リンガルボタン」と呼ばれる銀色の突起がつきました。 歯の…

地味にガタガタだった下の歯がようやく揃ってくれた!ので今日は太いワイヤーに! 意外とこの下の歯にてこずりました、、、 …

遅くなりましたが今年もよろしくお願いいたします♪ お正月は朝から晩まで食べてたのでマウスピースをつける時間が寝るときだ…

型取りをしてから約4週間後...親知らずの抜歯も順調に終わり、待ちにまった私のインビザラインが届きました! さ…

インビザライン矯正を始めるにあたり、まず最初にしなければならないこと...それは、インビザライン用の歯型取りです。&nb…

皆様、こんにちは。この度、矯正治療を始めるとともに、体験日記もスタートしました。これからインビザライン矯正を考えていらっ…

なんだかんだで、2ヶ月くらい間隔が空いてしまったけど、その間に下の歯は順調に並んできてくれてたみたいで一安心。 このま…

こんにちは!! 今日は右下にもゴムを引っ掛けるボタンを付けました? これで左右両方のインビザラインにゴムを引っ掛…

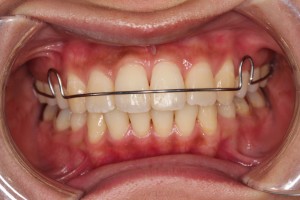
装置を外してから1ヶ月。 上の歯はリテーナーを毎日装着し 下の前歯は動かない様に固定している状態。 食事の時のみ上…