
2015.11.17
2015年11月
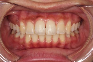
わーーーーい⭐︎ きれいに歯が並んでる!! 下の歯が全部見えるのは何年振りだろうか。 せっかくなので並べてみようっと。 …
患者様の矯正ブログ|水道橋の矯正歯科 アールエフ矯正歯科

わーーーーい⭐︎ きれいに歯が並んでる!! 下の歯が全部見えるのは何年振りだろうか。 せっかくなので並べてみようっと。 …

こんばんは♪あっという間にもう11月ですね(○_○)!!11月11日にはちゃんとポッキーを食べました♪(笑) マウスピ…

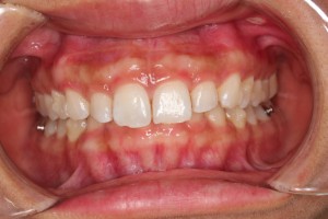
ゴムを2個から1個に戻し左側のかみ合わせも合ってきた! とのことでリテーナーの型取りを。 卒業まで、あと少し。わくわく。…

奥歯がしっかり動いていると! 先生に褒められました〜? 前回から使っているマウスピースを使って、ホームホワイトニング…

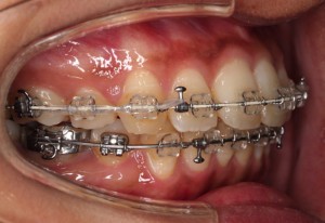
もう上の歯は揃ってきた! あとはしばらく下の前歯のねじれが治るのを待ちっていうことで、、、 今日は下のワイヤー…

ゴム2個作戦大成功!!!下は8月、上と下の中心がズレてる。↓↓↓こちらは9月。すごい!!中心が合った★ということで、装置…

姉とお揃いのレインブーツ履いて、揃って診察券忘れてきました!すみません… これから姉妹揃って先生にお世話になる…

おはようございます♪ 雨の日が続いてムシムシする毎日ですが雨の音ってちょっといいですよね♪ 矯正はおそらく順調な感じ…

猛暑も落ち着き、すっかり秋モード。 右斜めにゴムを掛けて上下中心を合わせるために 2日さぼってしまったが自分では毎日頑張…

新しいアライナーが出来上がりました!! なんと・・37枚? サボったツケが回ってきました・・ でも今回こそはしっかりつけ…