
2015.04.18
スッキリ!!
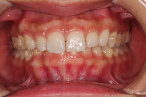
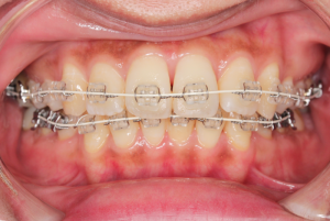
皆様こんにちは。 今日は衛生士さんに徹底的にクリーニングしてもらいました!!毎日フロスしたり気をつけてはいたも…
患者様の矯正ブログ|水道橋の矯正歯科 アールエフ矯正歯科

皆様こんにちは。 今日は衛生士さんに徹底的にクリーニングしてもらいました!!毎日フロスしたり気をつけてはいたも…

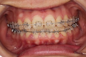
今日は下のワイヤーを交換しました。 何だか新しくポコっと金具が!! これはゴムを引っ掛けるものらしい。 次回上にもこのポ…

の気分…近頃は だいぶ前歯、真直になってきたんじゃないでしょうか 横からみるとまだ全体的に出てはいるものの… …

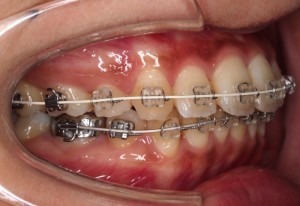
3月の経過をUPしていなかったのでした。 桜も散りつつの4月。電車や街はこの暖かさでか賑わってるなぁ。 さてさて、前歯の…

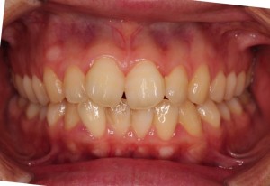
今日は微調整?完了! 結構前歯がまっすぐになってきていた気がしたんだけど、まだ時間はかかりそう、、、 でも、矯正の歯…

寒いですが皆様いかがお過ごしでしょうか〜 私のインビザライン矯正も半分以上経過し、もう生活の一部となってきました。?…

寒い寒い2月。 水道橋の冷たい向かい風と戦いながら到着。 診療室は太陽の日差しが全面に入ってポカポカの別世界〜⭐︎ 解凍…

今日で上下の歯の装置装着も完了!!! ということでブログをスタートしてみようと思います。 こないだの上の歯の装着…

今日で上の歯に装置を装着して半年、下の歯は4ヶ月弱。 写真を並べると一目瞭然、テンションが上がる。 重なりが少なくなった…

奥歯の移動が終わりそうです!!? 私の場合、まず奥歯を動かしてスペースを作ってから、前歯を動かすんですけど 前歯が動…