2015.03.10
今日は微調整?完了!
結構前歯がまっすぐになってきていた気がしたんだけど、まだ時間はかかりそう、、、
でも、矯正の歯の不便さにも慣れてきて、ガシガシ何でも食べてるし、たくさんのご飯が矯正に降り積もってもなんのその。
綺麗な歯になる日を夢見て頑張ります!
何より、子供預けてサクサクと寄り道しながらの歯医者通いはいい気分転換に♪
最初

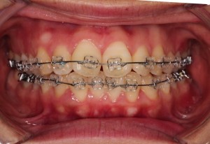
1ヶ月後

矯正2回目|水道橋の矯正歯科 アールエフ矯正歯科
今日は微調整?完了!
結構前歯がまっすぐになってきていた気がしたんだけど、まだ時間はかかりそう、、、
でも、矯正の歯の不便さにも慣れてきて、ガシガシ何でも食べてるし、たくさんのご飯が矯正に降り積もってもなんのその。
綺麗な歯になる日を夢見て頑張ります!
何より、子供預けてサクサクと寄り道しながらの歯医者通いはいい気分転換に♪
最初

1ヶ月後
