
2015.08.05
暑いですが・・
皆様いかがお過ごしでしょうか☀️ 暑くて溶けそうですね〜? 矯正のほうですが、とりあえず本日で37枚目のアライナ…
患者様の矯正ブログ|水道橋の矯正歯科 アールエフ矯正歯科

皆様いかがお過ごしでしょうか☀️ 暑くて溶けそうですね〜? 矯正のほうですが、とりあえず本日で37枚目のアライナ…

今日も猛暑!暑い!しかしここの空間は涼しげです⭐️ 今日は矯正を途中で放棄した姉を連れてやって来ました! ここの…

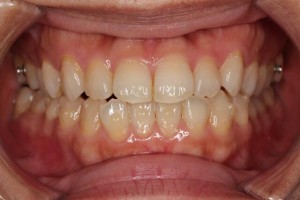
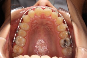
今日は噛み合わせについて。 前歯は綺麗に揃っているのであとは右側の噛み合わせ。 左側は問題ないようなのだが↓ 右側は…

ブログ更新をサボっていましたがマウスピースは毎日サボらずやっています(*´ω`*) 最近では慣れてきて着けているのも忘れ…

先月ゴム装着が開始したけれど 実際1/3の装着時間で真面目にできてなくて反省。 というのも、前歯の上下の中心を合わせる事…

矯正してると、矯正について聞かれることがたまにあります。 これまでなんとなく歯並びを気にしていた人、取っ掛かりがなくてや…

インビザライン…はじめて知りました。 マウスピース矯正にも色々種類があるんですねぇ~! 最初は入れている感覚や、取り外…

装置を付け始めて早いもので11ヶ月が経ちました。 歯並びは揃ってきているので仕上げの段階に入ります。 と、いうことで今日…

気になる!! ってことで第1回目のブログをこのような内容ではじめてみました。 私は部分矯正を行ったことがあるので見た…

やっぱり歯を抜くかどうか迷う。。けど、自分的にはもうこれでもだいぶ気に入ってる前歯!今までのねじれ出っ歯はいないからね!…