2015.07.18
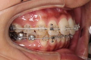
今日は噛み合わせについて。
前歯は綺麗に揃っているのであとは右側の噛み合わせ。
左側は問題ないようなのだが↓

右側はきちんと収まってないみたい。
これはまた24時間ゴムを付けることで治療ができるみたい。
これが意外と大変なんだ。。頑張る。

2015年7月|水道橋の矯正歯科 アールエフ矯正歯科
今日は噛み合わせについて。
前歯は綺麗に揃っているのであとは右側の噛み合わせ。
左側は問題ないようなのだが↓

右側はきちんと収まってないみたい。
これはまた24時間ゴムを付けることで治療ができるみたい。
これが意外と大変なんだ。。頑張る。
