2015.01.11
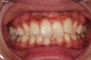
今日で上の歯に装置を装着して半年、下の歯は4ヶ月弱。
写真を並べると一目瞭然、テンションが上がる。
重なりが少なくなった分歯磨きもしやすい。
ただ、隙っ歯が気になる。。
先生に相談したら途中経過のためとの事。よかった⭐︎


2015年1月|水道橋の矯正歯科 アールエフ矯正歯科
今日で上の歯に装置を装着して半年、下の歯は4ヶ月弱。
写真を並べると一目瞭然、テンションが上がる。
重なりが少なくなった分歯磨きもしやすい。
ただ、隙っ歯が気になる。。
先生に相談したら途中経過のためとの事。よかった⭐︎

