2015.08.26
新しいアライナーが出来上がりました!!
なんと・・37枚?
サボったツケが回ってきました・・
でも今回こそはしっかりつけて頑張ります!!
同時にホワイトニングもしようと画策中?
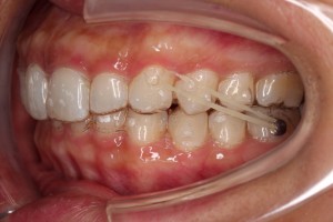
新しいアライナーはちゃんとフィットしているので付けているのがほとんどわかりませんね〜
今回からは自分でゴムも引っ掛けて効果アップ?


アライナーを新調?|水道橋の矯正歯科 アールエフ矯正歯科
新しいアライナーが出来上がりました!!
なんと・・37枚?
サボったツケが回ってきました・・
でも今回こそはしっかりつけて頑張ります!!
同時にホワイトニングもしようと画策中?
新しいアライナーはちゃんとフィットしているので付けているのがほとんどわかりませんね〜
今回からは自分でゴムも引っ掛けて効果アップ?

