
2016.04.26
妊娠中のインビザライン矯正について
いきなりこんなタイトルで驚かせてしまったかもしれませんが、インビザライン矯正を始める時期に、子供…
患者様の矯正ブログ|水道橋の矯正歯科 アールエフ矯正歯科

いきなりこんなタイトルで驚かせてしまったかもしれませんが、インビザライン矯正を始める時期に、子供…

こんばんは! 今日は総武線が止まってて診療時間に遅刻しました。すみません・・!!? インビザラインの進捗状況です…

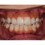
今日はまた新しいインビザラインと交換します。2週間使ったものと新しいものを並べてみました。 (左:2週間使用し…

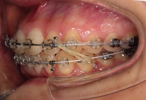
今日はゴムの大きさと距離を狭くしました! 頑張ればあと1〜2ヶ月で終わるみたい!! 矯正器具のついた歯並びにはも…

今日はインビザラインを初めて交換する日です。インビザラインは2週間毎に交換していきます。 新しいインビザライン…

こんばんは☆昨日はとっても暖かくて気持ちいい1日だったのに今日は寒ーい雨ですね。雨といえばカエル…最近カエルの夢をよく見…

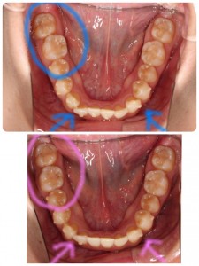
インビザラインを装着して感じたことをまとめてみました。現在、インビザライン矯正をされている方に共感していただけることがあ…

今日は上の歯をガリガリ削って、隙間を作って、噛み合わせの調整ために初めてエラスティックを装着! なんだか変な感じ! …

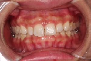
おはようございます☆ 正月マウスピースをちょっとサボってたのでちゃんと動いてるか心配でしたが先日診てもらったら順調に動い…

こんにちは!! 今日はバレンタインデーですが皆様いかがお過ごしでしょうか!?? 私は先生に診てもらいに水道橋に来まし…