
今日はまた新しいインビザラインと交換します。
2週間使ったものと新しいものを並べてみました。
(左:2週間使用したもの 右:新しいもの)
着色しているのが一目で分かりますね!
心当たりは、、、麦茶です。
その他の着色しやすい飲み物(コーヒーや紅茶やジュース)は外して飲んでいましたが、今後は麦茶も外してから飲まないといけませんね。
2週間でこんなにも着色することに驚きました!
しかし2週間で交換しますし、気をつけていればインビザラインが黄ばむことで悩まなくても済みそうですね。
ということは!
インビザラインをつけたまま飲めるものはお水だけということ!
間食も出来ませんし、なんだか規則正しい食生活が送れそうです笑。
そして、毎日の歯磨きとインビザラインのお手入れについてです。
まずインビザラインを外していつも通りに自分の歯を磨いた後にインビザラインを洗っています。
私はインビザラインを洗う時は、歯を磨くものとは別の歯ブラシ(市販で売っている普通の歯ブラシです)を使っています。
インビザラインの角や溝を結構ゴシゴシと磨いて毛先が広がってしまうので、専用の歯ブラシを準備しました。
勿論、自分の歯を磨く歯ブラシを使っても大丈夫です!
ポイントは歯磨き粉をつけずに洗うこと。
また、起床時に汚れや臭いが目立つことがあるので、そんな時は食器用洗剤を薄めた水に漬けてから洗います。
漬けている時間は朝食の間のみでそんなに長くないです。
これだけで汚れや臭いがさっぱり消えます!
ちなみにチュウィーを使った後は水洗いし、よく乾燥させています。
こちらは汚れや臭いで気になったことはないです。
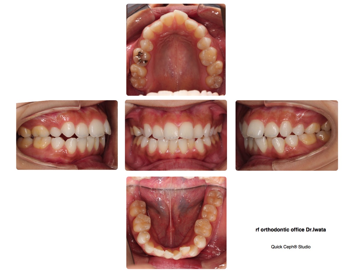
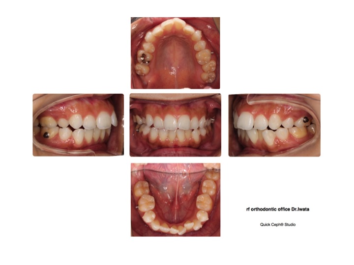
現在インビザライン6枚目になりました。
ご飯を食べている時に自分でも噛み合わせが変化したのが分かったり歯と歯の間に隙間ができて、物がつまりやすくなってきました。
あとは間食が減りました!(歯が動いていることより嬉しいかも笑。)
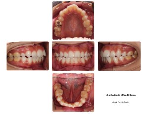
経過の写真を載せます。
【スタート前】
【インビザライン6枚目】
下前歯のガタガタした歯が少しほぐれてきました。嬉しい!!
これからも毎日の装着、ゴム掛け頑張ります!


