
今日はインビザラインを初めて交換する日です。
インビザラインは2週間毎に交換していきます。
新しいインビザラインをつけると、、、
やはり少し締め付けられる感じがありました。でも心配していた痛みはほとんど感じませんでした。
そして、初回と同様にアライナーチュウィーも3日間続けます。
このチュウィーを噛む作業は交換する度にずっと続けていきます。
(これがアライナーチュウィーです。)
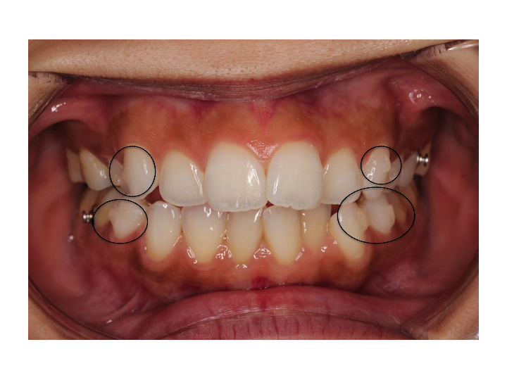
さらに今日からアタッチメントという突起が右上下と左上下につきました。
厚さ1mm程度の白いレジン素材で出来ており、歯の外側につきます。
歯の表面に凹凸を増やすことで歯の動きをより正確にするんだそうです。
インビザラインにはアタッチメントがおさまるように今回から膨らみがあります。
アタッチメントをつけてインビザラインを装着するとアタッチメントのひっかかりで少し締め付けられる感じがあり、外す時も少し時間がかかりましたが毎日続けているとすぐに慣れました。
ですので、
インビザライン1枚1枚は微妙に違った形をしていて、患者さん1人1人インビザラインの枚数も形もアタッチメントの数も違うということですね!
(アタッチメントがついた歯に印をつけてみました。膨らんでいるのがアタッチメントです。)
(近くで見るとこんな感じです。膨らんで見える部分がアタッチメントです。)
歯に限りなく近い色をしているので写真で見てもほとんど分かりませんよね!実際も全く気付かれません。
舌で触るとデコボコしているのが分かり、唇に少し当たっている感覚がある感じですが、気にならない程度です。
ワイヤー矯正の方は銀色のブラケットが歯につきますが、インビザライン矯正ではレジン素材なので見た目がいいのが嬉しいですね。
「2週間使い続けてやっと慣れてきたのに〜」と思ったタイミングで今後もどんどん新しいインビザラインになっていくんですね。一度使ったインビザラインは今後使うことはないそうです。使用済みのものはせっかくなので保管しておこうと思います。
銀色のボタンにレジンのアタッチメント…
口の中が着々と変化していっています!
これから歯がどのように動いていくのか楽しみです。
ゴムかけも頑張っています!



