2016.03.10
こんばんは☆
昨日はとっても暖かくて気持ちいい1日だったのに
今日は寒ーい雨ですね。
雨といえばカエル…
最近カエルの夢をよく見るので
グッタリして起きちゃいます(;´д`)
さて、先週のインビザラインは
いつもとちょっと違う内容でした。
それは、下の前歯のディスキングです。
ディスキングとは歯と歯の間を極小ノコギリで
0.1~0.5ミリ隙間をあけ、歯を動かすスペースを
作ってあげる、という治療です。
削ったとこは痛くもしみたりもなく
特に自分では変化はわからないくらいでした♪
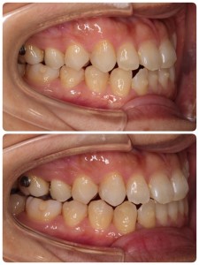
写真を見るといつの間にか
どんどん歯が動いてる~♪
上が以前。下が今


ラストのマウスピースがとっても楽しみです("⌒∇⌒")