
今までのマウスピースと違いが2つあります。わかりますでしょうか?
前回お話した、
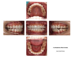
マウスピースが親知らずまで覆われている!
ということと、
上の前歯の裏側に膨らみがある!
ということです。
今回の治療は、まずアタッチメントをつけました。
このような材料と器具を使います。
歯の表面を洗浄→乾燥させて、
接着剤を塗って、
乾燥させて
アタッチメント用のマウスピースのくぼみに樹脂を流し込んで、
光照射をして
マウスピースを外すと歯に樹脂がくっつきました!
次にボタンをつけます。
たくさん種類がありますね。どれがつくのでしょうか。
接着剤をつけて

(今回は透明のボタンのようです!良かったー。)
光照射をしてくっつけます。
ボタンはどこについたのでしょうか、、?
(あまりに自然なので結構驚いています。笑)
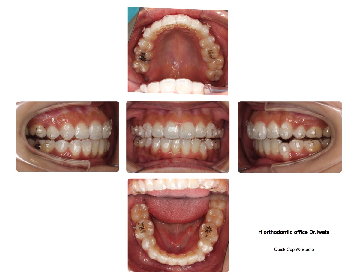
出来上がったマウスピースを装着してみました。上下左右にアタッチメントがついたので、久しぶりに締め付けられる感覚を感じます。もはや、懐かしいといった感覚です。
久しぶりに、1日20時間以上の装着/10日毎交換が始まります!
ボタンは前から3番目ずつの上の歯についています。喋ると見えるところなので透明のボタンをつけてくださいました! うれしいです。
横からの写真で特に出っ歯なのが分かると思いますが、インビザラインの前歯の裏側にある膨らみは口を閉じた時に下の歯を膨らみに当てるものなんです。
顎を少し前に出す感覚です。そうすることで完成形の噛み合わせを作りやすくします。意識しないと下の歯を前に出せませんが慣れたらベストポジションになってきます。
膨らみは力強く噛んでも壊れませんが、汚れが溜まりやすいのでお手入れにも気を遣ってあげないといけないようです。
汚れをキレイに落とす早ワザがあれば、知りたいです!
今回のマウスピースは11枚あります。
2巡目も楽しくがんばります^^




