
皆様、こんにちは。
この度、矯正治療を始めるとともに、体験日記もスタートしました。
これからインビザライン矯正を考えていらっしゃる方に少しでも参考になれば幸いです。
すでにインビザライン矯正をされている方にも色々と共感して頂けたらと思いますので、
是非お時間がある時に、気軽に読んでみて下さい。
矯正を始めようと思ったきっかけですが、
私は10年以上前に上下のワイヤー矯正治療をしていました。
当時、中学生だった私は歯並びがキレイになったら(装置が外れたら)治療も終わり!と考えていて、
その後の大事な保定期間を怠ったのが原因で少しずつ後戻りをしていきました。
「あれ、前歯が出てきたような気がする。」
「口がうまく閉じられない。」など、
後戻りする感覚を実感した時はとてもショックで、
時間が経つにつれてモヤモヤする気持ちが大きくなっていきました。
こんな気持ちで矯正歯科の受付をしていてもいいのか、
受付たるものきれいな歯並びで患者様をお迎えしなければならない!矯正を始めよう!
と心を入れ替え、決断に至りました。
ということでまずは、精密検査を受けました。
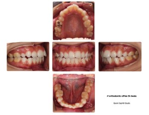
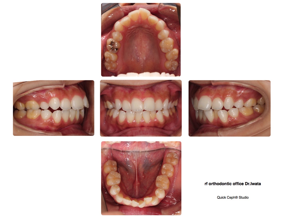
今の歯並びや噛み合わせがどうなっているのか、
顎の骨の形状や虫歯の有無を精密に調べるためにレントゲン撮影と写真撮影を行います。
写真は口の中だけでなく顔写真も撮影します。
正面の顔写真は顔や顎の歪みを、そして笑った写真は歯の見え方を見るために撮影するそうです。
顔写真は少し恥ずかしいですが、とっても大切な検査ですね!
撮影後は口の中のチェックをして、撮影した写真を見ながらカウンセリングを受けました。
お見苦しいですが、私の歯は上の歯が出っ歯で、下の歯はガタガタしています。
そして、約2週間後に診断を受けました。
3Dシュミレーション画像や装置のサンプルを見せて頂きながら、私に最適な治療プラン•治療期間等の説明を聞きました。
今回はインビザラインというマウスピース矯正をすることにしました。
透明で目立たず取り外しが出来る装置です!
当院でもたくさんの患者様がスタートされていて、本当に自然で美しく、
私もやってみたいなと思っていました。
こんな感じでこれから私の矯正体験をお知らせしていきますので、
どうぞよろしくお願いします!






