
皆様、こんにちは。
今回の診察では、
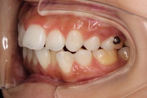
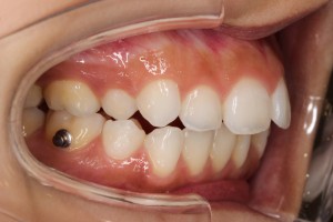
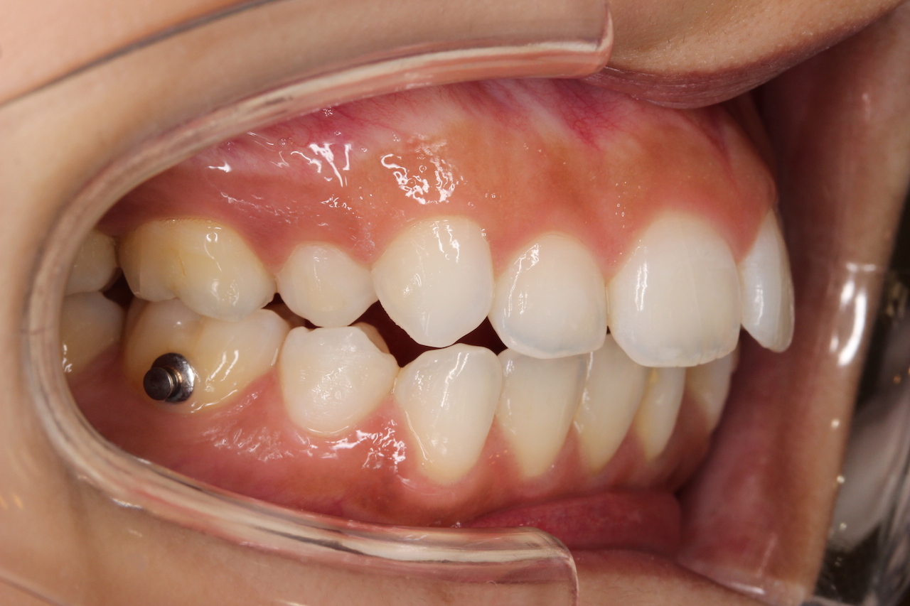
右下と左上の奥歯に「リンガルボタン」と呼ばれる銀色の突起がつきました。
歯の外側についていますが、
とても小さいので頬や唇に当たるなどの違和感は全くありませんし、
さらに奥歯にだけついているので見た目が気になることもありません。
銀色のボタンは多少歯ブラシでゴシゴシしてもとれないくらい丈夫でした!
(本当は優しく磨いてくださいね。)
このボタンは何のためにつけたかというと...
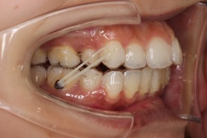
インビザラインの補助装置でもある「エラスティック」を使用するためです!
インビザライン自体にもエラスティックゴムをかける切れ込みがあるので、ボタンとインビザラインにエラスティックゴムをかけます。
(エラスティックをかけた状態です。)
左側は上の歯を前に動かし、右側は上の歯を後ろに動かす働きをしています。
このエラスティックゴムはインビザラインによる歯の動きを助けたり、反作用の力を抑える効果があるんだそうです。
喋ると少しゴムに引っ張られる感じがありますが、特に気にならないです。
お水もいつも通りに飲めました!
ゴムかけはこのようなセットで頂けます。
ゴムはインビザラインの着脱の度に交換します。
写真でも分かりますように、
ゴムはとーっても小さく、この袋にたくさん入っています。
タコの絵のついたエラスティックホルダーを使って、着脱すると簡単です。
(先端にひっかけがあるのでそこにゴムをかけます)
慣れると手でも簡単に出来ます。
他にも可愛い動物のエラスティックホルダーがたくさんあったので
並べてみました。
ワイヤー矯正でゴム掛けをしている方にもお渡ししているものです。
私はゴムの入った袋に一緒に入れておこうと思います!
寝るときのみゴムかけをしていくので今日から忘れないようにしていきます!




