2016.02.14
本日は装置が外れてから3ヶ月のチェックです。
毎回クリーニングをしてもらえるのでルンルン♪です。
これを持続させなければ。。
下の前歯は固定していて今日は1箇所外れていたので付け直ししました。
噛み方に癖があるのか前回も左側が外れていたな。。
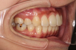
矯正装置を外してから歯が馴染んできているとのことで
噛み合わせも隙間がなくなったので驚き。
1枚目は3月前↓

2枚目は本日↓

2016年2月|水道橋の矯正歯科 アールエフ矯正歯科
本日は装置が外れてから3ヶ月のチェックです。
毎回クリーニングをしてもらえるのでルンルン♪です。
これを持続させなければ。。
下の前歯は固定していて今日は1箇所外れていたので付け直ししました。
噛み方に癖があるのか前回も左側が外れていたな。。
矯正装置を外してから歯が馴染んできているとのことで
噛み合わせも隙間がなくなったので驚き。
1枚目は3月前↓

2枚目は本日↓
