2016.01.28

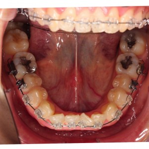
地味にガタガタだった下の歯がようやく揃ってくれた!ので今日は太いワイヤーに!
意外とこの下の歯にてこずりました、、、
でも先生からも終わりが見えてきたねと言われたので、ゴールに向けてがんばろ〜っと。
ちなみにこれが装置をつけたばかりの元の歯!!!
抜歯をせずにずいぶんと綺麗になりました!わい♪

まだ1年経ってないのにここまで並んできて満足!!
下の歯ワイヤーチェンジの巻|水道橋の矯正歯科 アールエフ矯正歯科

地味にガタガタだった下の歯がようやく揃ってくれた!ので今日は太いワイヤーに!
意外とこの下の歯にてこずりました、、、
でも先生からも終わりが見えてきたねと言われたので、ゴールに向けてがんばろ〜っと。
ちなみにこれが装置をつけたばかりの元の歯!!!
抜歯をせずにずいぶんと綺麗になりました!わい♪

まだ1年経ってないのにここまで並んできて満足!!