2017.05.14
もう半年に1回のメンテナンスでの通院。
気づいたら矯正が終わって
1年半も経っていた…。
月日が経つのは早いですね(汗)。
今はもうリテーナーは寝るときだけ!一応ちゃんと毎晩着けれてはいます。
そのおかげで後戻りはほとんどなし!よかった!
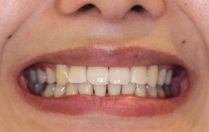
今回は前歯の形を少し修正してもらいました。
(BEFORE)

(AFTER)

2番目の歯のギザギザを自然にしてもらいました!
写真でみるとちょっとの違いだけど実際は結構イメージも変わってびっくり。
もちろんクリーニングもしてもらいました!
次はまた半年後〜〜〜