当院では、CTを導入いたしました✨
レントゲン撮影では2次元の情報しか
得ることができませんが、
CT撮影をすることで
3次元の情報を得ることができます。

CTとは、コンピューター断層撮影
(Computed Tomography)の略称で、
放射線を照射することで、
3次元的(3D)に描画することが可能です。
「断層撮影」は見たい部分を
輪切りにして画像化できるため、
見たい部分の厚みや深さ、
奥行きなどの情報を得ることも可能です。

歯科で用いられているCTを
「歯科用CT」と呼びます。
医科のCTとの大きな違いは、
被曝量の少なさです。
医科のものと比べると、
被曝量は200分の1程度です。
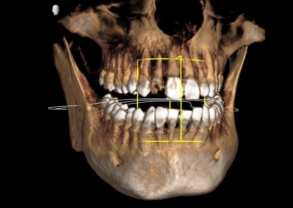
矯正歯科では、
CTスキャンは肉眼で確認できない、
生えないまま骨内に埋もれている歯(埋伏歯)の発見と、
その歯の詳細把握に役に立ちます。
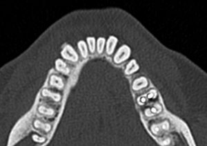
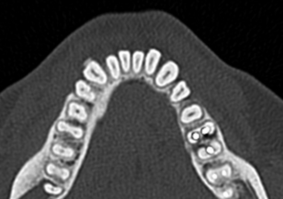
埋伏歯は
下記の写真の3番目の歯ように
表に出てきておらず
埋まっています。

埋伏歯をCTで撮影することには
以下のような利点があります✨
1. 正確な位置がわかる
CTスキャンは3Dの画像のため、
埋まっている歯の正確な位置を把握できます。
これにより、歯がどの方向に埋まっているのか、
他の歯や骨との位置関係を
はっきりと知ることができます。
2. 治療計画が立てやすい
CT画像により、
どこに歯が埋まっているかが正確にわかると、
最も適切な治療方法や
外科的介入を計画しやすくなります。
これにより、治療がうまくいく確率が高くなります。
3. 安全に治療ができる
埋伏歯が神経や血管に近接している場合、
その位置関係を事前に把握することで、
手術中にそれらを傷つけないように
リスクを最小限に抑えることができます。
4. 他の問題も見つかる
CTスキャンは他の問題
(例:嚢胞や腫瘍)も見つけやすいので、
早めに対処することができます。
5. 理解しやすい説明ができる
3D画像を使って説明することで、
治療が必要な理由や手術の方法を
わかりやすく伝えることができます。

これらの利点により、
CTスキャンは埋まっている歯の
診断と治療にとても役立つツールで、
患者様にとって様々なメリットをもたらしています🕊
現在矯正治療中の方、そして矯正治療を検討されている方にとって
安心して受診していただけるようさまざまな情報を発信中です。
詳しくは【 当院 Instagram & YouTube 】を是非参考にご覧ください!



