みなさま、こんにちは。
今回はマウスピース型矯正装置(インビザライン)の補助装置についてです。
「補助装置って?」
「どんな時に使うの?」
「透明のマウスピースだけを使えばいいんじゃないの?」
違います!
マウスピース型矯正装置(インビザライン)で歯を正確に動かしていくにはいくつかの補助的な装置を使用します。
補助的...
つまりマウスピース型矯正装置(インビザライン)による歯の移動を助ける装置です。
①Aligner Chewie(アライナー・チュウィー)

マウスピースを歯列によりしっかりとフィットさせる為の補助として、装着時に使用します。装着時にこれを咬むことにより歯を動かす違和感を軽減する効果があります。
新しいマウスピースに交換した3日間は、装着時に毎回使用して頂きます。
約1分ほどしっかり歯列全体で噛んで、マウスピースと歯をフィットさせていきます。
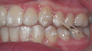
②顎間エラスティック(ゴム)

上下の歯の咬み合わせを改善、微調整するために使用します。また、歯の移動時に起こる反作用の力を抑えることができます。
必要に応じて、ある一定期間使用して頂きますが、ゴムは口腔内の側方につけるためほとんど目立ちません。
これらはマウスピース型矯正装置(インビザライン)治療において、とても重要な装置です。
補助装置をしっかり使えるかどうかが、治療期間や治療結果に影響しますので頑張って使ってくださいね!
歯並びでお困りの方、小児矯正/本格矯正/マウスピース型矯正装置(インビザライン)をご希望の方はお気軽にご連絡ください。 初診矯正相談WEB予約はこちら
N.IWATA rf orthodontic office
Tel 03-5803-1488
現在矯正治療中の方、そして矯正治療を検討されている方にとって
安心して受診していただけるようさまざまな情報を発信中です。
詳しくは【 当院 Instagram & YouTube 】を是非参考にご覧ください!



