『歯列矯正治療のゴムかけって何のためですか?』
『絶対やらないとダメなのでしょうか…』
『ゴムかけは難しそうで私にできるか不安です…』
といった声をいただくことがあります。

顎間ゴムは
「エラスティックゴム」や「ゴムかけ」とも呼ばれています。

歯列矯正治療を受けるにあたり、経験されることが多い装置です。
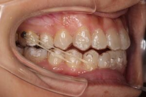
ゴムかけとは
歯列矯正治療を行う際に矯正装置(マウスピースやワイヤーなど)に
ゴムをかけることで、矯正力の補助的な力を歯に加える方法です。

ゴムかけは歯を引っ張る時や噛み合わせを合わせていく時
などに行うことが多い処置内容です。
ゴムの牽引力により、
矯正装置だけではかけられない力を歯にかけることで
適切な噛み合わせを作ることが可能になります。

最初は違和感がありますが、数日で慣れる方がほとんどです。
また、鏡を見ながらゴムをかけるとスムーズにできます。
当院では必ず最初は一緒に練習を行っておりますのでご安心ください。
ゴムがかけにくい場合、補助アイテムのエラスティックホルダーを
お渡ししております。

同じゴムを使い続けると、
ゴムが劣化し、伸びたり、切れてしまうことがあります。
そのため、矯正力が半減し効力がなくなるため、
1日1回は新しいゴムに交換するようにしてください。
外したゴムを再度つけることに抵抗がある場合は
毎食後、新しいゴムに交換していただいても大丈夫です。
実はゴムかけは歯列矯正治療において非常に重要な役割を持っており
患者様がしっかりゴムかけに取り組めるかどうかによって
治療の仕上がりや治療期間などに大きく影響します。
顎間ゴムは、食事と歯磨きの時以外、
1日20時間以上装着することが望ましいといわれています。
ゴムが見えるのが気になったり、話しづらかったりすることがあると思いますが、
長時間頑張って使用していただくことが治療成功の鍵になります。
習慣になるようにしましょう。私たちもサポートしてまいります。
現在矯正治療中の方、そして矯正治療を検討されている方にとって
安心して受診していただけるようさまざまな情報を発信中です。
詳しくは【 当院 Instagram & YouTube 】を是非参考にご覧ください!



