皆様、こんにちは。
いかがお過ごしでしょうか?
今年も残すところ約3ヶ月。
運動会に遠足、ハロウィンにクリスマスなどなど・・
行事も目白押しで、あっという間に今年が終わりそうですね。
さて、YouTube公開のお知らせです。
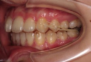
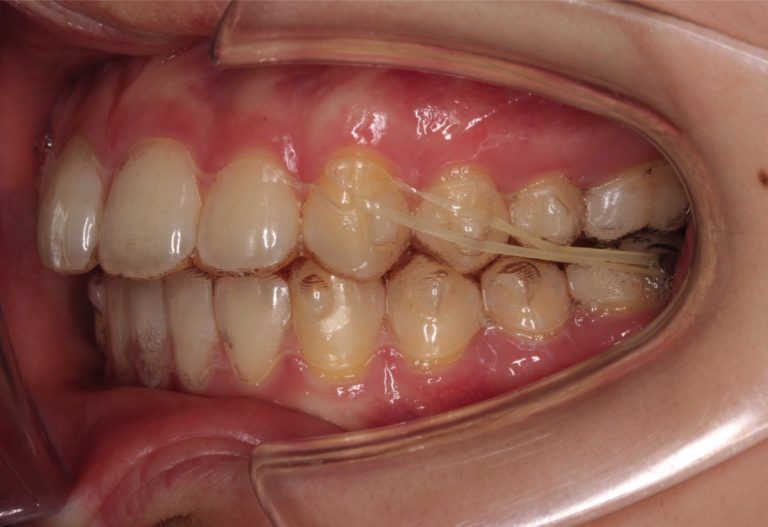
矯正中はワイヤーやマウスピースといった装置の他にも
歯を正確に動かしていくための
「補助装置」を使用する場合があることを、皆様ご存じでしょうか?
その一つが「エラスティックゴム」と呼ばれる医療用ゴムです。
矯正中に医師より
「ゴムかけをしてくださいね。」
と言われることがあるかもしれません。
(歯並びや噛み合わせの状態により、補助装置が不必要なケースもあります)
「ゴムかけ」ってなんだろう?という方のために
今回のYouTubeの動画では
「エラスティックゴム〜ゴムかけ〜」をご紹介しております。
「ゴムかけ」は、矯正治療の仕上がりに大きく影響してきます。
歯列矯正の目的は見た目を良くするだけでなく、
噛み合わせを改善することもとても重要です。
見た目がきれいでしっかり噛める機能的な歯並びを
手に入れるには「ゴムかけ」などによる
細かな調整が必要になってくるのです。
ゴムの着用を怠ると、治療効果が十分に得られない場合や
治療期間が延びる場合があります。
指示された通りに毎日こつこつと
しっかりゴムを着用していきましょう!
そうすることで効果的な治療ができ、
理想的な歯並びの実現に近づくことができます。
ゴムかけの役割・重要性
エラスティックゴムの着脱方法やポイントなど、
詳しく紹介しておりますので
こちらの動画をぜひ参考にしてみてください。
↓こちらから動画をご覧いただけます。
YouTube「エラスティックゴム〜ゴムかけ〜」
過去の関連YouTubeはこちら
「エラスティックゴム」について
ご不明点がございましたら、お気軽にお問い合わせください。
現在矯正治療中の方、そして矯正治療を検討されている方にとって
安心して受診していただけるようさまざまな情報を発信中です。
詳しくは【 当院 Instagram & YouTube 】を是非参考にご覧ください!








