
2017.04.29
叢生症例 <奥歯の骨が少ないため他院で治療困難と診断された部分矯正治療>
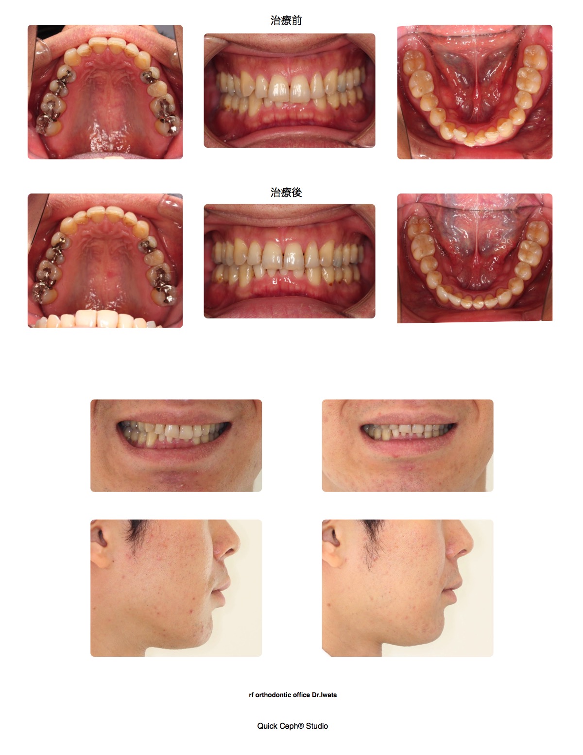
【主訴】上下前歯の歯並びを治したい。【主な症状】上下顎前歯部叢生(上下の前歯がガタガタ)/過蓋咬合(ディープバイト)/上…
叢生(八重歯・乱ぐい歯)|水道橋の矯正歯科 アールエフ矯正歯科

【主訴】上下前歯の歯並びを治したい。【主な症状】上下顎前歯部叢生(上下の前歯がガタガタ)/過蓋咬合(ディープバイト)/上…

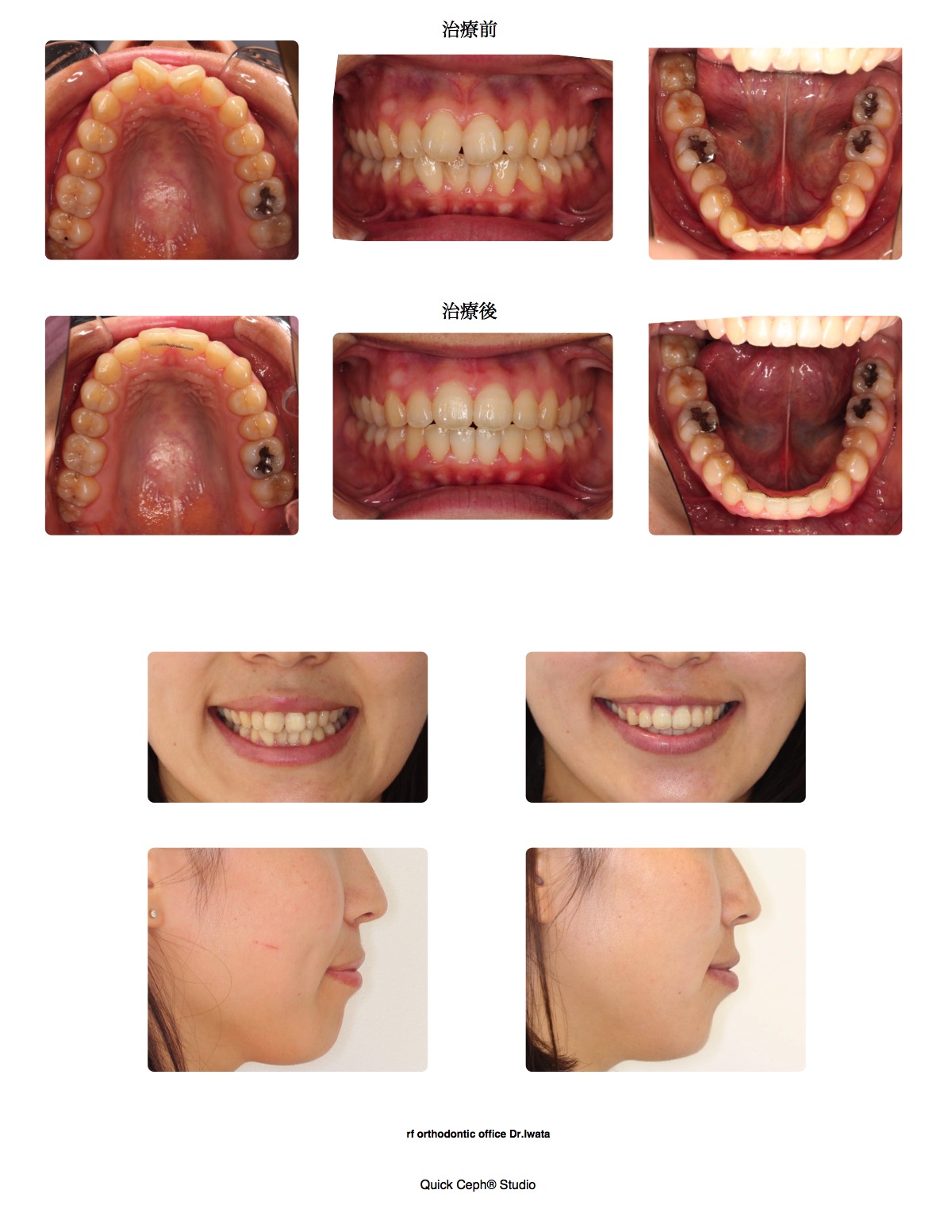
【主訴】八重歯と前歯のガタガタを治したい。【主な症状】上顎右側犬歯低位唇側転位(八重歯)/上下顎前歯叢生(ガタガタ)/大…

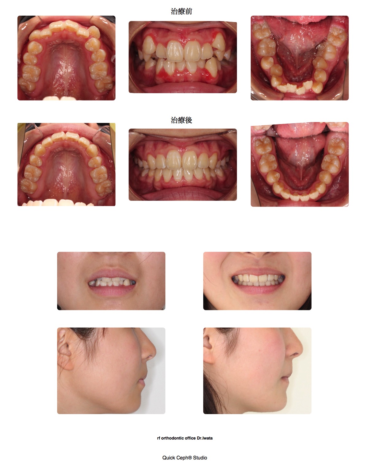
【主訴】八重歯と下の前歯のズレが気になる。【主な症状】上顎左側犬歯低位唇側転位(八重歯)/上下顎前歯叢生(ガタガタ)/下…

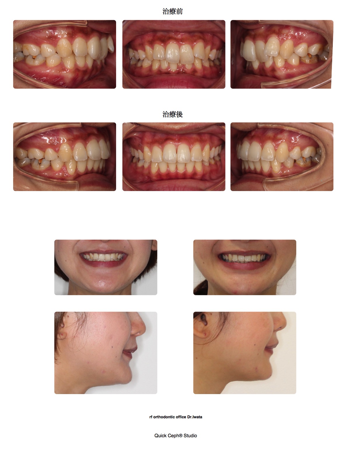
【主訴】奥歯が出てこれてないのと前歯のデコボコが気になる。【主な症状】下顎両側第2大臼歯半埋伏(下の奥歯が半分歯茎に埋ま…

【主訴】他院で非抜歯のマウスピース矯正をしていたがこれ以上治せないと言われたので診てもらいたい。【主な症状】骨格性下顎骨…

【主訴】上の前歯が捻れて出ているのと下の前歯のガタガタを治したい。【主な症状】下顎後退(下の顎が小さい状態)/上顎中切歯…

【主訴】上下ガタガタの歯並びを治したい。【主な症状】上下顎重度叢生(ガタガタ)/上顎両側犬歯低位唇側転位(八重歯)/左側…

【主訴】子供の頃に矯正治療していたが、後戻りしてしまった上下前歯のガタガタを綺麗にしたい。【主な症状】上下顎叢生(ガタガ…

【主訴】上下の八重歯を治したい。【主な症状】上下顎重度叢生(ガタガタ)/左側大臼歯Class Ⅱ(上の奥歯が前に出ている…

【主訴】上下前歯のガタガタが気になる。【主な症状】上下顎重度叢生(ガタガタ)/大臼歯Class Ⅱ(上の歯が前に出ている…