
2019.09.08
叢生症例 <下顎乳臼歯晩期残存および第2小臼歯埋伏を伴う上下顎前歯部叢生に対する非抜歯矯正治療>
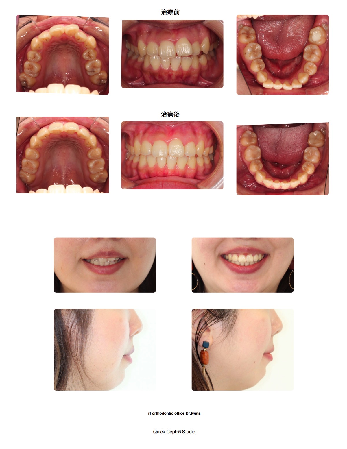
【主訴】 上下の前歯のデコボコが気になる。左下に乳歯が残っていて永久歯が出てきてない。発音も少ししにくいので…
叢生(八重歯・乱ぐい歯)|水道橋の矯正歯科 アールエフ矯正歯科

【主訴】 上下の前歯のデコボコが気になる。左下に乳歯が残っていて永久歯が出てきてない。発音も少ししにくいので…

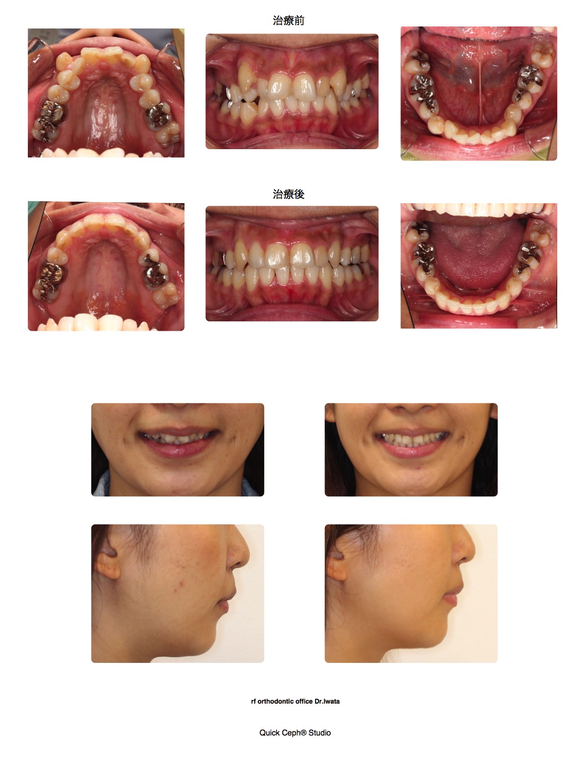
【主訴】上下前歯のガタガタが気になる。下の親知らずのせいでズレている気がする。【主な症状】上下顎前歯部叢生(ガタガタ)/…

【主訴】下の前歯の凸凹が気になる。左右の噛み合わせがズレている気がする。【主な症状】上下顎前歯部叢生(ガタガタ)/上下顎…

【主訴】上下の前歯のガタガタが気になる。歯磨きがしにくい。【主な症状】上下顎前歯部叢生(ガタガタ)/上下顎前歯軽度唇側傾…

【主訴】下の前歯のでこぼこがずっと気になっていたので綺麗にしたい。その部分の歯磨きもしにくい。【主な症状】下顎前歯部軽度…

【主訴】上下の前歯のガタガタが気になるので綺麗にしたい。笑った時に前歯の歯並びが気になって恥ずかしい。【主な症状】上下顎…

【主訴】中高生の頃に矯正をしたが保定装置(リテーナー)を使用していなかったので後戻りでガタガタが出てきたのでまた綺麗に戻…

【主訴】でこぼこの歯並びをきれいにしたい。ものが噛みにくい。【主な症状】上下顎歯列重度叢生(ガタガタが強い)/上顎右側犬…

【主訴】八重歯と上下前歯の歯並びを治したい。笑った時の歯並びが気になる。【主な症状】上顎右側犬歯低位唇側転位(八重歯)/…

【主訴】矯正治療して時間が経っていて下の前歯に後戻りによるガタガタが出てきたので治したい。【主な症状】下顎前歯部軽度叢生…