
2021.12.02
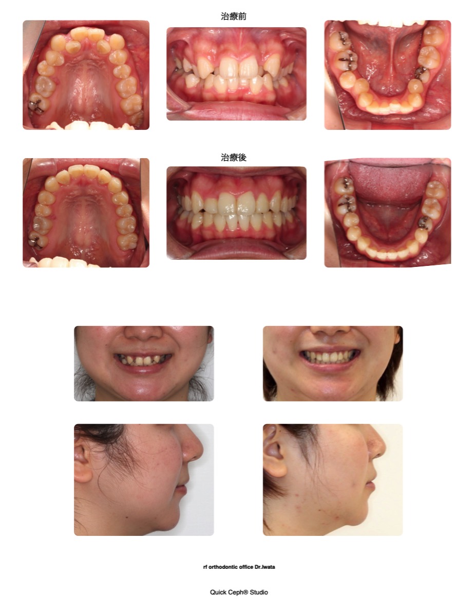
叢生症例 <上下顎前歯部の重度叢生に対する非抜歯矯正治療>
【主訴】 前歯の歯並びを綺麗にしたい。特に下の前歯の歯並びが気になる。できるだけ歯を抜かずに矯正したい【主な…
叢生(八重歯・乱ぐい歯)|水道橋の矯正歯科 アールエフ矯正歯科

【主訴】 前歯の歯並びを綺麗にしたい。特に下の前歯の歯並びが気になる。できるだけ歯を抜かずに矯正したい【主な…

【主訴】 上下の前歯がガタガタしているのを治したい。上の前歯が斜めになっているのが気になる。歯磨きがしにくく…

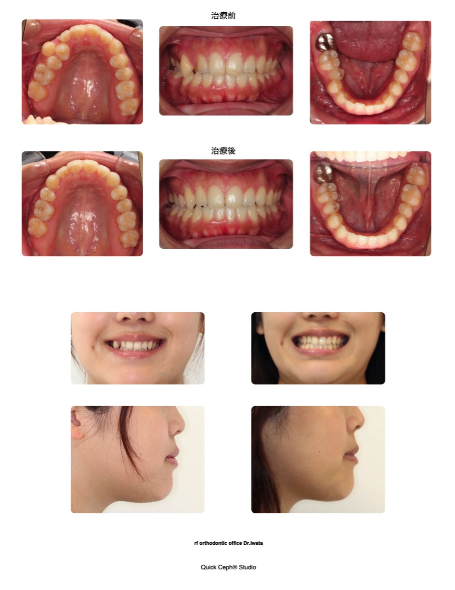
【主訴】 上下の前歯が凸凹しているのが気になる。上の前歯が曲がっているように感じて、上下の真ん中が合っていな…

【主訴】 上下の歯が全体的にガタガタしているので治したい。笑った時に歯が無い様に見えて、八重歯が目立つのも治…

【主訴】 上の前歯がガタガタしている。昔からずっと気になっていたがワイヤー装置には抵抗があり、マウスピースで…

【主訴】 上下前歯がデコボコしているのを治したい。できるだけ抜歯せずに綺麗にしたい【主な症状】 叢生【抜歯部…

【主訴】 右上の奥歯がガタガタしていて、歯の順序が逆になっていると歯医者さんで指摘された。留学を考えていて八…

【主訴】 左上の前歯が内側に入っていて歯が無いように見えるので治したい。その隣の八重歯も気になる。下の歯もガ…

【主訴】 上下前歯の歯並びが気になる。転勤の予定があるのでそれでも矯正が続けられるか知りたい。【主な症状】 …

【主訴】 前歯のでこぼこをきれいにしたい。できるだけ痛みが少ない装置で矯正治療をしたい【主な症状】 叢生【抜…