
2020.09.09
叢生症例 <上下顎前歯部叢生に対する非抜歯矯正治療>
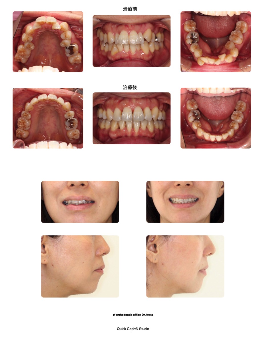
【主訴】 前歯のガタガタが気になる(特に下の前歯)。歯みがきがしにくい。目立たない矯正装置で治療したい【主な…
叢生(八重歯・乱ぐい歯)|水道橋の矯正歯科 アールエフ矯正歯科

【主訴】 前歯のガタガタが気になる(特に下の前歯)。歯みがきがしにくい。目立たない矯正装置で治療したい【主な…

【主訴】 乳歯(糸切り歯)が残っていて永久歯が出てこない。前歯のガタガタと真ん中の隙間が気になる【主な症状】…

【主訴】 右上の八重歯が気になる。スポーツをしていて海外遠征とか多いので通院回数が少なく、トラブルが少ない装…

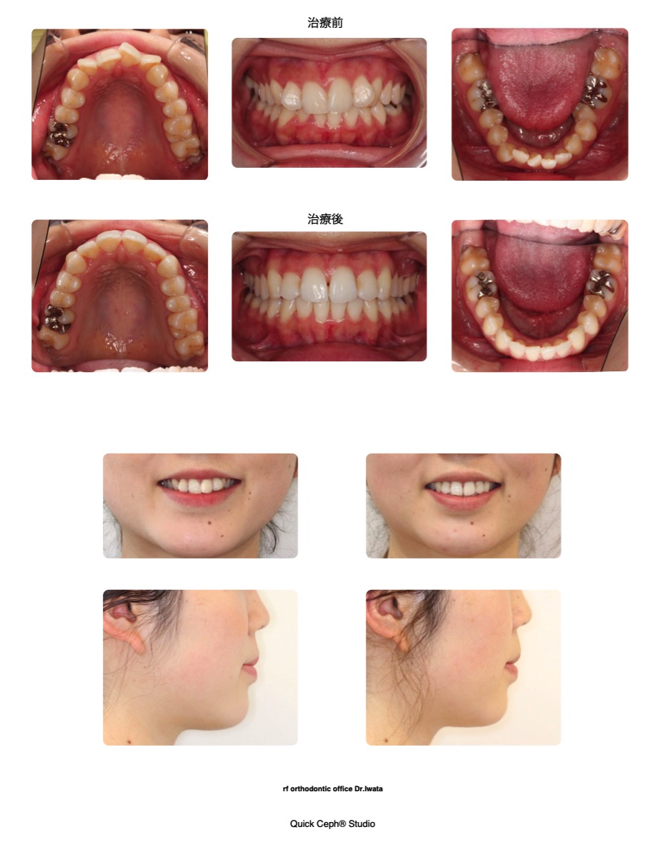
【主訴】 前歯デコボコをきれいにしたい。食べ物がよく挟まってブラッシングもしにくいので改善したい【主な症状】…

【主訴】 真ん中の前歯のねじれが気になる。2番目の歯が内側に入っているのも治したい。歯磨きがしづらい【主な症…

【主訴】 左上の前歯が内側に入っているのでそこをきれいにしたい。下の前歯もガタガタなのでそこも気になる。歯磨…

【主訴】 前歯の歯並びが気になる。特に右側が噛みにくい。上下の前歯の真ん中がずれているのを合わせたい【主な症…

【主訴】 前歯のガタガタをキレイにしたい。右上の前歯が内側に入っているのが特に気になる。前歯でものが噛みにく…

【主訴】 前歯の重なりが気になる。ブラッシングもしにくいので、歯周病やむし歯などの将来的なリスクも考えて歯並…

【主訴】 前歯の歯並びが気になる。特に上の前歯が重なっているところを綺麗にしたい。できれば歯を抜かずに治した…