みなさんこんにちは♪
街路樹が日に日に葉を落とし、
木枯らしにその葉が舞う季節となりましたね🍂
さて、先日は”虫歯になりやすい食べ方飲み方“
についてお話ししました。
虫歯になりやすい食べ方飲み方
今回は、歯並びと磨き残しについてお話ししていきます。
矯正相談にいらっしゃる方で
“歯のガタガタが強くて歯磨きがしにくい”
という方が多くいらっしゃいます。
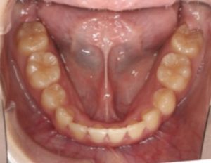
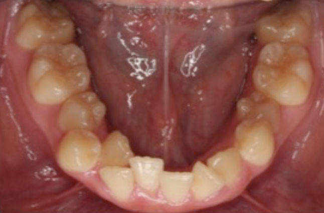
歯並びがガタガタしていると、
歯ブラシが当たりにくく
汚れが残りやすくなります。
このように磨きにくいところは
より細かいところにフィットする
歯ブラシをおすすめしています。
タフトブラシとういもので
細かい部分に届く歯ブラシです。
“重なっている歯”
”奥歯の後ろ側“
“1本だけ孤立している歯”に
向いていることと、
先が細いので鏡を見て
確認しながら歯を磨くことになるので
歯ブラシだけで磨くより、
磨き残しがグっと減ります。
そして、
どんな歯並びの方でも大切なことは、
定期的に歯科医院での検診や
クリーニングを受けることです。
歯ブラシだけの歯垢除去率は60%
フロスや歯間ブラシを使って
ようやく80%になります。
どうしても20%は残ってしまうので
歯科医院でのクリーニングとチェックが
大切になってきます。
もし磨き方がわからなかったり、
気になる症状がある場合は
お尋ねください♪
また、クリーニングや検診に行かれた
クリニックでも尋ねていただければ
親身に答えてくださると思いますので、
遠慮なさらずにお尋ねください😊
また、歯と歯の間については
こちらをご参照ください♪
歯と歯の間のお掃除
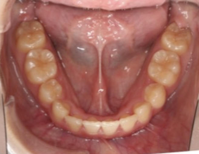
歯並びが整うと審美的にも改善され、
自信を持てるようになった、
思いっきり笑えるようになったという
お声をいただきます♪
矯正前↓
矯正後↓
さらに、歯が磨きやすくなったことで
虫歯予防や歯周病予防も出来ますので
歯列を整えるとたくさんの
良いことがあります⭐︎
少しでも矯正に興味をお持ちでしたら、
相談にいらしてください♪
https://rf-ortho.com/free-consultation
現在矯正治療中の方、そして矯正治療を検討されている方にとって
安心して受診していただけるようさまざまな情報を発信中です。
詳しくは【 当院 Instagram & YouTube 】を是非参考にご覧ください!












