みなさんこんにちは。
街はクリスマスの飾りつけ一色となってまいりましたね🎄
さて今回は、歯の着色汚れについて
お話ししていきます。
突然ですが、
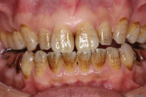
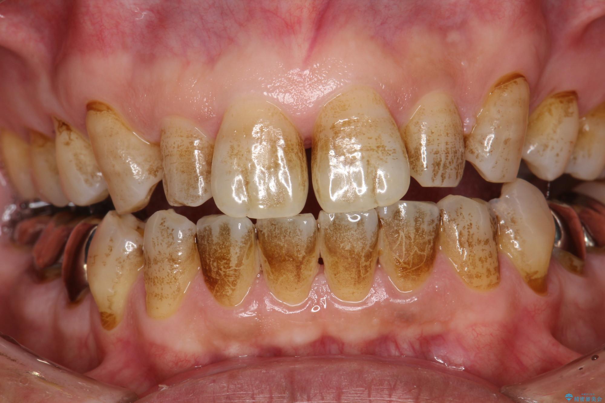
こんな歯を見たことがありませんか?
これは、歯の表面に着色汚れがついている状態です。
着色汚れとは、色の濃い食べ物や飲み物、
タバコなどに含まれる色素が歯に付着し、
時間とともに蓄積したものです。
特にコーヒー、紅茶、カレー、トマトソースなどや
タバコが主な原因となります。
ここまで着色がついてしまうと
普段のブラッシングで落とすことは難しいので、
歯科医院でのクリーニングをおすすめします。
歯科衛生士が専用の器具を使って歯の汚れを取り、
歯の表面をツルツルに磨き上げます。
歯垢や歯石を落とすためのクリーニングでも、
かなり着色汚れが落ちて歯本来の色に戻ります。
歯がツルツルになり
汚れがつきにくくなるので、
定期的にクリーニングをしていると
汚れのつき具合も軽くなっていきます。
ですので、2〜3ヶ月に一度の
クリーニングをおすすめします⭐︎
普段の歯ブラシだけでは落としにくいものなので、
汚れを付きにくくする歯磨き粉の
使用もおすすめします。
着色(ステイン)を浮かせる成分として、
ピロリン酸ナトリウム
という成分があります。
この成分は歯の表面からステインを
浮かしてくれるので、
着色を効果的に取り除くことができます。
タバコのヤニに効果的な成分として、
ポリエチレングリコール
という成分があります。
特にタバコのヤニを浮かして溶かす効果がありますので、
喫煙による歯の着色に効果的です。
歯磨き粉の成分表示を確認し
そのような成分が入っているものを選ぶのも
着色の予防になります。
また、着色のあるものを口にしたときは
すぐに口を水でゆすいだり
歯磨きをするのも予防策になります。
マウスピースをしているときに
飲んで良い飲み物は、
砂糖の入っていない飲み物とお伝えしています。
ただ、着色のある飲み物…
コーヒー、紅茶、お茶などは
歯にもマウスピースにも着色が
付きやすくなってしまいます。
マウスピースをしていても
水で口をゆすぐのは効果的なので
ぜひ気づいたら行ってみてください。
マウスピースのお手入れについては
こちらをご覧ください。
マウスピースのお掃除
口のゆすぎ方ですが、
お口の中で激しい水流を作り出し、
口の中の左右、歯と頬の間、
すべてにぶつけていく感覚でゆすぎます。
歯と歯ぐきの境目に水流を当てるように
ブクブクとゆすぐことを意識してみてください♪
現在矯正治療中の方、そして矯正治療を検討されている方にとって
安心して受診していただけるようさまざまな情報を発信中です。
詳しくは【 当院 Instagram & YouTube 】を是非参考にご覧ください!











