
2026.01.30
鋏状咬合症例 <叢生と前突を伴う両側鋏状咬合に対する抜歯矯正治療>
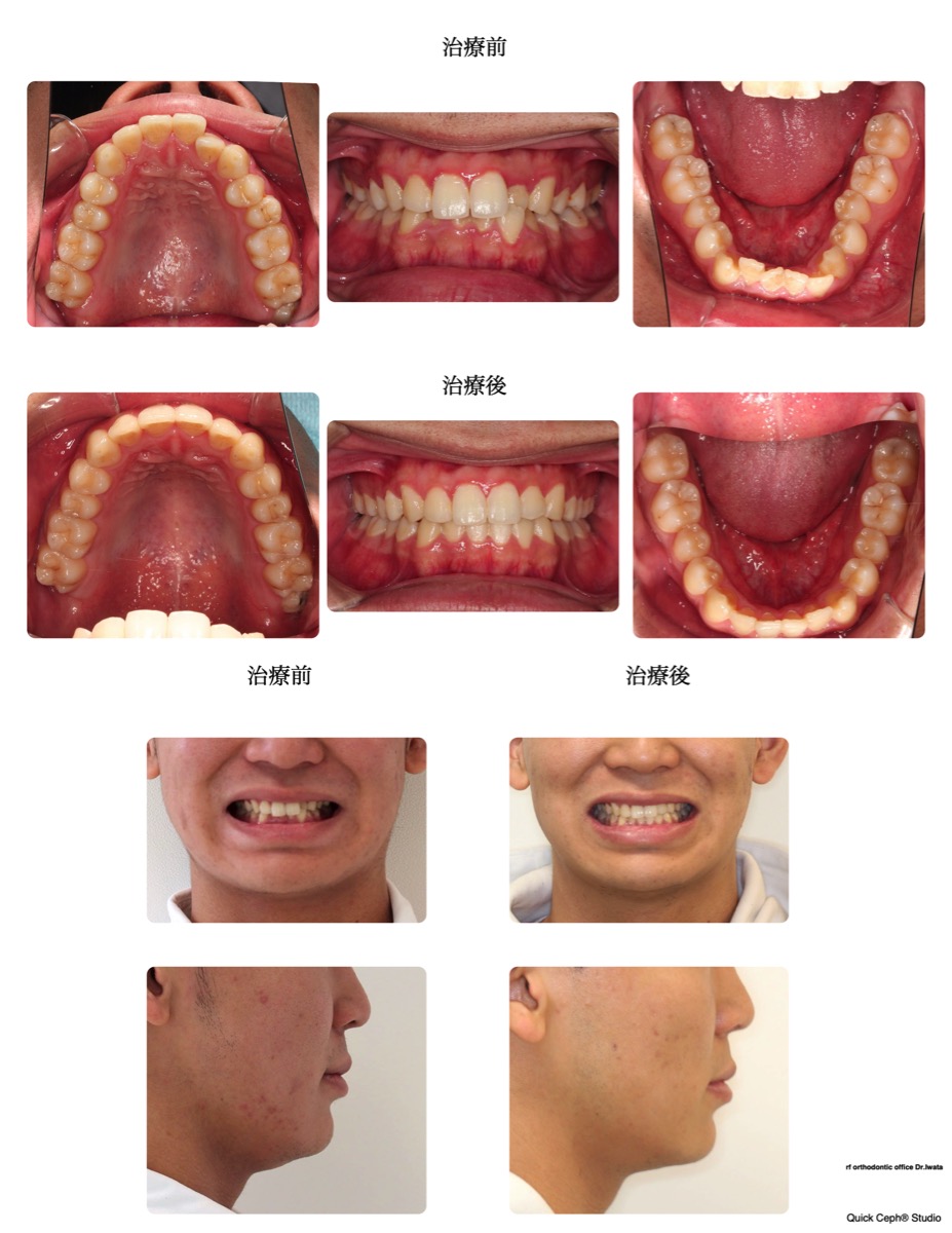
【主訴】口元が出ていて閉じにくい。前歯のデコボコも気になる。奥歯がすれ違っていて噛みにくいのも改善したい。 【主な症状…
鋏状咬合(シザーズバイト)|水道橋の矯正歯科 アールエフ矯正歯科

【主訴】口元が出ていて閉じにくい。前歯のデコボコも気になる。奥歯がすれ違っていて噛みにくいのも改善したい。 【主な症状…

【主訴】 歯並びが全体的に内側に倒れていてガタガタしていている。下の前歯が1本足りない。【主な症状】右側第一…

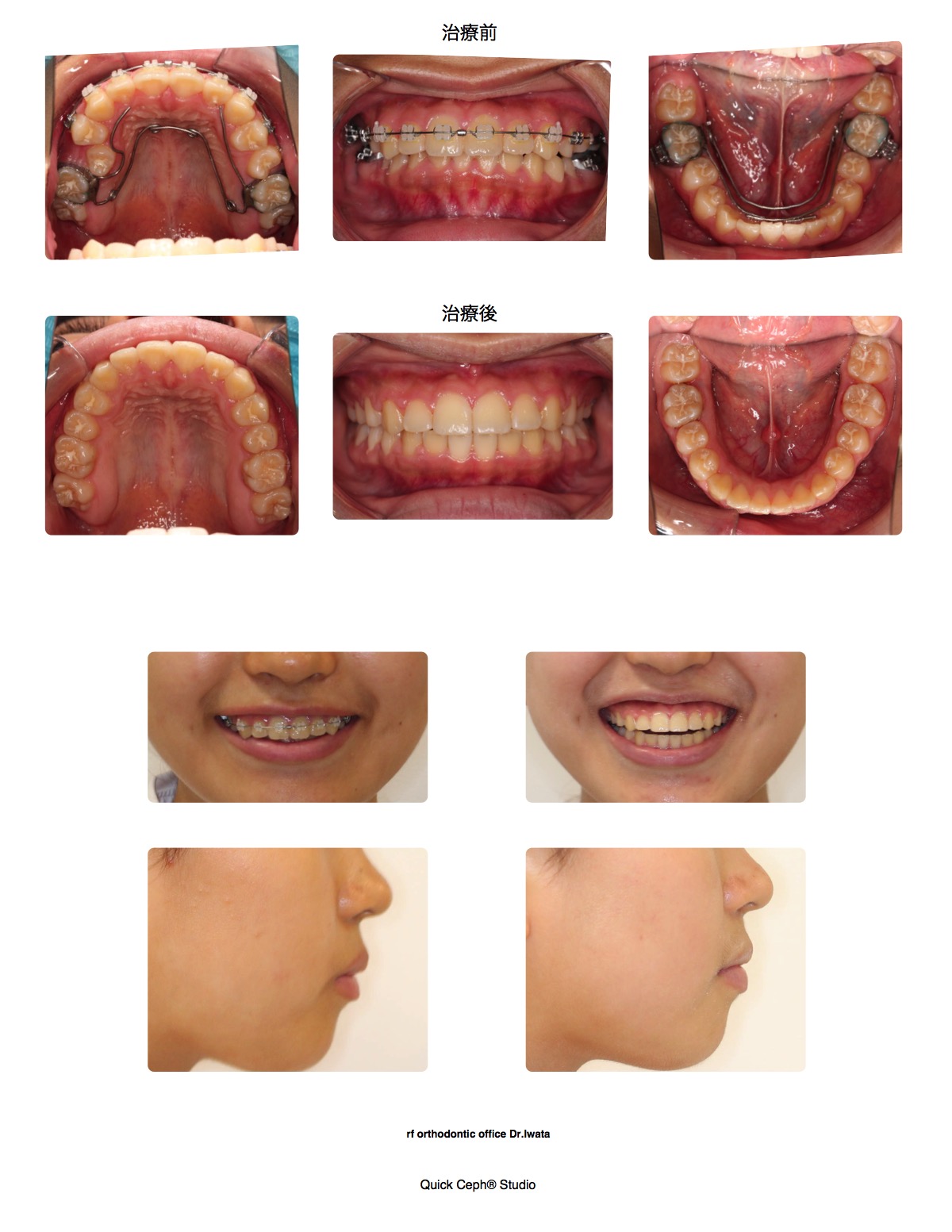
【主訴】 左側が噛みにくい。前歯のガタガタが気になる。【主な症状】左側第2小臼歯鋏状咬合(上下の歯がすれ違い…

【主訴】 歯科検診で指摘されたガタガタと噛み合わせが深いのを綺麗にしたい。奥歯で頬をよく噛むのでそれも改善で…

【主訴】 左上の前歯が1本前に飛び出しているので治したい。歯並びが狭くしゃべりにくい。左上の奥歯が外に出てい…

【主訴】下の歯並びが気になる。噛みにくいのでかみ合わせを良くしたい。【主な症状】右側第2大臼歯鋏状咬合(上下の歯がすれ違…

【主訴】上の歯の捻じれの改善と矯正治療の続きをしたい。(引っ越しのため矯正専門医院より転院)【主な症状】上顎右側第二小臼…