
2025.01.03
空隙歯列症例 <過蓋咬合を伴う空隙歯列に対する非抜歯矯正治療>
【主訴】 上のすきっ歯がずっと気になる【主な症状】 空隙歯列(正中離開) 矮小歯 【抜歯部位】 なし【矯正歯…
空隙歯列(すきっ歯)|水道橋の矯正歯科 アールエフ矯正歯科

【主訴】 上のすきっ歯がずっと気になる【主な症状】 空隙歯列(正中離開) 矮小歯 【抜歯部位】 なし【矯正歯…

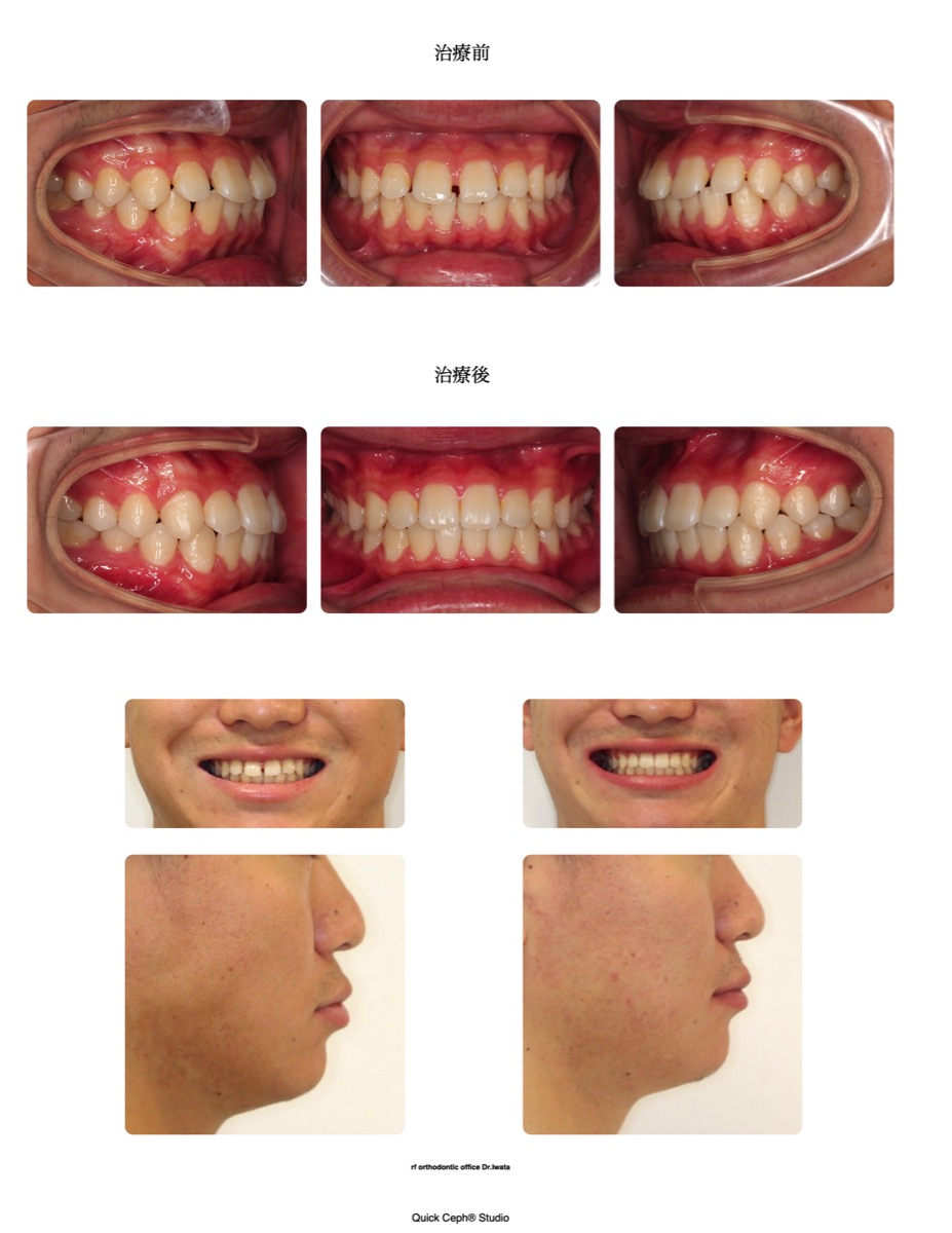
【主訴】 上のすきっ歯が目立ってきたので閉じたい。噛み合わせが深い。【主な症状】 空隙歯列 過蓋咬合 叢生 …

【主訴】 下の前歯のすきっ歯が気になる。できれば抜歯はしたくない。【主な症状】 空隙歯列(下顎両側側切歯2本…

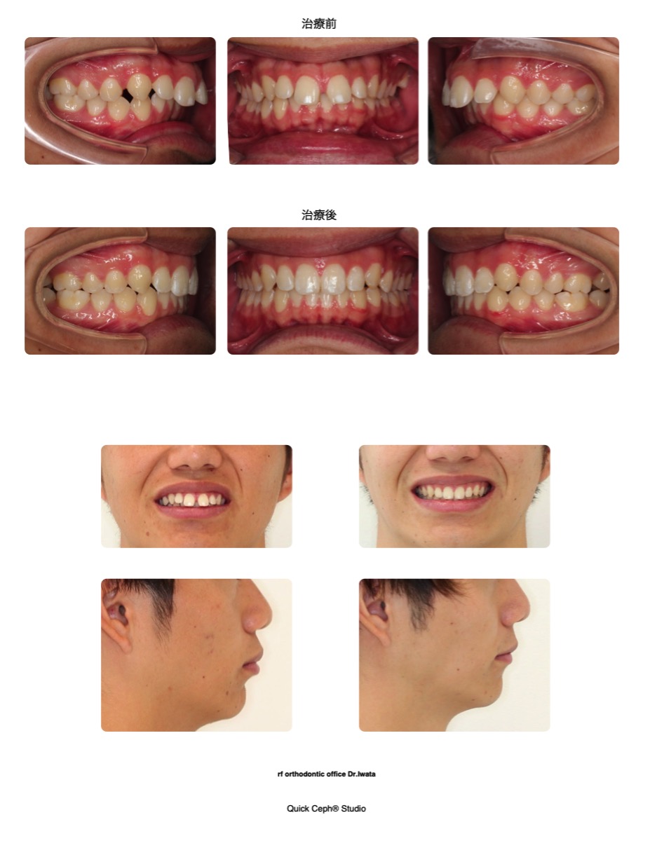
【主訴】 上の前歯の出っ歯とすきっ歯を治したい。口元も可能なら下げたい。【主な症状】 上顎前突 正中離開【抜…

【主訴】 上の前歯の隙間が気になるので治したい。下の歯にも隙間があり食べ物が詰まるので閉じたい。【主な症状】…

【主訴】 上下前歯のすきっ歯が見た目で気になるので治したい。可能なら目立たないマウスピースで矯正をしたい【主…

【主訴】 前歯のすき間を閉じたい。出っ歯で上の歯が前に出ているのを治したい【主な症状】 空隙歯列【抜歯部位】…

【主訴】 乳歯(糸切り歯)が残っていて永久歯が出てこない。前歯のガタガタと真ん中の隙間が気になる【主な症状】…

【主訴】 上の前歯のすき間が笑った時に気になる。下の前歯のガタガタもキレイにしたい。目立つワイヤー矯正は付け…

【主訴】 前歯の歯並びが気になる。上の前歯のすき間が目立つので見た目を良くしたい。内側に入っている歯を綺麗に…