
2026.01.15
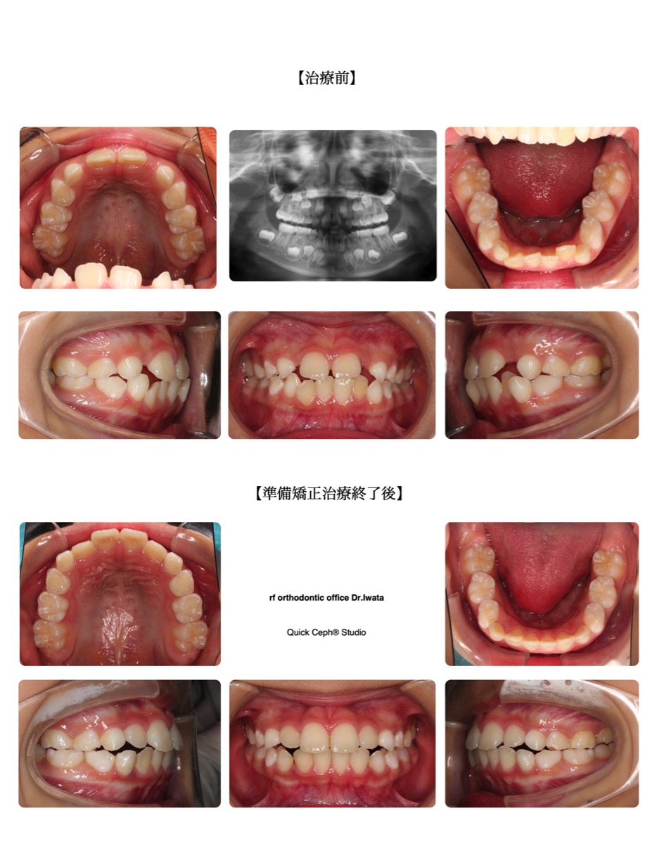
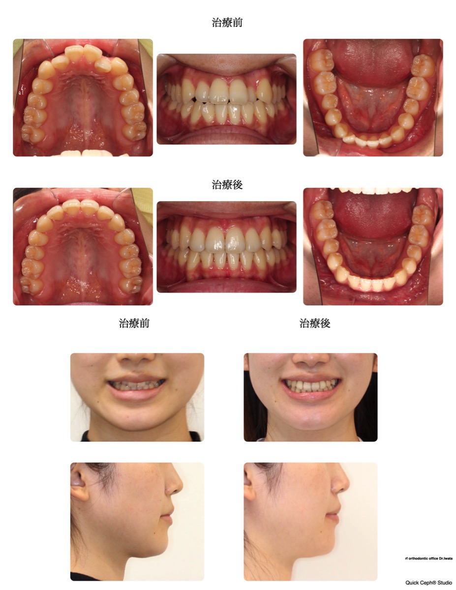
叢生症例 <切端咬合を伴う叢生に対する準備矯正治療>
【主訴】上の前歯はすきっ歯だけど横の前歯がスペースが足りなくてなかなか生えてこない。下の前歯のガタガタも…
叢生(八重歯・乱ぐい歯)|水道橋の矯正歯科 アールエフ矯正歯科

【主訴】上の前歯はすきっ歯だけど横の前歯がスペースが足りなくてなかなか生えてこない。下の前歯のガタガタも…

【主訴】上下の前歯のデコボコがずっと気になっているが年齢的に矯正が可能か心配。できれば被せ物も多いので歯は抜…

【主訴】上下の前歯がガタガタしていて歯磨きがしづらい。左上の前歯が1本内側に入っていて笑った時に歯が無いよう…

上下の前歯がガタガタしている、いわゆる「叢生(そうせい)」に悩む方は少なくありません。今回の患者様は、上の前…

【主訴】上下の歯がデコボコしているのがずっと気になっていた。できれば歯を抜かずに綺麗にしたい。【主な症状】叢…

【主訴】 下の前歯がガタガタしている。右上の犬歯がずっと生えてこない。口元が出ている感じがする。【主な症状】…

【主訴】 上下の前歯がデコボコになっている。歯医者で下の前歯が1本少ないと指摘されかみ合わせが心配になった。…

【主訴】 下の奥歯が内側に入っていて舌に当たり、歯磨きもしにくい。上の前歯のガタガタも気になる。【主な症状】…

【主訴】 上下の前歯がガタガタしている。笑った時の見え方が気になる。【主な症状】叢生 【抜歯部位】なし【矯正…

【主訴】 下の前歯がでこぼこしている。上の前歯が出っ歯になっている。【主な症状】叢生 上顎前突【抜歯部位】上…