2016.11.06
装置を外してから1年が経過〜♫
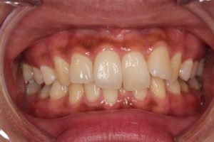
すっかりこの歯並びに見慣れ、治療前の歯並びを見て驚いてしまう。
上顎は毎日リテーナーを真面目に装着していた甲斐もあり合格点!!!
今日からは在宅中のみ装着でOKと先生から言われるも
夜のみ装着は忘れてしまいそうなので暫くは今の習慣で日中も装着しておこう。と。
下は前回同様、左側に力が入っているのでまた接着剤が外れていた。
どんだけ力を入れて噛み切っているのだろう。。
自分では外れているのが分からないのが難点。
次はまた半年後に。次は歯の形を削り整えてもらいます!!!

AFTER ↑
BEFORE ↓
